前言: 随访肺小结节在临床手术中占比的增加,中央型肺癌或巨大肺癌的比例相对来说在下降,但仍时有碰到这类病人,随着近年来免疫治疗、靶向治疗及放化疗等治疗措施的进步,如何决策这类病人,怎样的治疗方案设计会更有利于病人,是摆在胸外科、肿瘤科医生面前难题。理论上说,多学科讨论来综合评估,从而选择最利于病人的治疗方案是最合适的,但MDT的专家也是水平各有参差,而且病人收在某科,往往有一定程度的倾向性,也就是说在实际操作层面,理论与实践有时也会有出入,而且这类病人的治疗本身也不同医生存在理念的差别,并无百分百正确的规定动作,个体化较早期肺癌更显著。今天分享的这个病例,我将分三次来分析探讨,期望能够对同类病人的处理起到对同道有益的提醒与借鉴作用。
患者为女性,77岁,她是在其他医院检查出肺癌,后来通过熟人介绍找到我,最初是问我能不能手术。我们先来看当时气管镜检查与病理:气管镜:左上叶开口处新生物完全堵塞管腔。活检病理考虑鳞癌。肿瘤筛查指标中的SCC也是高于正常的。

上图是CT影像报告的描述,左上肺不张,考虑肿瘤。

头颅做过MRI增强未见转移

做过ECT骨扫描,未见确切骨转移
其他相关检查也是未见远处转移的,PET当时没有检查过。临床主要的症状是咳嗽较为明显,刺激性咳嗽,略有气闭,但日常生活影响不大。CT影像上又是如何的呢?

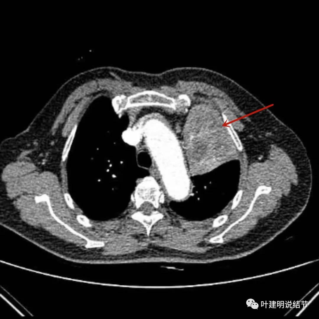
左上肺块影

上图示左上肺肿块,边缘部分应该考虑是不张的肺组织,但黄色箭头所指处是肿瘤内部的坏死区

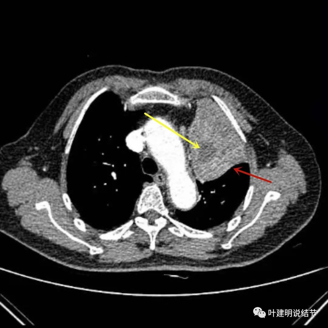
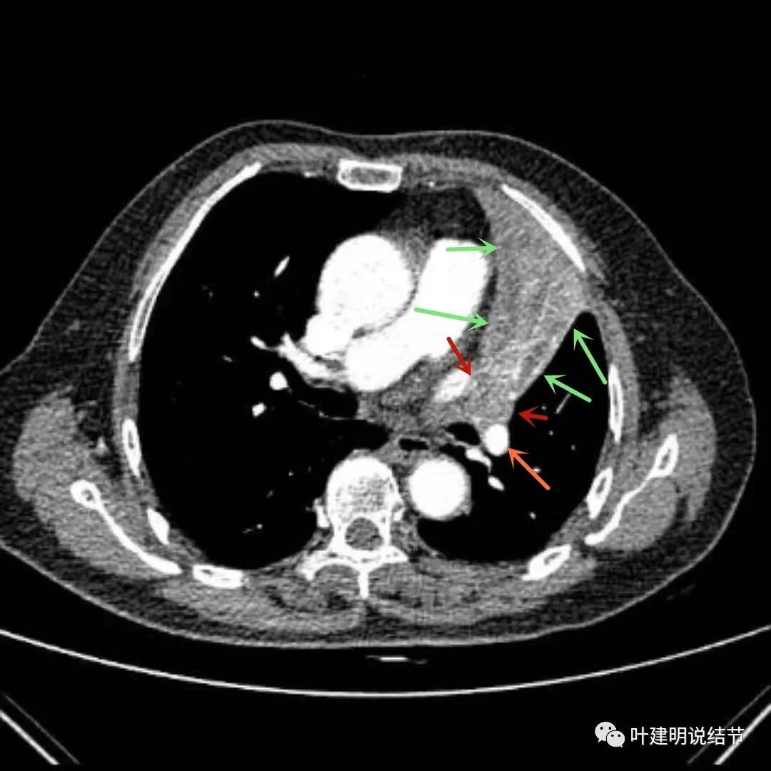
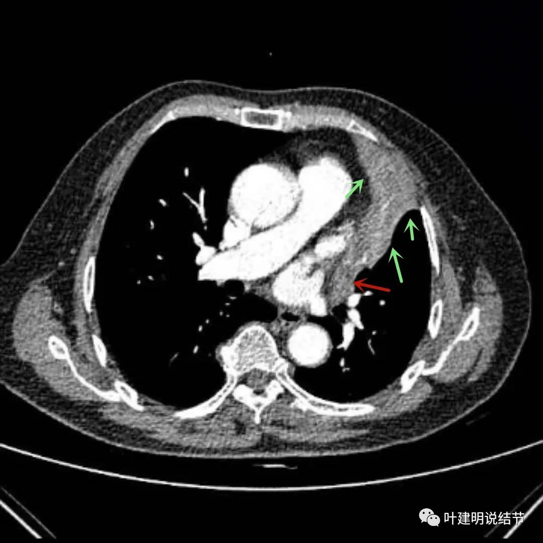
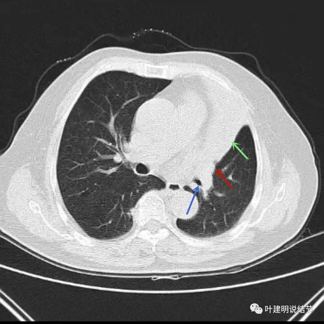
上图绿色箭头所指区域考虑不张的肺组织,红色箭头所指附近为肿瘤,且有膨胀性

