阳光讯(记者 郑亚雷)近日,西安市长安区医院神经内科成功使用第三代溶栓药物——替奈普酶,救治一位急性脑卒中患者。

争分夺秒,启动脑卒中绿色通道
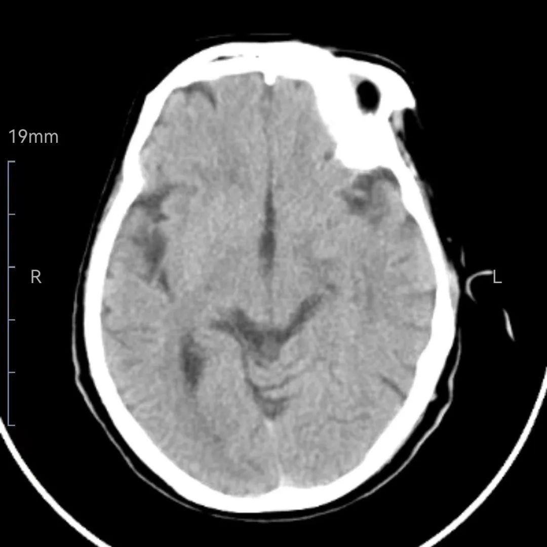
2月8日上午11:05,该院神经内科病区突然传来一阵急促的电话铃声,急诊一名患者言语不能伴右侧侧肢体无力2小时余,已开通卒中绿色通道。简单快速询问后,郝宪军主任和康敏毅医师以及护士携带溶栓箱快速到达急诊科。经评估,患者(9:20)出现言语不能、右侧肢体无力、症状持续,急诊查头颅CT未见出血,NIHSS评分16分(意识2,凝视1、面瘫1、右上肢运动4、右下肢运动4、感觉1、语言3)。

溶栓前头颅CT 抓住抢救“黄金时间”
郝宪军主任团队结合检查结果考虑患者左侧大脑中动脉闭塞可能,且患者有高血压、冠心病病史,9个月前因急性脑梗死在本院进行溶栓治疗,本次起病急,发病后的每一分钟病情都有可能进一步加重,时间就是生命,必须争分夺秒抢救,尽快实现血管再通。

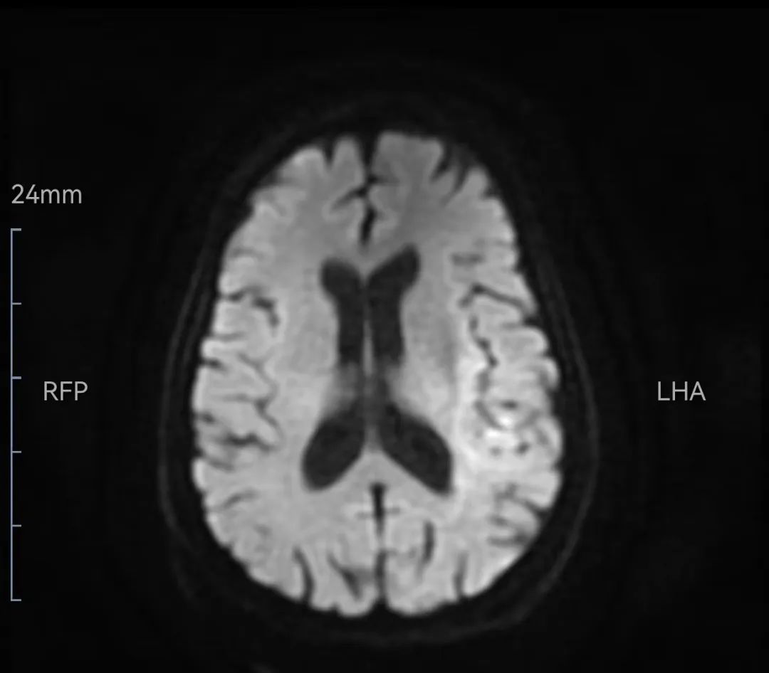
溶栓后立即检查的头颅磁共振DWI
经过与患者家属沟通,患者在溶栓时间窗内,排除禁忌症,11点30分立刻给予注射用替奈普酶16mg静脉注射,10秒推完,溶栓过程顺利。

溶栓后头颅磁共振MRA血管畅通
溶栓后患者在医生及护士陪同下前往影像中心检查头颅磁共振,等候磁共振检查时再次评估,患者右侧肢体可抬离床面;NIHSS评分7分(意识2,面瘫1、右下肢运动2、感觉1、语言1),查头颅磁共振示:左侧额、顶、颞、枕叶急性脑梗塞;头颅磁共振MRA颅内大血管未见明显异常,随后收入神经内科给予进一步治疗。

第二天患者右侧肢体活动自如,言语欠流利,身体各项指征稳定。继续给予对症治疗后,可下床独立活动!第四天患者各项生命体征平稳,经评估四肢肌力、肌张力恢复正常,言语表达较之前明显好转,患者及其家属为能够及时抢救生命对医护人员表达深切的感谢并送来锦旗,住院仅4天,患者顺利出院回家。

新技术 新突破
静脉溶栓是目前急性缺血性卒中恢复血流灌注的最主要手段。神经内科既往静脉溶栓的药物是阿替普酶,现引进替奈普酶,与阿替普酶相比,替奈普酶给药更方便(阿替普酶静脉推注,剩余部分在一小时内注射,替奈普酶单次静脉推注),“替奈普酶”具有用药方便、起效迅速等特点。同时也减轻了患者及家属经济上的负担。

脑卒中是我国成年人死亡和残疾的首位疾病,急性脑卒中溶栓黄金时间窗为发病4.5小时以内。若能在黄金时间及时得到溶栓治疗,会大大降低致死率及致残率。长安区医院神经内科自卒中中心建立以来,医护人员24小时的坚守为患者的救治赢得了宝贵时间,有效降低了脑卒中患者的致残率和死亡率,为群众带去希望与健康。