全文5403字,预计阅读用时15min。附MDT大赛讨论视频,建议WiFi下观看。
本期肿瘤医学论坛病例来自广州市第一人民医院结直肠癌MDT团队,我们邀请数位专家讨论此病例的治疗思路,供医学专业人士参考。
患者基本情况
性别:男
年龄:47岁
主诊医院:广州市第一人民医院
入院时间:2017.11.6( 右半结肠癌术后1年半,肿瘤标记物增高1周 )
现病史:患者2016.6因“间断性下腹部胀痛、大便带血1月,加重伴肛门停止排便1周”就诊外院。2016.6.21结肠镜:进镜至升结肠,可见一黏膜隆起,占管腔1/2。 活检病理:升结肠高分化腺癌。 2016.6.22全腹部增强CT:1.右半结肠占位病变,考虑结肠癌并周围淋巴结转移,机械性不全性肠梗阻;2.胆囊炎,胆汁淤积。2016.6.23行 根治性扩大右半结肠癌切除术 。 术后病理:右半结肠高-中分化腺癌 ,侵及肠壁全层并突破浆膜层;切缘未见癌残留;淋巴结0/36;免疫组化:BRAF-,MSH2+,MLH1+,MSH6+,PMS2+。 术后分期:T4aN0M0,IIB期。 术后行4程CapeOX+2程mFOLFOX6化疗(患者化疗耐受差)。2017.10门诊发现肿瘤指标升高。
既往史、家族史:30年前行阑尾切除术。否认遗传病史,家族中无消化系统肿瘤患者。
入院检查
2017.11肿瘤标志物
术后1年半复查,第一次PD,DFS18个月。
CEA:221ng/ml;CA19-9:542.1U/ml。
2017.11.9结肠镜
右半结肠-回肠吻合口附近见一溃疡面。

2017.11结肠镜活检标本病理报告
病理诊断:中分化腺癌。

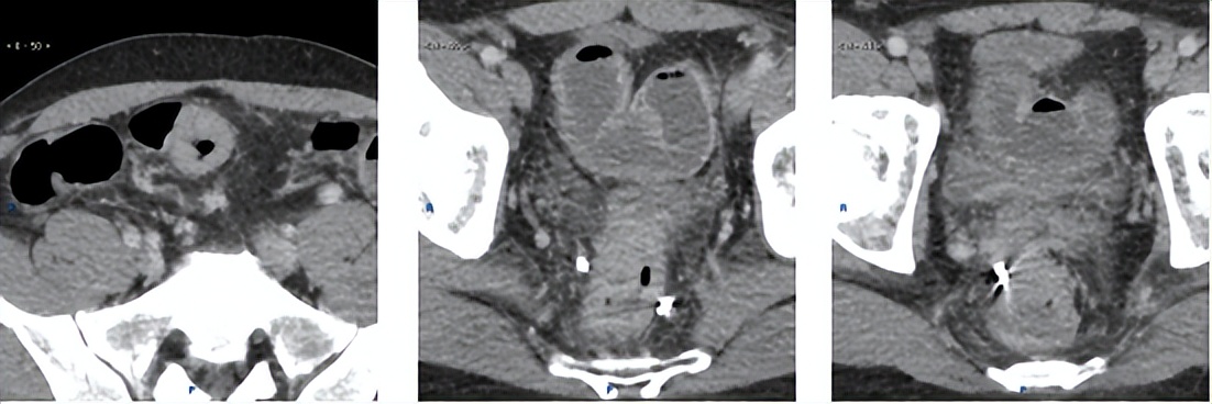
2017.11超声和CT
腹部超声:肝内多发性占位病变性质待查,结合病史考虑转移性肝癌可能,其它疾患待排,建议超声造影。
胸腹部增强CT:1.“右半结肠癌术后”,吻合口远侧复发肠癌,CT分期 rT3N0M1a;2.肝S3、S6病变,结合病史,考虑转移。

