几天前,我发了一篇“美白牙齿”的文章,很多朋友给我留言,说希望我讲一下关于 “洗牙” 的问题。
“美白牙齿”*局骗**,还要坑多少人?

很高兴看到如今越来越多的朋友开始意识到了牙齿健康的重要性。但是,依然还存在很多不了解洗牙的朋友,他们害怕洗牙、觉得洗牙就是智商税、甚至认为医生在骗钱等等等等。
我曾经就遇到过这样的一个患者,他患有 中度牙周炎 ,但是拒绝医生让其洗牙的建议,认为洗牙会把牙齿“洗松”, 后面拖到严重的牙周炎时已经无法挽回了,导致了牙齿脱落,只能做了全口的牙齿种植 。而整个治疗下来,花的钱都够买一部宝马了...
所以说,“一口好牙=买一辆宝马”这种说法真的一点也不夸张。
而保持一口健康好牙,定期洗牙是非常重要的。

图片来源网络
洗牙到底是什么?
洗牙也称洁牙、牙齿洁治,是医生将口内的牙菌斑、牙结石进行清除的方法,也是日常进行口腔保健的一种方法。
洁牙方式主要有: 超声波洁牙 和 喷砂洁牙 。超声波洁牙是采用超声洁牙机发出的超声波震动,使牙石松动,再使用刮治器去除牙石。超声波洁牙对于牙石的去除比较有效。但是,对于一些牙齿的外源性染色,特别是超声波洁牙很难去除的牙齿的窝沟裂隙或牙间隙中的烟斑、茶斑等,就要采用喷砂洁牙的方法。
喷沙洁牙机是用高压气流把一种晶体盐喷到牙齿表面,去除牙齿表面和缝隙的污物,使牙齿更洁白。一般在超声波洁牙以后再喷沙洁牙,如果再配以牙面抛光,则效果更佳。

图片来源网络
很多朋友可能会有疑问:我每天都认真刷牙了,还有必要洗牙吗?
实际上,虽然我们每天都认真刷牙,但普通牙刷只能刷到牙齿表面,更不用说还有40%的盲区是牙刷刷不到的。在这些看不到的牙齿缝隙里,仍然会有大量的细菌和异物残留,时间长了就会引发一系列的口腔问题。
你以为你看到的牙齿是这样的

图片来源网络
实际上,它很可能是这样的
▼

左右滑动查看更多
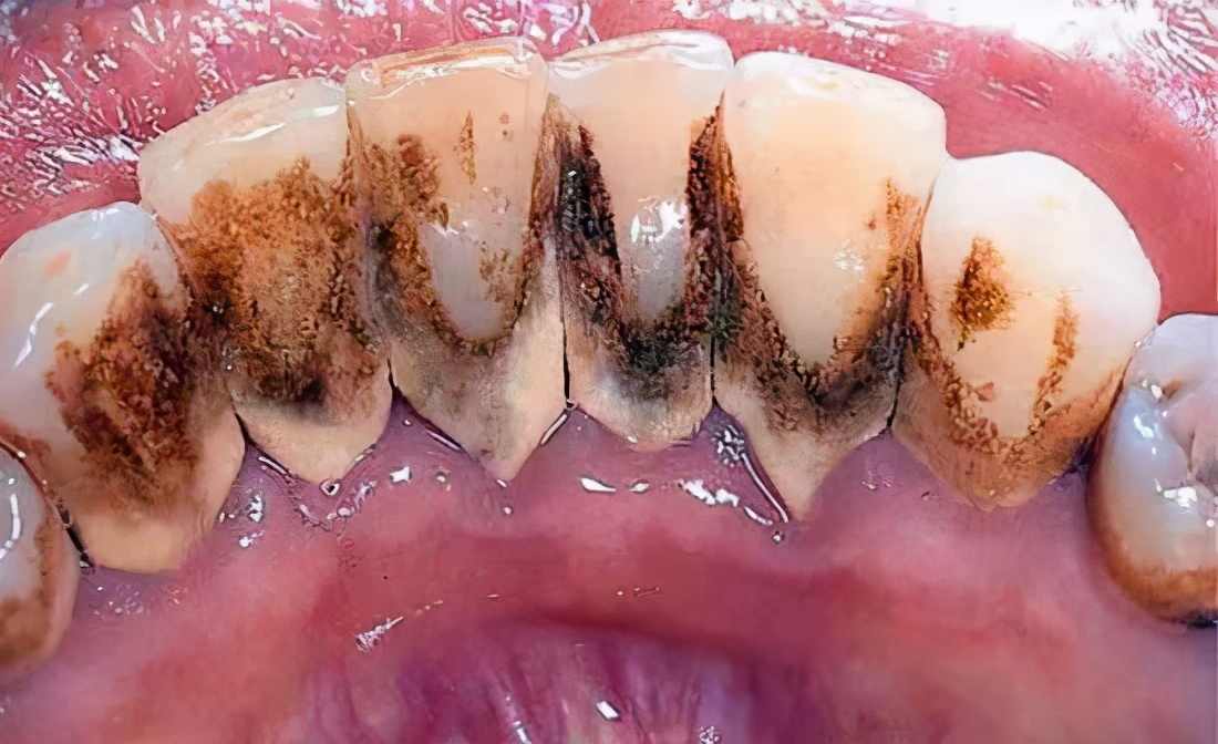
严重者甚至是这样的
▼

这些牙龈周边积聚的牙结石、牙菌斑如果不及时清除,则会引起口腔异味、刺激牙龈红肿明显、发炎糜烂等等,严重者甚至会导致牙齿脱落...
而定期洗牙,就能去除这些牙结石、牙菌斑,帮助我们消除它们带来的炎症,恢复软组织形态,保持牙龈的健康。
多久洗一次牙才正确?
洗牙的周期因人而异。一般来说, 牙周病患者的洗牙周期应为每3-6个月洗一次, 普通患者可以半年或1年洗一次,具体可根据口腔医生的建议来进行。
那些关于洗牙的疑问

1.洗牙会让牙缝越洗越大?
这是错误的。牙缝变大,实际上是因为牙结石,与洗牙无关。由于牙结石最常长在我们的牙龈附近、牙缝里,而且会一直刺激牙龈,造成牙龈萎缩,久而久之,牙缝就变得越来越大。而洗牙的本质是去除牙结石,把原本堵塞的牙结石洗掉了,牙缝自然就暴露出来了。
2.为什么洗牙会出血?
这是由于牙结石长期刺激牙龈和牙周,导致的牙周炎出血,洗牙之后,牙结石清除了,炎症就会缓解了。
3.洗牙会把牙齿越洗越松?
这也是错误的。有一部分的人在洗牙之前就患有严重的牙周炎,不仅牙龈萎缩严重,牙槽骨的高度也已经降低到牙根暴露的水平,把表面的严重的牙结石洗掉后,就导致了这种“牙齿变松了”的感觉。
4.洗牙之后牙齿会变敏感?
洗牙后,通常会有短时间的不适,甚至有些朋友会觉得吸口气都感觉酥麻,这些都是正常现象。只要暂时避免过冷过热的刺激,大多数都会在2-3天内逐渐恢复。个别情况特别严重的患者,建议根据医生的建议进行后续的补充治疗。
看到这里,相信大家对洗牙都有一定的了解了,以后再也不要对“洗牙”闻之变色啦。
巍子希望每位朋友都能重视牙齿健康,做好定期检查和洗牙,希望大家都有一口健康好牙,吃嘛嘛香~
把文章转发出去
说不定你的家人/朋友该洗牙了!