

面对孩子们长得乱糟糟的牙齿
不少家长都会有这样的想法:
“孩子现在年龄还小,
等换完牙再做矫治也不迟!”

但是口腔医生的回答是:
如果孩子长大再矫正牙齿?
您可能就错过孩子最佳的矫正时机!

首先来了解“牙合”概念
牙合(occlusions):
是指上、下牙齿咬合的关系和功能。
错牙合畸形(malocclusions):
是指影响儿童颅面牙合协调、美观及功能的异常咬合、颅面结构及生长方向。

所以,儿童错牙合畸形的早期矫治是指预防、诱导和阻断错牙合畸形的发生、发展,达到儿童颅面牙合功能与美观的协调与平衡。
儿童错牙合畸形早期矫治概念提倡的是早期和及时,并且贯穿于乳牙列期、混合牙列早期和晚期、恒牙列期等各个颅面牙合的发育时期。

儿童牙齿矫正的关键时机
早在1912年Lischer等学者就指出:“错牙合畸形治疗的黄金时期应为牙齿的替换期,即6~14岁”。
美国正畸协会(American Association of Orthodontists,AAO)认为,儿童错牙合畸形的早期矫治有助于儿童:
(1)上、下颌骨更协调的生长;
(2)避免因牙齿的前突造成前牙外伤;
(3)去除影响颅面牙合发育的口腔不良习惯;
(4)更早、更好地改善面部美观;
(5)更好地引导恒牙的萌出与替换;
(6)更好地形成牙、唇及面部的协调和美观。

但很多家长就有疑问,6、7岁的孩子做牙齿矫正太早了吧?
其实,我们一般建议孩子3岁或3岁前,家长就要带孩子到口腔科进行第一次正畸筛查,以便发现孩子早期可能出现的牙齿排列不齐、牙齿咬合不齐(如地包天)等问题。
其次,6、7岁开始的替牙期,是治疗颌骨发育问题的开始时期。特别是早期混合牙列期年龄段(6-9岁),这一时期的牙齿不齐特别常见。而且孩子骨骼发育较为迅速,等孩子换完牙时,牙齿方面的问题,很可能已经发展为较为严重的颌骨发育问题,就很难矫正到理想程度了,这就相当于人为地延误了孩子的牙齿矫正时机。
一般建议,如果孩子有一些颌骨发育的问题,可以在6、7岁替牙期开始时进行矫正。
哪些混合牙列期的问题需要尽早治疗?
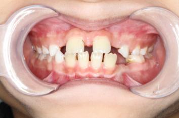
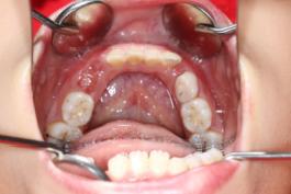
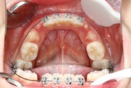
❶ 个别前牙反牙合:此类错牙合可使下颌前伸运动受限。

前

后

前

后
❷ 前牙反牙合:此类错牙合影响下颌前伸,影响上颌发育。

前

后
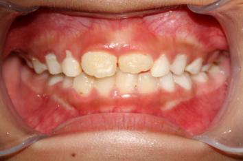
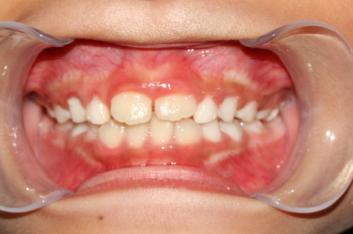
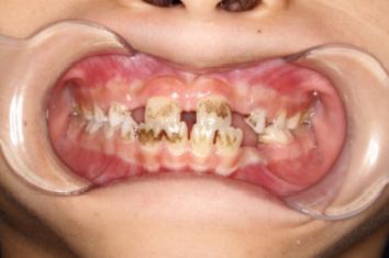
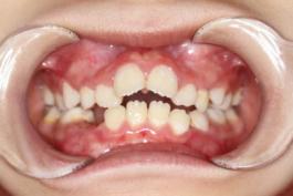
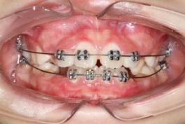
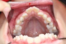
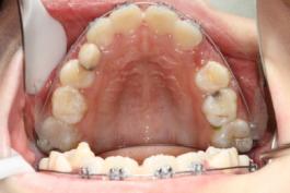
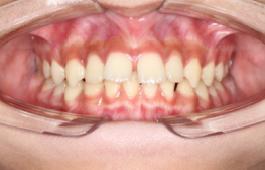
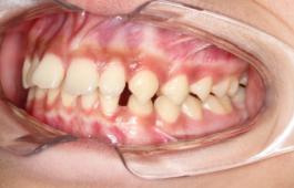
❸ 牙齿不齐:影响咬合关系,影响美观。

前

后

前

后

前

后
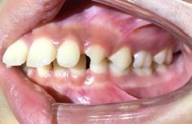
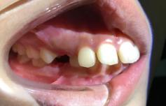
❹ 深覆牙合:常表现为开口过大或轻度下颌后缩,下颌前牙过长,上颌前突。
前




后




牙齿健康不仅提升外在形象,对于儿童青少年的身体生长发育及心理发育同样非常重要。所以,选择恰当时机尽早进行牙齿矫正,不仅能让孩子的胃口好,还能促进孩子的身心健康发展,抓住暑假这个好时机,让孩子从此拥有整齐、健康的牙齿,是假期家长送给孩子的一份厚礼。

今天是第32个“全国爱牙日”
口腔健康
全身健康
保护牙齿
从小做起