▲上:2016.12.21;下:2017.11.14。
第一次MDT讨论
患者目前情况
1. 饮食良好,二便正常,ECOG评分1分;
2. 结肠镜提示右半结肠癌局部复发;
3. CT提示肝S3 S6转移瘤。
讨论问题
1. 是否有手术指征?
2. 针对复发病灶及转移灶的手术时机选择?
3. 是否需要行新辅助治疗?
MDT团队结直肠外科意见: 患者是一般情况良好的47岁男性,目前没有明显的外科并发症。根据现有检查,目前比较明确该患者右半结肠癌术后复发,伴肝3段、肝6段寡转移的诊断。针对这种情况,治疗目的是达到NED状态。我们认为该患者原发灶和转移灶技术上可切除,但患者原发病灶淋巴结转移情况还不明确,目前检查未提示原发肿瘤淋巴结有阳性证据,如果进行CRS评分可初步定为2分,对2分的患者我们推荐先行结肠肿瘤的切除,同期分期处理肝转移灶,后期做辅助化疗。当然我们建议该患者做PET/CT以明确全身转移包括淋巴结转移的情况,如果淋巴结转移有阳性证据,我们可以将CRS定为3分,而对于3分的患者我们推荐先做新辅助化疗,因为许多研究证实CRS 3分的高危患者更有可能通过术前新辅助治疗获益进而延长生存期。当然这需要与患者及家属沟通,因为新辅助治疗有可能会影响手术、错过手术窗口期。
MDT团队肝胆外科意见: 结直肠癌肝转移是晚期结直肠癌常见的转移部位,完整地切除肝转移瘤是根治CRLM的主要手段。目前较明确结肠癌肝转移的诊断。该患者肝转移病灶主要有两个,一个位于S3段,近门静脉矢状部,尺寸偏大,另一个位于S6段,尺寸较小。结合结直肠癌肝转移诊疗指南2016年版,如果先做肝转移瘤的切除或者回缩,残余肝体积应该>50%,属于可考虑切除的范围。该患者肿瘤负荷不大,手术创伤偏小,如果结肠癌可以做根治性切除的话,肝胆外科也考虑做同期的同切口肝转移瘤切除或回缩。S3段的病灶较靠近门静脉矢状部,门静脉的左支、左肝外叶分支可能有受侵,所以从肿瘤学效果来说,考虑做左肝外叶的切除。至于S6段的病灶,从保留更多FLR的角度来说,建议做射频消融进行回缩处理。同时要注意做术中超声,以排除是否存在一些术前没有发现的病灶,若有则做同期切除或消融,达到NED状态。术后一个月建议复查肝胆MR,了解是否有新发病灶。
第一次MDT后治疗方案
经肿瘤内科沟通后患者手术意愿强烈,决定行第二次手术。
2017.11.21 行右半结肠癌复发切除+肠粘连松解+胆囊切除术+肝s6段恶性肿瘤射频消融术+左肝外叶切除术。
术后辅助化疗。
2017.11术后病理
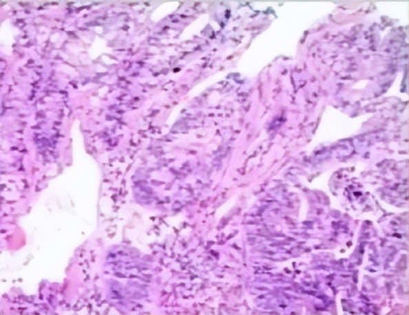
1.(左肝外叶)结合HE形态及临床病史,符合肝转移性腺癌伴灶区坏死(肠癌 原发),送检标本之断端未见癌累及。2.(胆囊)慢性胆囊炎,切片未见癌累及。3.(吻合口原发肿物)肠中分化腺癌(肿物大小:4x3x1.5),癌组织浸及肠壁全层,切片未见明显神经及脉管浸犯;另于肠系膜检出淋巴结9枚,其中2枚见癌转移(2/9)。
诊断:结肠癌术后复发rT4aN1M1aIVA期。

▲肝脏病理。

▲吻合口原发肿物病理。
治疗过程
2017.12-2018.10 辅助化疗:7程FOLFIRI化疗。
2018.1复查
肿瘤标志物:CEA:72.62ng/ml;CA19-9:63.44U/ml。
结肠镜:1.右半结肠部分切除术后吻合口炎;2.痔疮。
腹部CT:“结肠癌术后”复查如上述,考虑吻合口炎。请随访。肝左叶、胆囊缺如。肝S6转移瘤消融术后改变。

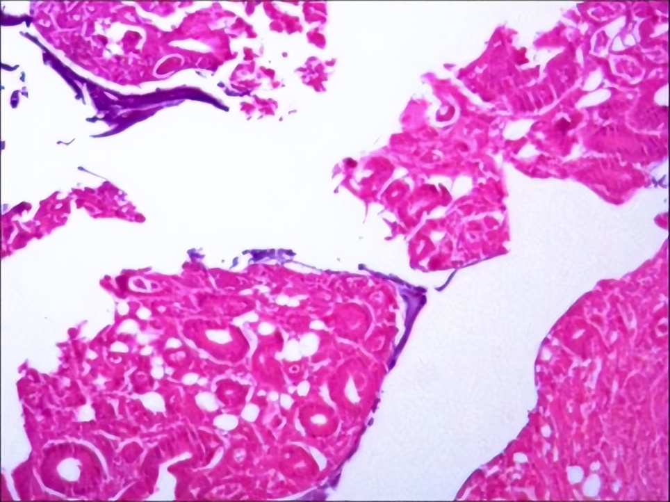
2019.1.11病理
(结肠)符合腺癌(镜下呈中分化);(直肠)镜下见小块肠粘膜组织,其内见少量重度异型腺管,结合临床病史,考虑为腺癌累及。
疗效评价:PD。

