点击右上角立即关注,更多健康内容不再错过,不定期惊喜送给你
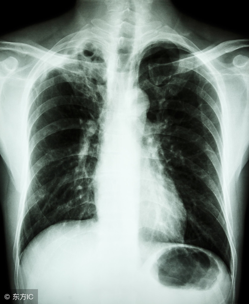
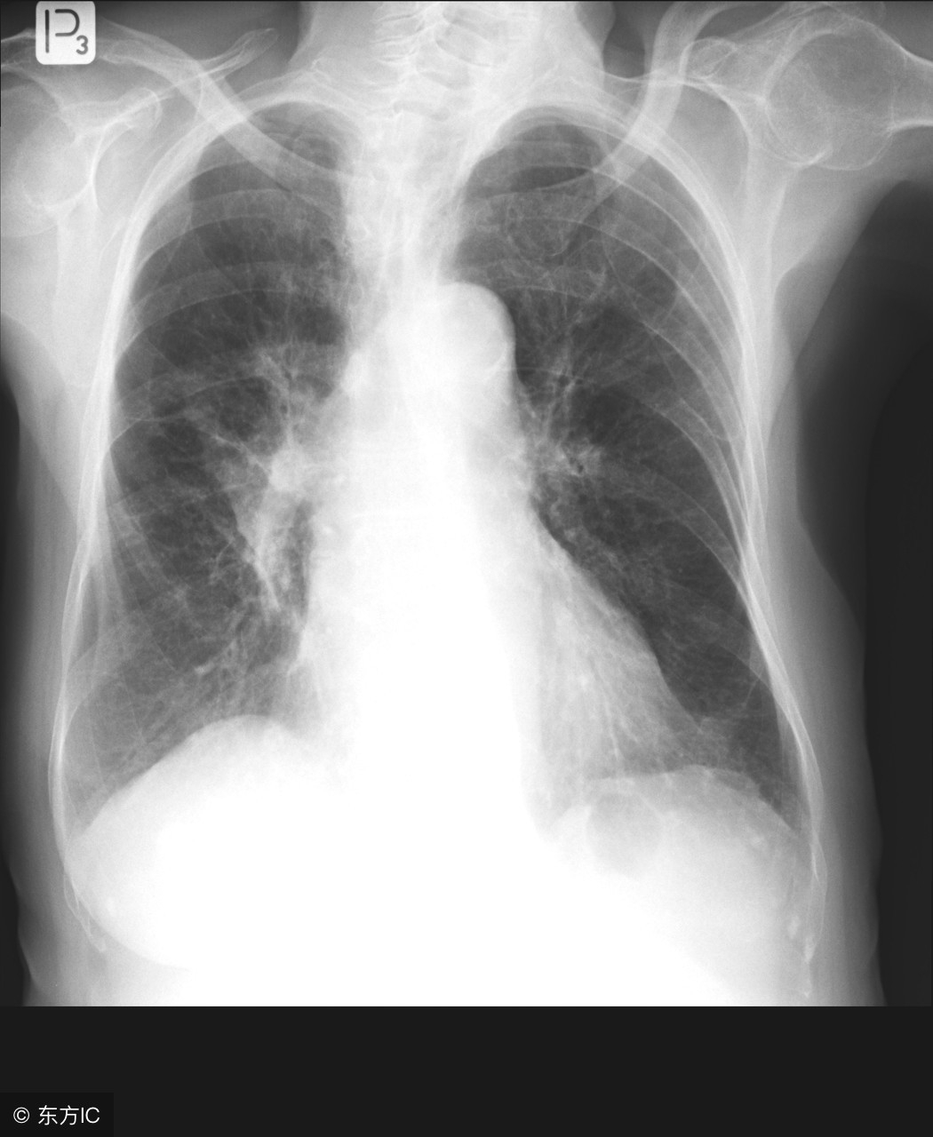
大家都知道肺结核对身体健康的危害较大,特别是肺部,会造成永久性损伤,肺结核肺部有空洞就是损伤的一种,那么肺结核肺部有空洞是怎么回事呢?

肺结核是由结核杆菌感染导致,肺结核患者的痰液和唾液中存在大量的结核杆菌。许多人不知道自己患有肺结核,并且生活习惯很差,随地吐痰,导致结核杆菌传播。结核杆菌生存力较强,可在尘土中存活9天,在干痰中存活8个月,并且只有在紫外线照射、酒精消毒、高温煮沸的情况下,结核杆菌才可被杀灭。
对于抵抗力较差的人来说,更易感染结核杆菌。当感染肺结核之后,结核杆菌会侵害我们的肺部,导致肺部出现空洞,可在肺部ct中发现。
肺结核肺部有空洞是怎么回事?

肺结核是由于结核杆菌感染所致,结核杆菌会对肺部细胞产生损害形成结核病灶,由增生的疤痕和肉芽肿组织取代损伤的肺部细胞。而大家所说的肺结核肺部有空洞就是结核杆菌病灶治愈后所形成的干酪样坏死,形成空洞。
怎样预防肺结核?
新生儿出生24小时候需及时接种卡介苗,抵抗力较差的人群也许接种卡介苗获得免疫。并且尽量少出入人多拥挤的地方,佩戴口罩。
肺结核吃什么对肺好?
*党**参百合猪肺汤
材料:*党**参15克,百合30克,猪肺250克,百部10克,食盐、葱、姜、味精等少许。

做法:*党**参切片和百合放入纱袋中,猪肺洗净切片;纱袋和猪肺放入砂锅中,加水煮汤,煮熟后加盐调味即可。
功效:补脾健肺,益气养阴,可治疗咳嗽痰多、胸闷气短、疲倦乏力的肺结核患者。
肺结核肺部有空洞是患者中较为常见的情况,不用过度担心。只是肺结核患者需要定期去医院复查。
注:文中图片来自网络,如有侵权请联系删除