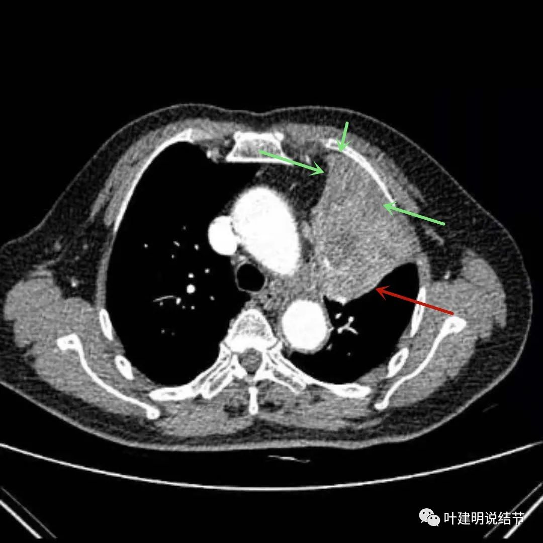
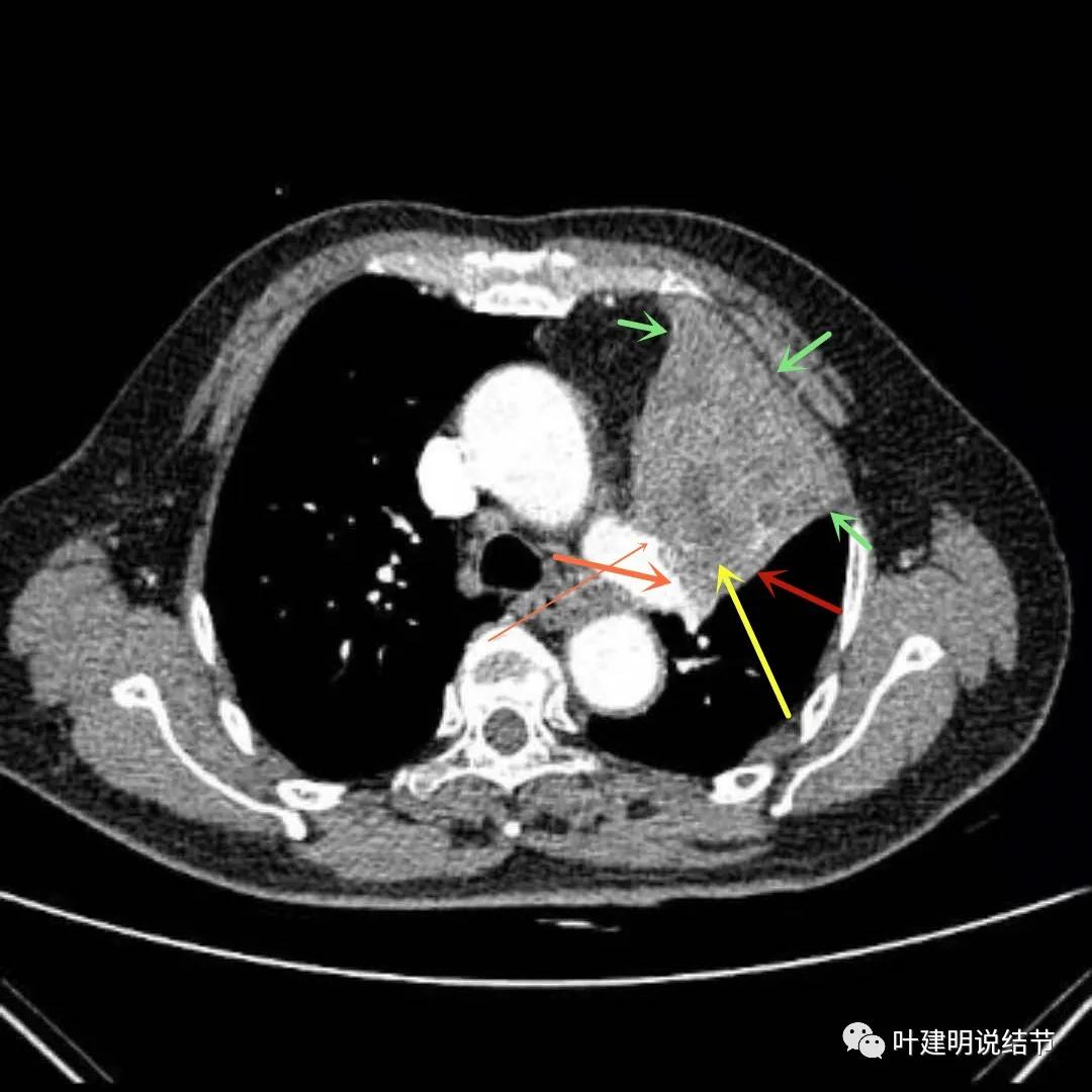
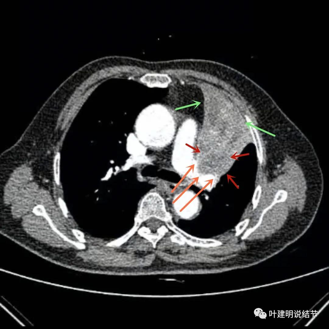
