近日,铜仁市人民医院关节外科团队成功实施了膝关节翻修术,标志着铜仁市人民医院骨科在膝关节翻修领域又取得了新的突破和进展,同时充分展现了关节外科医疗团队高超技术。
患者是74岁的黄某,4年前因右膝骨关节炎在其他医院行“右膝关节置换术”,术后长期反复疼痛,8个月前出现右膝部红肿、疼痛,窦道流脓,予多次清创换药,抗炎治疗,感染仍无法控制。2023年8月,黄某就诊于铜仁市人民医院关节外科做进一步治疗,经完善检查,诊断为:膝关节置换术后感染,假体松动。

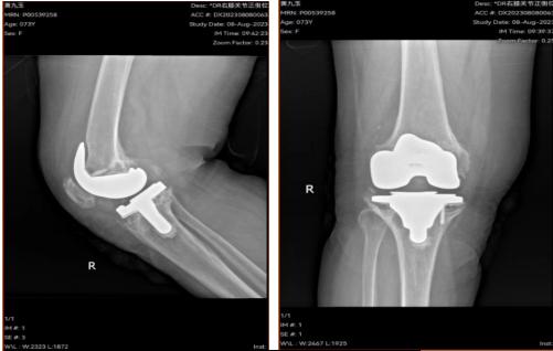
初始膝关节置换术后DR
了解黄某病情后,关节外科主任、主任医师杨正杰迅速组织医疗团队,积极讨论治疗方案,最终决定为其行“右膝关节感染清创、假体取出、间隔器植入”术,成功手术后,黄某顺利出院,通过门诊定期复查,指标均正常,伤口也没有出现红肿、流液。
虽然手术成功实施,控制了感染,但并没有解除黄某长期关节的病痛,仍给生活造成极大影响。2024年1月,黄某再次就诊铜仁市人民医院关节外科,决定为其行“右膝关节翻修术”,解决长期膝关节病痛。
由于因黄某为初次膝关节置换术后感染患者,虽经清创后感染已经控制,其膝关节股骨侧及胫骨侧均存在骨缺损,给翻修手术带来了很大的困难。为此,杨正杰团队反复讨论治疗方案,详细制定手术计划,在与患者及家属详细沟通,充分告知手术风险后,得到了患者和家属的信任和支持。完善各项术前准备后,2024年1月24日,杨正杰主任医师主刀,杜润中、杨柳主治医师为助手的医疗团队,为患者实施了“膝关节翻修手术”,在麻醉科主任医师谯凌和手术室田霞护理团队的精心配合下,历时4小时,圆满地完成了手术。

翻修术后DR
术后,杨正杰为黄某制定了康复计划,科室护士长杨娟带着团队悉心护理,次日黄某便能辅助下床行走,激动地表示:“感谢铜仁市人民医院关节外科的医护人员,不仅技术精湛,而且护理精心,谢谢你们!”

黄某向关节外科主任杨正杰(左二)、护士长杨娟(右二)及团队送锦旗。
知识链接
全膝关节置换术:是治疗终末期膝关节疾病的最有效的方法之一,可减轻疼痛、恢复关节功能,提高患者生活质量。但是人工膝关节置换术一旦失败,将很快会迎来第二次,甚至第三次膝关节翻修手术,不仅手术的难度增加,对患者的创伤也越来越大,治疗费用也增加。
人工全膝关节翻修术:是较初次全膝关节置换术更复杂的四级手术,需要手术医生拥有高超的手术技能和扎实的理*功论**底。因为对于膝关节翻修的患者,存在膝关节软组织不平衡,骨创面各种不同程度的骨缺损,创面感染残留等复杂情况!术中术后均可能出现预想不到的情况,手术过程或术中选择假体可能存在变化,需要术者根据术中患者具体情况,选用个性化的假体完成手术。
来源 铜仁市人民医院
编辑 葛永智
二审 郭进
三审 朱邪