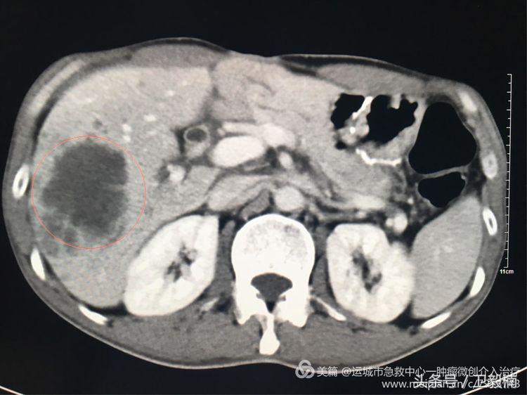
肝巨大转移瘤 肿瘤微创介入治疗中心开展肝动脉化疗药物灌注术,术后患者腹部疼痛明显减轻,
患者中年男性
2016年3月份西京医院因壶腹癌行切除术。
2017年6月患者因腹痛,饮食差来我院复查行腹部增强CT:提示肝内多发转移。
为解决腹痛及控制转移瘤来我院行介入治疗。
术后患者症状明显减轻,而且吃饭也比以前多了。
上腹部增强CT




经过肿瘤的供血动脉给肿瘤灌注高浓度的化疗药,杀灭肿瘤细胞,再给注入栓塞剂,让肿瘤缺血坏死。达到饿死肿瘤的目的


主治疾病:运城市急救中心第一医院肿瘤微创及综合介入治疗中心目前开展的介入诊疗项目涉及全身各系统疾病。主要特色诊疗是良恶性肿瘤和血管疾病的微创介入治疗,包括:
1.全身各部位血管造影;
2.呼吸系统:咯血、肺癌、气道狭窄介入治疗;
3.消化系统:食道良恶性狭窄、食管气管瘘、食道癌、肝癌、转移性肝癌、肝血管瘤、肝囊肿、肝脓肿、上消化道出血、脾功能亢进、肝硬化后门脉高压、梗阻性黄疸、胰腺癌、贲门胃底癌、布加综合征、肠梗阻、痔疮等疾病的介入治疗;
4.泌尿系统:血尿、肾脏外伤、肾动脉狭窄、肾脏肿瘤、膀胱肿瘤、前列腺肿瘤等疾病的介入治疗;
5.妇产科疾病:子宫腺肌病、子宫肌瘤、产后出血、卵巢癌、宫颈癌
6.各系统结节及占位病变经皮穿刺活检明确诊断。
运城市急救中心 第一医院 医学影像中心
肿瘤及微创介入治疗
宜继红主任
卫毅楠医师