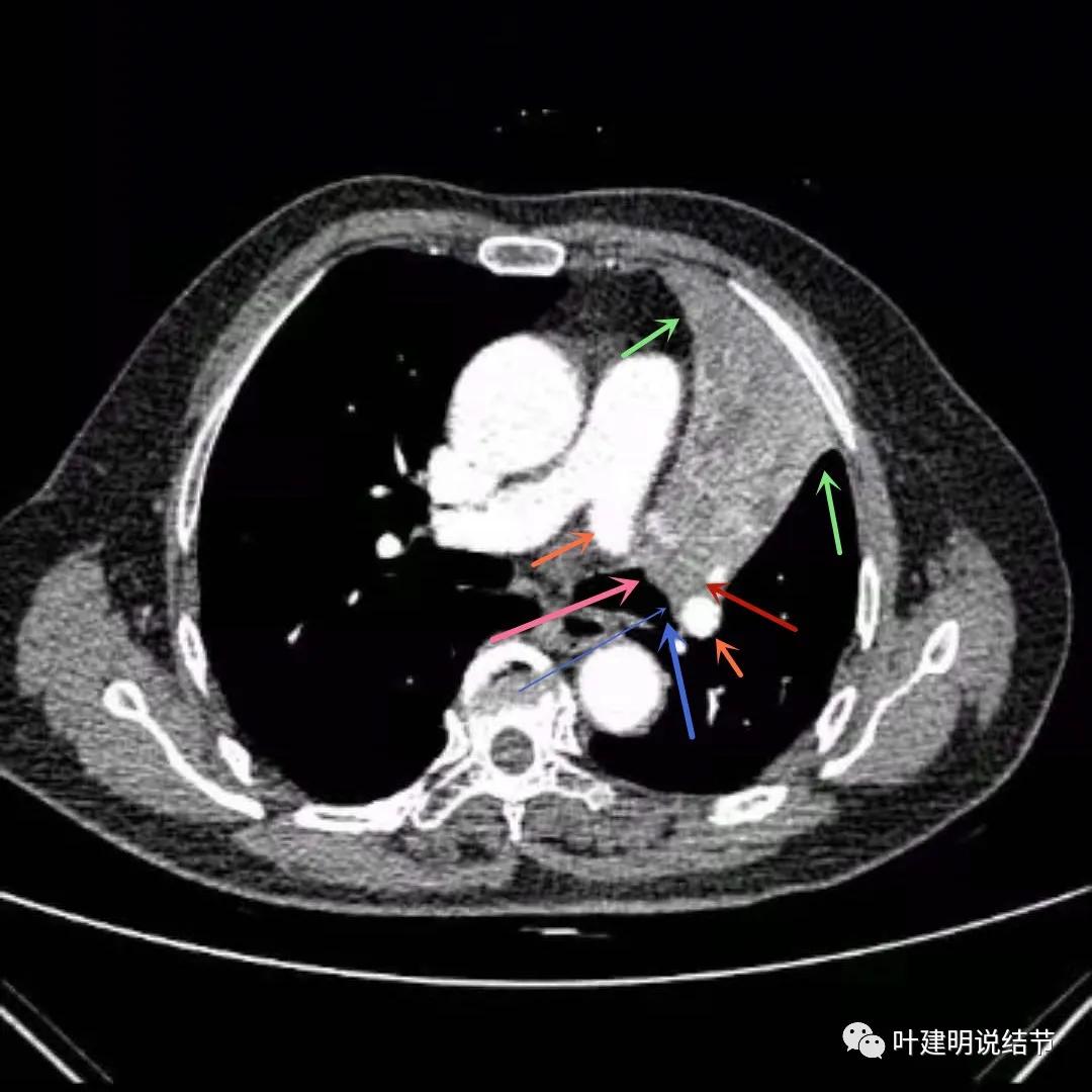
上图绿色箭头所指区域考虑为肺不张,红色示肿瘤处,桔色箭头所指处是被肿瘤包绕的肺动脉分支

