这俗话说“一天三颗枣,容颜永不老”。然而近日,36岁的徐女士,因为“囫囵吞枣”,枣核扎进胃内而备受折磨。
徐女士几天前因腹痛难忍,自己怀疑是胃炎发作,就到家附近的社区医院就诊,挂了几天消炎的药水,症状不见减轻却愈加严重,腹痛加剧并伴随恶心呕吐,情急之下,她来到南京市中医院急诊科就诊。
“医生,我可能是急性胃炎,已经挂了几天水,就是不见好,你给我开点药吃吃吧!”
急诊科医生经过详细问诊后,感觉这胃疼必须先明确诊断,立即建议徐女士做胃镜检查。没想到,却遭到了徐女士的拒绝,她认为做胃镜太痛苦,不想做。
急诊科医生向徐女士道明了其中利害,不做胃镜,不搞清楚疼痛的原因,只挂水吃药可不行,徐女士这才勉强答应!
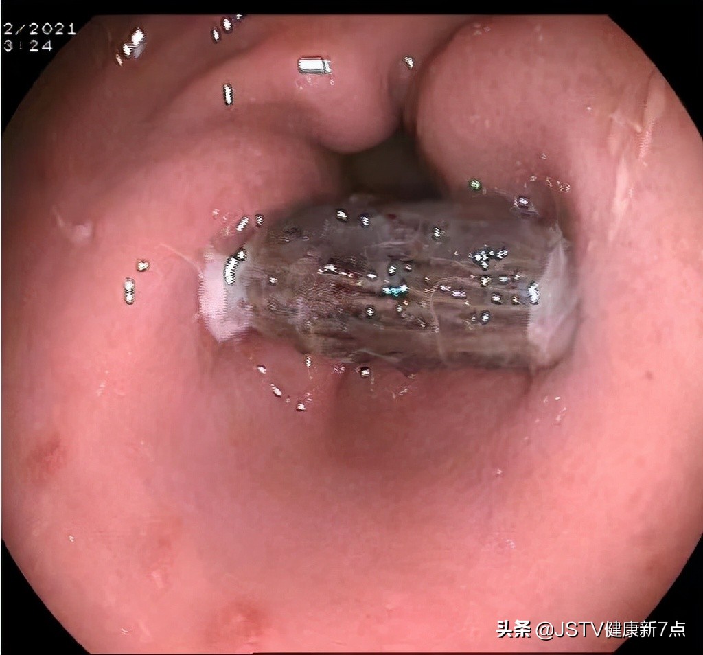
急诊科医生给徐女士做胃镜,刚进到胃腔,一个“大枣核”映入眼帘,两端正卡在幽门口,而且已经刺入胃粘膜,周围有溃烂,加上徐女士呕吐不止,枣核两端越扎越深,上不来,也下不去,急诊科医生立即请来内镜中心*震王**凯主任。根据徐女士的个人情况,*震王**凯主任当机立断决定给徐女士做全麻内镜,取出枣核!

卡在幽门口的枣核
吞到胃里的异物对人体的影响主要取决于异物的性质、形状、大小以及滞留部位,较小且光滑的异物可能只产生异物感,较大且锐利的异物可能引起梗阻、消化道黏膜损伤甚至引起出血、穿孔等并发症。
从内镜下来看,徐女士误吞的“枣核”,尖锐的两端已经完全插入幽门粘膜,随时有出血的可能,选择在全麻下进行操作,可最大限度减轻病人的创伤,降低再次出血的风险。*震王**凯主任利用娴熟的操作技能,成功取出了引起腹痛的“罪魁祸首”——约为4cm长的枣核。

徐女士误吞的4cm长的枣核
上消化道异物取出,这是个非常考验医生内镜技术的手术,既需要胆大心细,又要求头脑灵活,做到灵活应变,个体化治疗。
*震王**凯主任说:“其实像徐女士这样的情况平时在临床上很常见,多数病例是不慎误吞导致的,如假牙、鱼刺、鸡鸭鱼等骨头、未去掉外包装的药片等,病人以老年人居多。”
出现误吞异物后,有一些患者会再吃一些粗硬、粗纤维的食物,希望把异物强行送下,这种做法一般不建议采用,因为非常危险,容易引起消化道穿孔甚至是大出血而危及生命,最好的方法是尽快上医院就诊,通过内镜将异物取出。
而专家也提醒,像本文中的徐女士这样胃痛、腹痛的,也最好先明确诊断,再做治疗。
图文来源:南京市中医院 夏凡 张明
编辑:李燕
审核:龙斌
出品:江苏省广播电视总台卫生健康栏目《健康新7点》