动物名字:哈皮
动物种类:银渐层
动物年龄:3岁
基础信息:最近吃喝大小便都正常,就是眼睛不好了。
就诊原因:左眼表面有黑色斑块。
基础检查:W:4.3 kg(正常);呼吸:56次/min(偏快);心率:152次/min(偏高);体温:38.35℃(正常);精神正常。
(一)实验室检查:
1、眼表角膜与眼压检查


印象:角膜黑色坏死症,眼压正常。
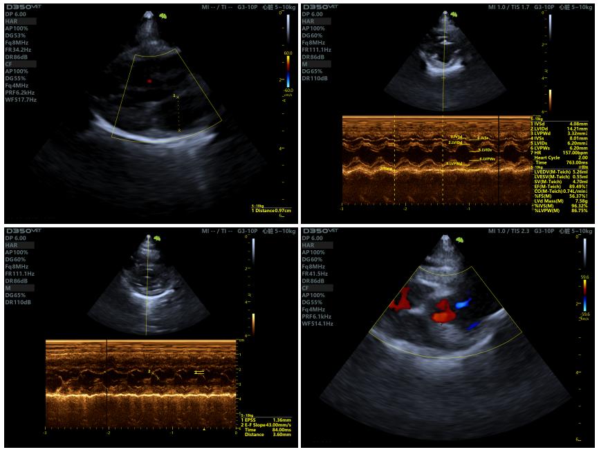
2、生化与心脏检查


印象:无异常,符合手术条件
(二)临床初步诊断:
大块角膜黑色坏死症。
(三)治疗方案


角膜板层切除+角膜保护镜+眼睑半关闭+术后持续滴眼药水
(四)预后良好
就诊当天,精神状态良好,术前检查无异常,手术稳定无异常,术后正常苏醒,当天饮水正常,未进食。
第二天,眼部红肿,精神状态一般,体温正常,少量进食,饮水排尿正常,未排便;每隔1-2小时滴眼药水。
第三天:眼部红肿情况减轻,精神状态尚可,体温正常,粮吃得少,爱吃零食,饮水正常,排尿排便正常,持续点眼。
第四天:眼部红肿情况减轻,精神状态良好,体温正常,爱吃零食,粮吃的比之前多,饮水排尿正常,未排便。
第五天,眼部红肿情况基本消失,精神状态良好,体温正常,爱吃罐头,饮水排尿正常,未排便。
第六天:精神状态良好,体温正常,饮食饮水排便排尿正常,符合出院条件,出院后继续每天点眼,另外口服促进角膜生长药物,按时复查。
第十五天,眼睑部位拆线,取下角膜保护镜,恢复情况还不错,重新佩戴角膜保护镜加眼睑半关闭。


左右滑动查看病例图集
第三十一天,取下角膜保护镜,回家正常喂养。