上图绿色箭头所指区域考虑为肺不张,红色示肿瘤处且有不均质与膨胀性,桔色细箭头所指处是被肿瘤包绕的肺动脉分支起始部,粗桔色箭头示肺动脉与肿瘤间紧密愈着,考虑有侵犯肺动脉

上图绿色箭头所指区域考虑为肺不张,红色示肿瘤处,黄色箭头示肿瘤区域内有坏死低密度,桔色细箭头所指处是被肿瘤包绕的肺动脉分支起始部,粗桔色箭头示肺动脉与肿瘤间紧密愈着,考虑有侵犯肺动脉

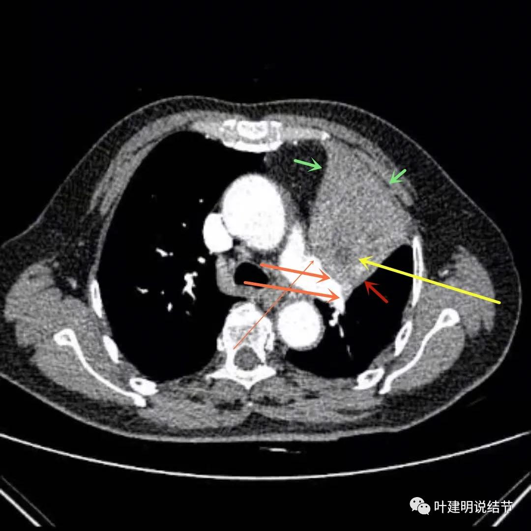
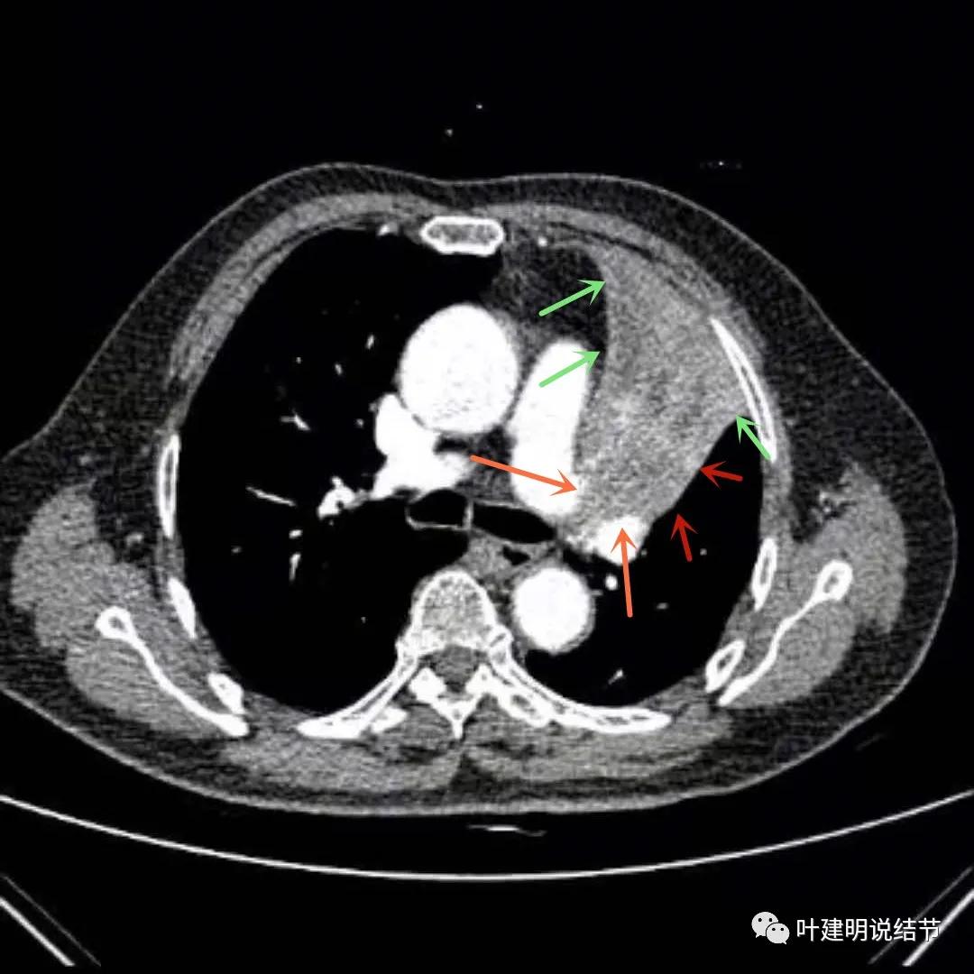
上图绿色箭头所指区域考虑为肺不张,红色示肿瘤处且有不均质与膨胀性,桔色细箭头所指处是被肿瘤包绕的肺动脉分支起始部,粗桔色箭头示肺动脉与肿瘤间紧密愈着,考虑有侵犯肺动脉

上图绿色箭头所指区域考虑为肺不张,红色示肿瘤处且有不均质与膨胀性,桔色细箭头所指处是被肿瘤包绕的肺动脉分支起始部,粗桔色箭头示肺动脉与肿瘤间紧密愈着,考虑有侵犯肺动脉

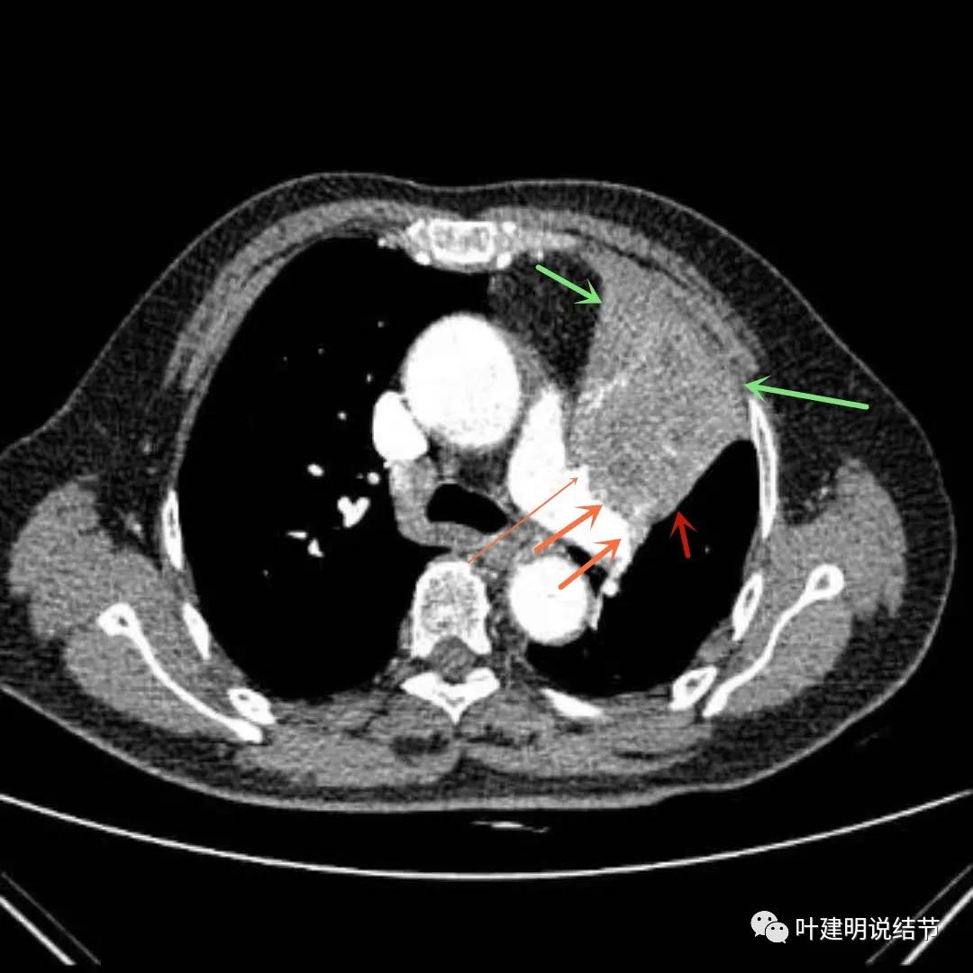
上图绿色箭头所指区域考虑为肺不张,红色示肿瘤处且有不均质与膨胀性,桔色箭头所指处显示肿瘤与肺动脉关系密切,考虑有侵犯肺动脉

