点击「神经介入在线」可快速关注
球囊辅助技术
---重塑宽颈动脉瘤
球囊用于封堵瘤颈,增加栓塞致密度。

---改变力的方向
血管走行角度较大,球囊改变力的方向。

Onyx--治疗DAVF的里程碑
缓慢间歇注射【Slow and intermittent injection】;
不粘附微导管【No adhesion to microcatheter】;
最佳位置接近瘘【Optimal position: Closest to the fistula】;
足够的空间【Enough space for reflex】。
DAVF治疗中球囊的功能
栓塞作用【Acting as a plug】;
保护正常的动脉或窦【Protection of normal artery or sinus】;
改变力的方向【Change the direction of strength 】;
降低血流量【Decrease the amount of blood flow 】;
人工楔技术【Artificial Wedged technique】。
栓塞作用/A cting as a plug
Small or short arterial feeder.
Without good place of microcatheter.
Without enough space for reflux.
参考:Treatment of dural arteriovenous fistula by balloon-assisted transarterial embolizationwith Onyx. Clinical neurology and neurosurgery.2013
小脑幕缘区DAVF,只有颈外动脉参与供血,供血支细小。

选择抑制血管栓塞,胶无法弥散进入瘘口,选择另一支血管,近端防止Hyperform球囊。

最终胶弥散结果,瘘口完全消失。

小脑幕缘区DAVF,颈外动脉和颈内动脉的供血支均非常细小。

Marathon微导管进入分支后,在主干血管内放置Hyperform球囊。

最终的栓塞结果。

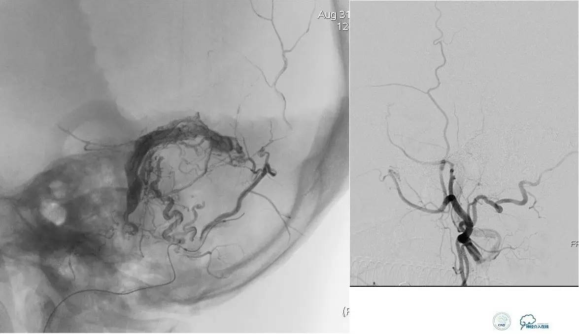
乙状窦区的DAVF,供血动脉细小,静脉引流道通畅。

同侧颈内静脉试图进入引流静脉,但是由于角度问题非常困难。

从对侧颈内静脉绕路进入引流静脉。

Sceptor球囊导管到达静脉内,充盈球囊,让后注入Onyx。

术后造影提示DAVF治愈。

保护/Protection
Avoidance unwanted embolization of normal artery and sinus.
Situation: neighbourhood of normal artery and fistula; sinus had normal function.
海绵窦区DAVF,颈内外均参与供血。

采用净买入路,经岩下窦栓塞。

首先放入少量弹簧圈,给Onyx提供框架。

开始注入Onyx时,在颈内动脉内放入保护球囊,防止意外进入颈内动脉内。

栓塞后胶的透视影像。

最终结果,DAVF完全消失。
侧窦区DAVF,直接引流入横窦,为保护窦,横窦放入球囊8*80。

最终栓塞结果,窦通畅。

文献中图片,上矢状窦内放置球囊保护。
参考:Balloon-assisted transarterial embolization of intracranial dural arteriovenousfistulas. J Neurosurg 2009;110:921–928.

文献中图片,经颈外动脉栓塞,在椎动脉内放置保护球囊,防止通过脑膜后动脉逆向栓塞椎动脉。
参考:Endovascular treatment of high-risk tentorialdural arteriovenousfistulas: clinical outcomes. Neuoradiology2009;51:103-111.
改变力的方向/Change direction of strength
Big main artery with small branch.
Big angle between the main artery and the branch
参考:Balloon-assisted superselective microcatheterizationfor transarterial treatment of cranial dural ar t eriovenous fistulas: technique and results. Neurosurgery 2012;71:269-273.

降低流量/Decrease of flow
Large feeder with high flow.
Avoidance expectedly and prematurely embolization of venous part.
高流量的瘘充盈球囊,降低供血动脉内的血流量,防止胶提前进入静脉端。
参考:Transarterialballoon-assisted glue embolization of high-flow arteriovenousfistulas。Neuroradiology,2008,267-272

改变压力梯度/C hange barometric gradient
Leave the feeder for approach.
Cover other arterial feeder.
Keep low pressure of fistula, venous drainage and arterial vascular net.
球囊闭塞超选血管远端动脉,增加超选动脉血流量,利于胶向瘘口弥散。
参考:Balloon-assisted transarterial embolization of intracranial dural arteriovenousfistulas. J Neurosurg 2009;110:921–928.

人工楔技术/Artificial wedged technique
Larger and tortuous feeder and difficultly positioning.
Block flow proximal to microcatheter.
Keep the Onyx liquid and increase the permeablity.
脑膜后动脉供血的小脑幕的瘘。

颈内不参与供血。

大脑后动脉有细小分支供血。

Sceptor球囊无法到达瘘口位置,放在主干内,充盈球囊后把动脉血管床内血液冲洗干净,形成楔入效果。

术后造影【Post embolization】


完全闭塞率增加【Increase the rate of total occlusion】
栓塞安全性提高【Increase the safety of embolization】
神经介入中心展示
135编辑器
135编辑器提供非常好用的微信图文编辑器。可以随心所欲的变换颜色调整格式,更有神奇的自动配色方案。

