经常遇到这样的患者,因为牙齿蛀牙了,形成一个相对比较大的洞,于是便去医院补牙,但是补牙的材料反复脱落,脱落之后又继续去医院补牙,反反复复,并且洞是越补越大,每次补牙都要经历非常大的折磨,因为牙齿越补越大,离牙神经也是越来越近,遇到外界刺激便会痛苦不堪。甚至有很多的患者因为反反复复的补牙材料脱落,导致牙齿疼痛、折裂,从而需要进行牙齿的治疗甚至拔除。

随着科学技术水平的提高,齿科技术发展也是突飞猛进,目前针对于这样的患者,通过口腔检查以及X线片的辅助检查,在确认没有累及牙神经的前提下,我们可以通过椅旁CAD/CAM的技术,利用光学扫描以及电脑设计,通过3D研磨技术,制作出非常精确的全瓷嵌体,来恢复我们缺损的牙齿部分,以恢复缺损牙齿的正常外形及其咀嚼功能。

术前X线片
从术前X线片可以看出,该患者右侧最后一颗牙(47)远中龋坏近髓,近中充填物影像且边缘继发龋坏。因患者于外院补牙多次,且反反复复脱落数次,患牙蛀牙面积相对比较大,已不再适合树脂充填(补牙)治疗,针对这种情况,我们选择通过瓷嵌体的修复方式去解决这样的一个反复脱落的问题。利用数字化修复技术,省去取模(咬牙印)过程,实现当天看牙、当天戴牙的一次就诊效果。大大节约了患者以及医生的宝贵时间。

牙齿修磨后电脑光学扫描,得到精准的数字模型

CAD设计牙齿外形
因其通过电脑高精度的扫描,得到一个非常精确的数字模型,通过3D研磨打印的技术,制作出一个非常精确的修复体,通过高强度的粘接材料,将适合患者的修复体粘接在缺损的牙齿上面,恢复其功能及外观,从而延长我们坏了的牙齿的使用寿命。

CAM3D研磨打印,得到一个适合患者的牙齿修复体

修复体粘接前期处理

超声波荡洗,去除杂质

上橡皮章,隔离唾液及血液
利用橡皮章技术,隔离患者的唾液、血液及其口腔环境,确保粘接达到最大强度,远期粘接效果达到保障。

即刻粘接术后照

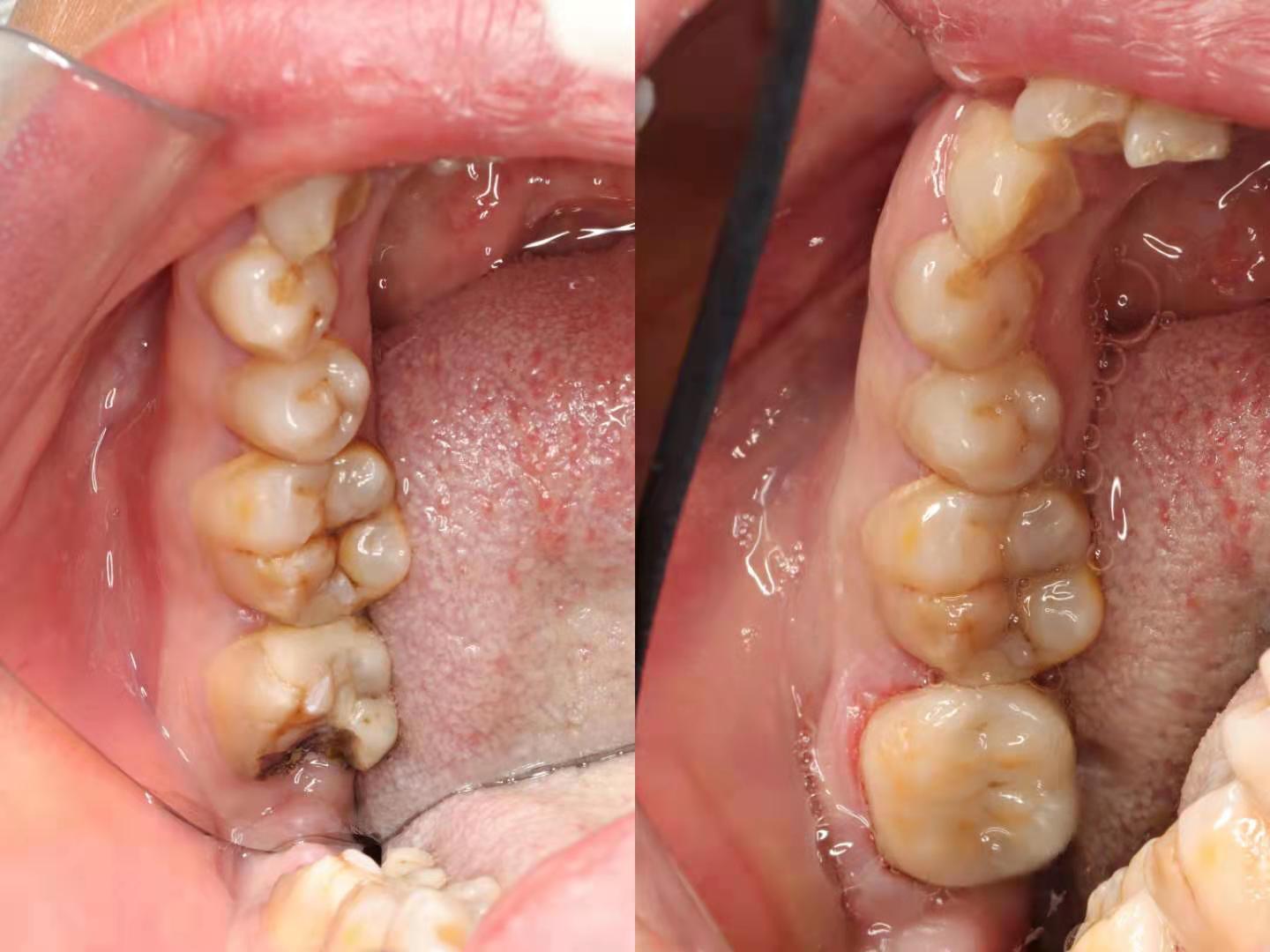
术前术后对比
针对相对大的牙体面积缺损、龋坏及多次充填治疗失败的患牙,利用数字化技术,CAD光学扫描得到精准数字模型,通过CAM技术打印出高精度修复体,利用橡皮章隔离技术确保了高强度的粘接,瓷嵌体修复远期治疗效果得到了保障。
与传统治疗方式相比,椅旁CAD/CAM技术不仅缩短了患者的就诊时间,减少了患者的就诊次数,同时也减少了多次复诊时对患牙的刺激,大大提高了治疗的效率以及成功率。实现了一次就诊当天戴牙的可能。