上图绿色箭头所指区域考虑为肺不张,红色示肿瘤处且有不均质与膨胀性,桔色箭头所指处显示肿瘤与肺动脉关系密切,考虑有侵犯肺动脉

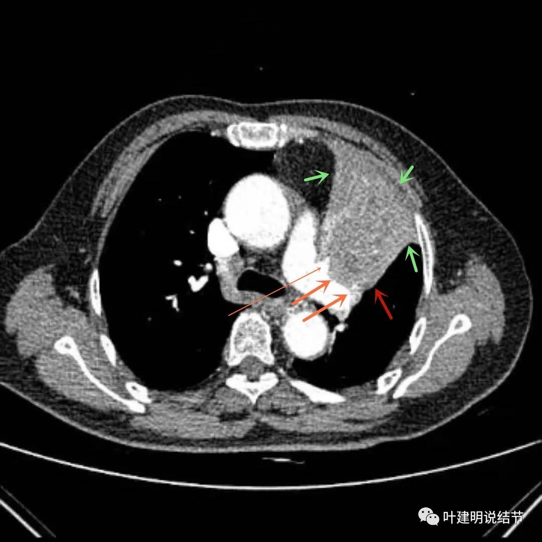
上图绿色箭头所指区域考虑为肺不张,红色示肿瘤处且有不均质与膨胀性,桔色箭头所指处显示肿瘤与肺动脉关系密切,考虑有侵犯肺动脉。之所以肺动脉中间有软组织影,是因为肿瘤长到肺动脉与支气管之间的缝隙里,相当于血管是跨在肿瘤上,与肿瘤接触的这面是侵犯愈着的。

