
面对早中期膝关节炎的患者,“保膝”成为越来越多医生及病患的选择,如何简单化、标准化、精准化胫骨高位截骨术(HTO)?近期,安医大附属阜阳人民医院骨科符东林主任、李立主任团队借助3D打印导板 (PSI)多次开展数字化HTO保膝手术。

3D打印导板(PSI)
病例分析
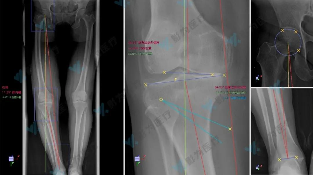
叶女士今年53岁,右膝疼痛多年,诊断为右膝关节骨性关节炎。检查结果显示,患者膝内翻角度为11.29,符合HTO最佳适应症。考虑到患者较为年轻,活动量大,医生团队决定遵循膝关节炎阶梯性治疗的理念,为其实施数字化HTO保膝手术,利用PSI辅助术中精准截骨。
HTO手术规划
影为医疗工程师利用自主研发的HTO专科手术规划软件,根据患者的X光片和CT数据,二三维联合规划得到负重位目标力线及撑开角度。在与符主任团队沟通确定规划信息并进行调整后,参数化截骨导板及量块一键生成。

患者下肢全长片的测量和规划

胫骨前后视图

上升截骨面到胫骨平台距离约40mm

胫骨内侧视图

上升截骨面切口到前方胫骨结节距离约10mm

拟撑开高度及量块放置位置

3D打印截骨导板

3D打印截骨量块
术中操作
术中,符主任团队将3D打印导板紧密贴合患者的股骨远端皮质,通过引导孔置入克氏针,引导截骨面的截骨位置、方向和深度。接着在3D打印量块的辅助下,缓慢撑开截骨区。得益于完善的术前规划,术中减少了反复测量、透视的次数,手术力线矫正更精准,同时也大幅降低手术时间。

术中情况

术中透视情况

术中透视情况
术后评估
术前规划胫骨近端内侧角95°,术后X光分析胫骨近端内侧角94.11°,误差0.89°,达到了预期的效果。患者术后恢复良好,目前已康复出院。

术后X光片
在影为医疗HTO手术规划的辅助下,截骨变得更为精准、高效。数字化医疗与临床的深度结合将助力骨科诊疗水平发展,实现保膝手术的标准化与精准化,造福更多临床医生,进一步推动保膝事业的发展!
医生简介

符东林教授
阜阳市人民医院骨科副主任 关节创伤病区主任 主任医师
安徽医科大学、皖南医学院教授
蚌埠医学院副教授
- 中华医学会骨科分会康复学组委员
- 中华医学会安徽省医学分会骨科分会关节学组委员
- 中国研究型医院学会关节外科专业委员会膝关节保护与矫形学组委员
- 安徽省医师协会骨科医师分会委员
- 安徽省康复医学会常务理事
- 阜阳市医学会骨科学分会副主任委员
擅长:膝髋肩肘等关节的人工关节置换及翻修,各种复杂骨与关节创伤骨折的微创手术治疗,膝髋肩踝等各类关节炎及骨坏死,髋臼发育不良运动医学,小儿骨科、足踝等疾病的诊断与治疗,矫形与功能重建。

李立教授
阜阳市人民医院骨科副主任医师
教学秘书
- 阜阳市医学会“骨质疏松及骨矿盐疾病分会”委员
- 亚太足踝外科医师协会中国区委员
- 安徽省医师协会骨科医师分会骨病骨肿瘤学组委员
- 阜阳市医学会骨科学分会委员
- 阜阳市医学会创伤分会委员
擅长:保膝截骨,创伤性四肢骨折、骨盆及髋臼骨折等类型手术的微创治疗,髋膝关节置换、创伤后遗症截骨矫形,股骨头坏死、足踝外科疾病的诊断治疗等。