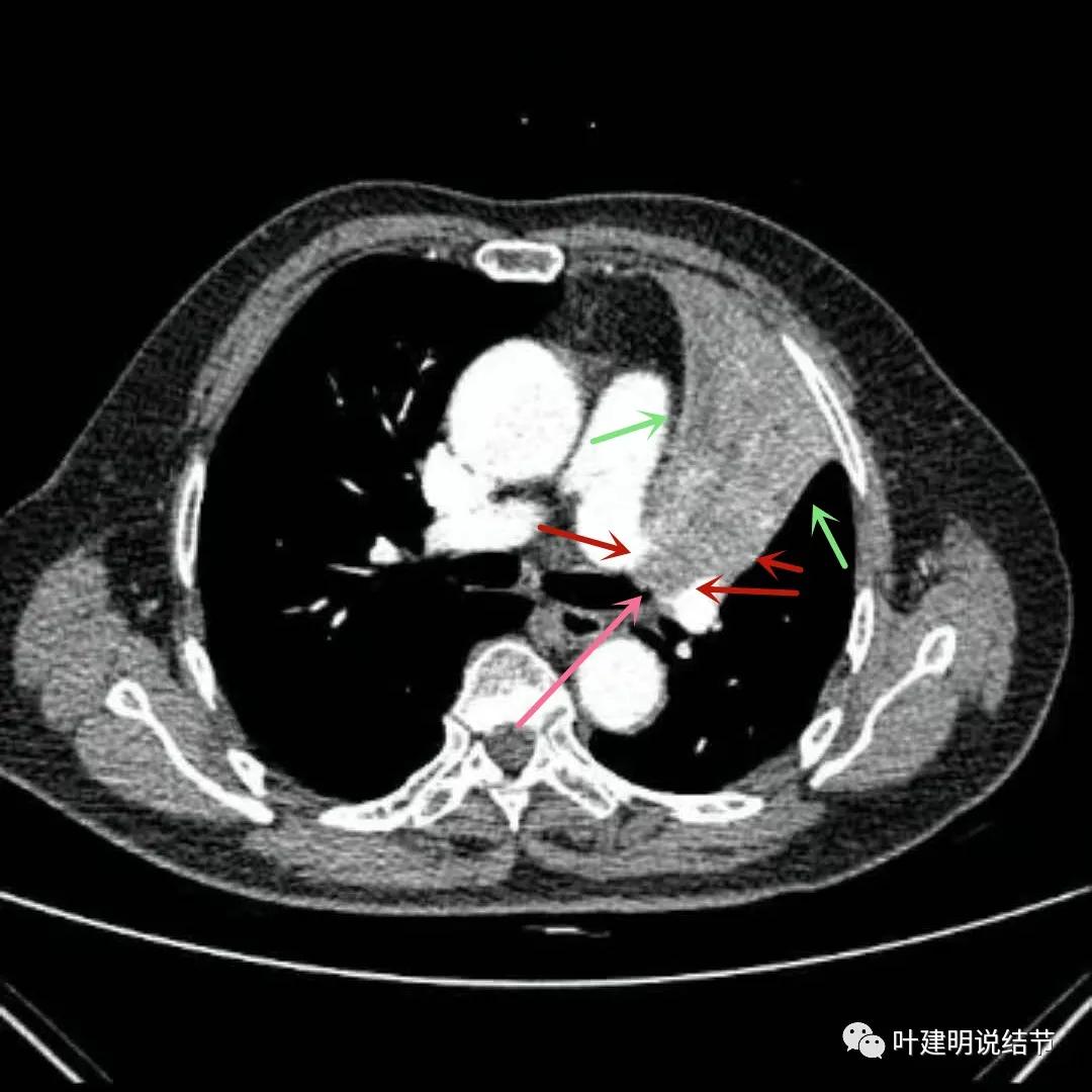
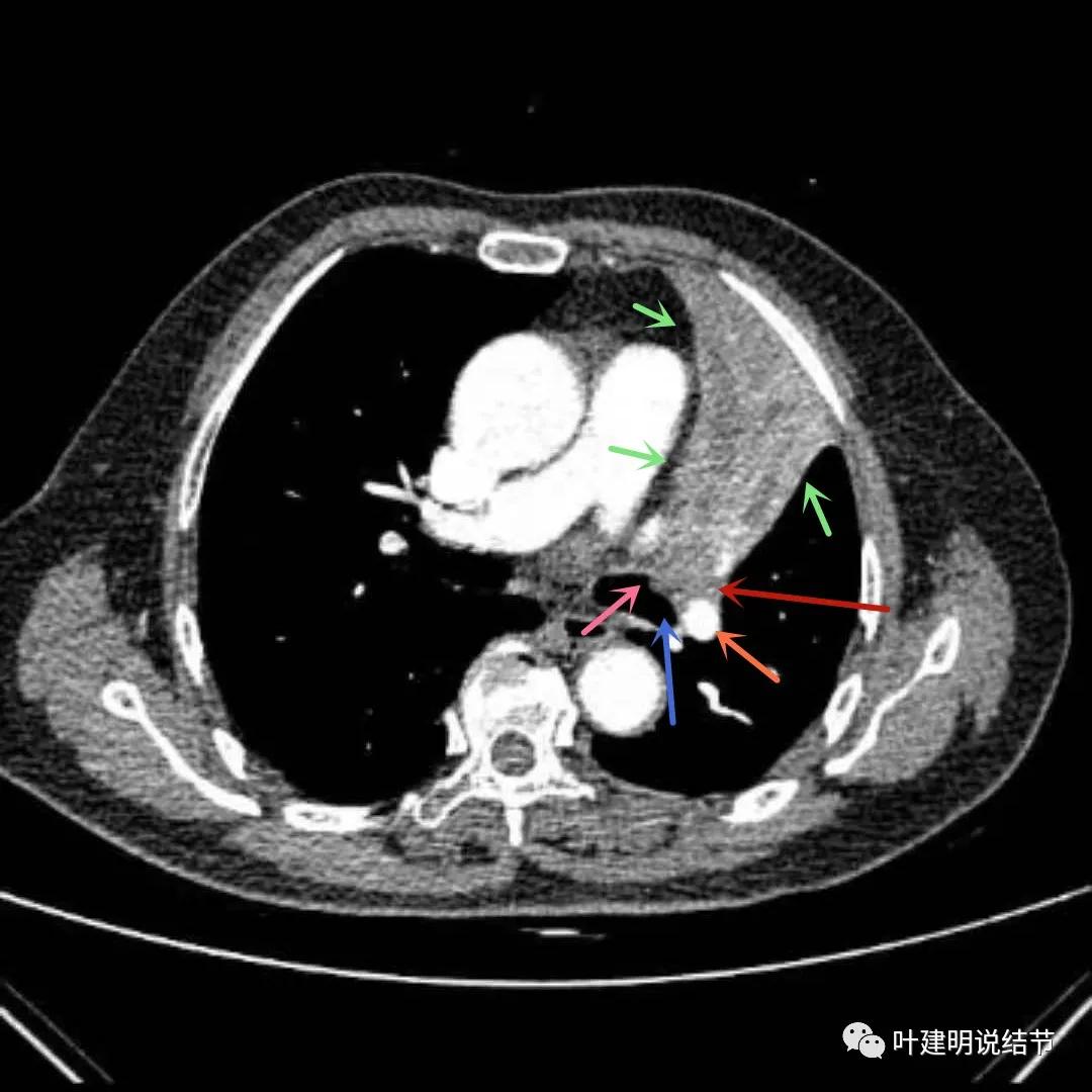
上图绿色箭头所指区域考虑为肺不张,红色示肿瘤处且有不均质与膨胀性,粉色箭头示左上叶开口处已经有肿瘤在,表面不平整。之所以肺动脉中间有软组织影,是因为肿瘤长到肺动脉与支气管之间的缝隙里,相当于血管是跨在肿瘤上,与肿瘤接触的这面是侵犯愈着的。

上图绿色箭头所指区域考虑为肺不张,红色示肿瘤处且有不均质与膨胀性,桔色粗箭头所指处是左侧肺动脉主干,桔色细箭头所示处是叶间动脉干。之所以肺动脉中间有软组织影,是因为肿瘤长到肺动脉与支气管之间的缝隙里,相当于血管是跨在肿瘤上,与肿瘤接触的这面是侵犯愈着的。粉色箭头示肿瘤累及左上叶支气管开口处,表面不平

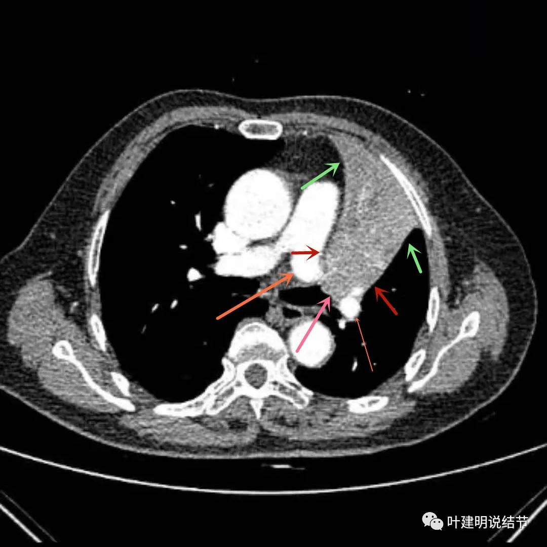
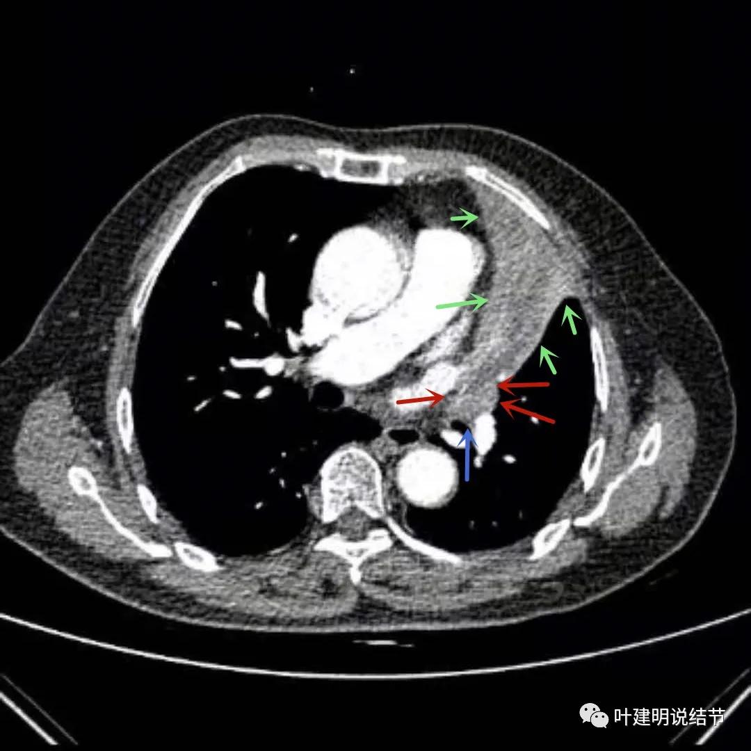
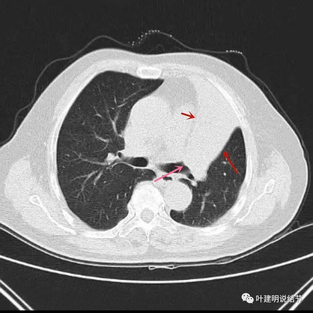
上图绿色箭头所指区域考虑为肺不张,红色示肿瘤处,桔色箭头所指处分别是左侧肺动脉主干与叶间肺动脉。之所以肺动脉中间有软组织影,是因为肿瘤长到肺动脉与支气管之间的缝隙里。粉色箭头示肿瘤累及左上叶支气管开口处,表面不平;蓝色粗箭头示左下叶支气管开口,细的蓝色箭头示肿瘤与下叶支气管壁的外壁(上下叶开*交口**界处,或称汇总区)关系密切,疑有侵犯的可能

上图绿色箭头所指区域考虑为肺不张,红色示肿瘤处,桔色箭头所指处是叶间肺动脉。粉色箭头示肿瘤累及左上叶支气管开口处,表面不平;蓝色粗箭头示左下叶支气管开口

上图绿色箭头所指区域考虑为肺不张,红色示肿瘤处,桔色箭头所指处是叶间肺动脉。

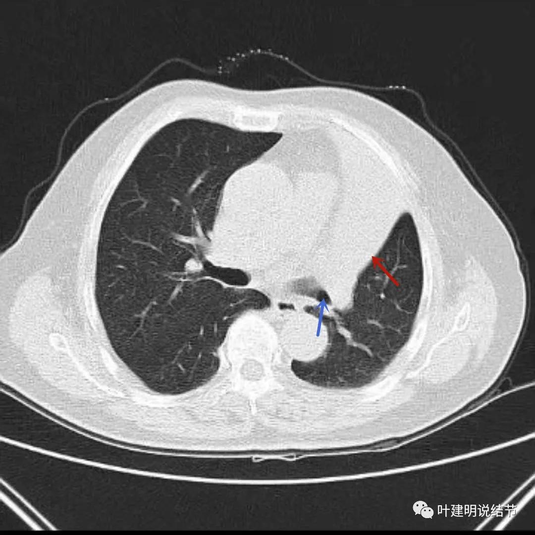
上图绿色箭头所指区域考虑为肺不张,红色示肿瘤处,蓝色箭头示左下叶支气管

上图绿色箭头所指区域考虑为肺不张,红色示肿瘤处,桔色箭头所指处是叶间肺动脉。蓝色箭头示左下叶支气管管腔

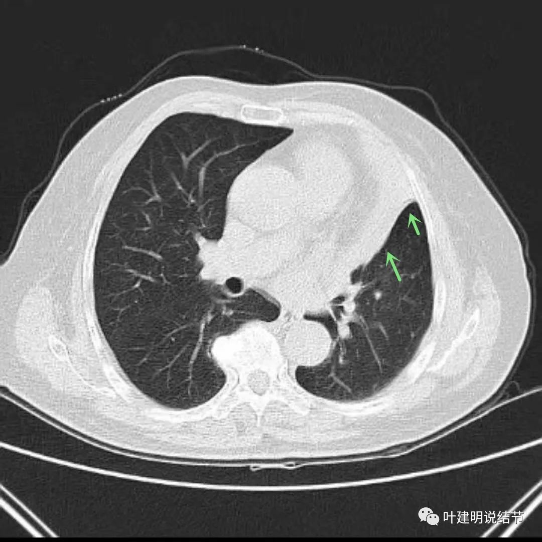
上图红色箭头示肿瘤,绿色箭头示肺不张

上图肺窗见左上叶实性密度影

上图见左上叶实性密度影,粉色箭头示病灶影响左上叶支气管开口,且不平整

上图与左上叶不张与肿瘤以及蓝色箭头所示的左下叶支气管腔是通畅的

上图示肿瘤、肺不张与下叶支气管

上图基本上只见肺不张部分了
我们下面展示的CT动图,方便观察连续层面:
下面我们来分析下我们的临床决策思路:
诊断:左上叶开口处占位伴左上叶阻塞性肺不张,影像是典型的中央型肺癌表现,纤支镜结果证实左上叶开口处新生物完全堵塞支气管,活检考虑鳞癌,符合影像表现。且相关检查没有明显远处转移。诊断:左上肺鳞癌伴阻塞性肺不张。
下一步可选的处理措施:
1、PET-CT检查:已经有病理依据,影像也典型,已经在外院做了头颅MRI增强、胸部CT增强、ECT以及相关彩超,再查PET可以,但先不查也关系不大。如果常规这些项目未见转移,PET查出转移的可能性相对较小,费用也比较贵,而且要自费。此与患方充分沟通后,也觉得先不查;
2、同步放化疗或化疗加免疫治疗等保守治疗:患者鳞癌,中央型,年纪较大,手术风险高,也有一些不确定性,如果保守一些,可以选择就保守治疗,不考虑手术,但理论上说手术以外的治疗措施没有根治的可能,起到延缓疾病发展的作用;但鳞癌相对于腺癌或小细胞癌来说,不容易远处转移,若有手术机会,争取手术才有取得较好长期生存的可能性;
3、手术治疗:这个地方的病灶,只做上叶切除肯定不行,要做得做上叶袖式切除并清扫淋巴结。由于汇总区有肿瘤,与下叶支气管壁关系也较密切,直接手术虽也可能成功,但手术难度相对较大,也有可能万一要改左全肺切除的可能,可这年纪若切全肺,心里还真没底。所以手术勉强可争取,但风险也大;
4、靶向治疗:可以送基因检测,若有合适靶向药则可选择靶向治疗,虽然鳞癌阳性的比例低,但也是有一线希望的。只是靶向治疗同样不能达到根治。如果患者及家属放弃手术的尝试,则可以基本检测下,看有没有希望吃靶向药,如果运气好,有基因突变及合适的药物,那么该治疗措施要放在放化疗之前;
5、新辅助治疗后再手术:新辅助治疗包括新辅助放化疗、新辅助化疗、新辅助化疗或免疫治疗以及可能情况下的新辅助靶向治疗。由于考虑后期争取手术,所以主要考虑新辅助化疗(或加免疫),放疗暂不考虑。好处是新辅助治疗后肿瘤可能缩小、与且动脉之间的间隙可能会露出来、汇总区可能会能分得开,后期的手术难度可能会减小,能完成袖式而不用切全肺的可能性会增大。坏处是如果新辅助治疗效果不佳,则更失去手术机会。另外也有碰到肿瘤虽然减小,但局部反而进展(比如肺门区进展,更侵犯血管等肺门处结构),从而增加手术难度,少了手术根治的机会。
经过与患方的充分沟通,决定接受新辅助化疗加免疫治疗2周期,之后复查胸部CT增强以评估手术切除的可能性,如果能手术,届时予以手术,如果进展或无法手术,则保守治疗。
欲了解后续治疗效果与情况,请关注文章更新。
敲黑板:新辅助治疗能缩小手术范围吗?好处在哪?
其实我一直觉得困惑,新辅助治疗的价值到底在哪里?如果初诊是能手术切除,若新辅助治疗后该切的仍要切,没能缩小手术范围,不能将本来的全肺降为袖切,本来的袖式切除降为叶切,那么为什么初诊时直接手术呢?假如说初诊时已经存在微转移,我们临床上发现不了,经过新辅助治疗也不能达到根治的目的,只是杀灭了大部分的微转移灶,也只是延长了复发转移的时间而已。我相信也仍有许多基层的胸外科或肿瘤科医生也有同样的想法。为此,我咨询了上海中山医院的王群教授与浙二医院范军强教授,他们的意见综合来说是下面的意思,与大家分享:
1、既往有数据的是新辅助化疗,目的是减少远处转移复发的可能,改善远期生存。也在一定程度上减小手术难度(比如肿瘤巨大,显露不佳时);
2、目前新辅助治疗不能改变手术方式,该全肺仍全肺,该肺叶仍肺叶;
3、既往单纯新辅助化疗的作用太过有限,所以争议较大。但近些年免疫加化疗的效果好了太多太多,有很大比例的患者经过新辅助化疗加免疫,甚至达到了病理完全缓解的程度。目前没有数据,但以后真的有可能新辅助化疗加免疫改变手术切除范围;
4、新辅助化疗加免疫治疗的话,先新辅助治疗,之后手术,手术后可以单用免疫治疗,不化疗。
(此处已添加医疗卡片,请到*今条头日**客户端查看)