▲结肠病理。

▲直肠病理。
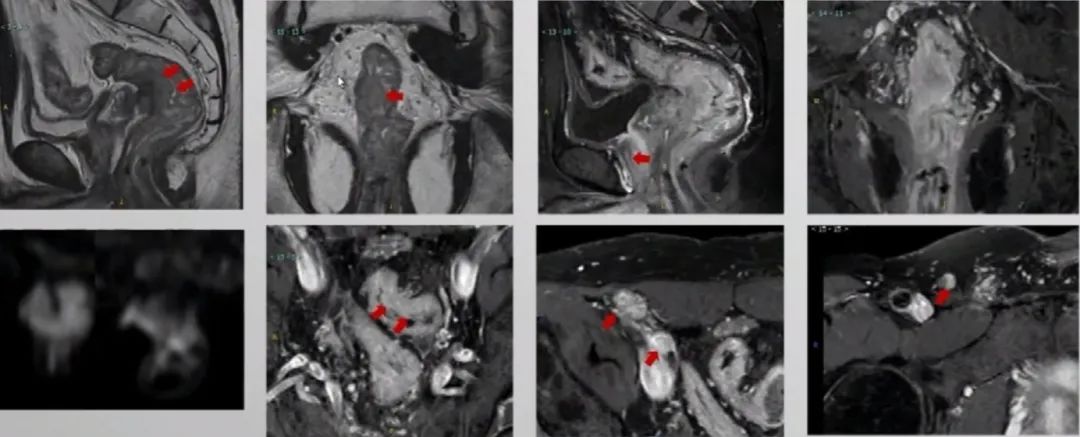
2019.1.16盆腔增强MR
1. 上段直肠癌,MR分期拟T4bN0M1,MRF(+),EMVI(-);
2. 乙状结肠癌,MR分期拟T3aN0M1。

第二次MDT讨论
患者目前情况
检查结果提示患者属于多原发肿瘤。
讨论问题
针对此肿瘤分期和多原发特性,是否能够再次手术?
MDT团队结直肠外科意见: 患者一般情况良好,目前明确乙状结肠和直肠癌复发病灶,伴非区域淋巴结转移。目前原发灶无明显症状,不建议做原发灶切除。因为既往多数研究包括经典的日本的JCOG1007研究就证实对此类患者来说手术处理原发灶并不能延长生存期,而且后期化疗并发症会更严重,有一部分患者可能出现手术并发症。所以对这类患者我们不建议针对结肠和直肠的病灶做手术处理。考虑到患者已用过一线CapeOX、mFOLFOX以及二线FOLFIRI方案,但还未用靶向药,我们建议患者做基因检测,以指导后续靶向药物的引入。
2019.1.24基因检测
KRAS p.G12D Exon2突变;PIK3CAp.H1047LExon21突变;PDL1表达阴性;TMB4.84 Muts/Mb;MSS。


治疗过程
2019.1-2019.5 化疗治疗:
5程奥沙利铂+伊立替康+雷替曲塞+贝伐珠单抗。
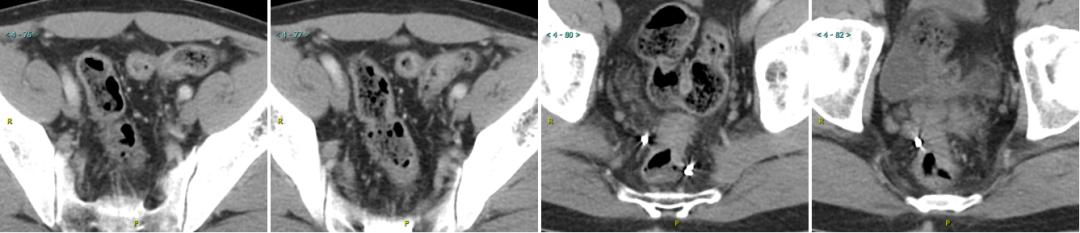
化疗期间(2019.3.13)复查CT
1.“右半结肠癌术后”复查,吻合口处未见肿瘤复发迹象;2.乙状结肠、直肠壁增厚并肿块形成,增厚程度及血供较前减小,乙状结肠癌拟yT2N0,上段直肠癌拟vT3N0:3.肝左叶、胆囊缺如。肝S6转移瘤栓塞术后改变,较前相仿。
疗效评价:PR。

治疗过程
2019.5开始维持治疗:瑞戈非尼维持治疗。
2019.8 复查
腹盆部增强CT:1.“右半结肠癌术后”复查,吻合口处未见肿瘤复发迹象;2.乙状结肠、上段直肠壁增厚程度较前进一步减轻,乙状结肠癌拟yT2N0上段直肠癌拟 yT3NO;3.肝左叶、胆囊缺如;肝S6转移瘤栓塞术后改变,较前变化不大。
疗效评价:SD。

2019.12 疗效评价
PET/CT:升结肠癌术后,对比2019.1.24 PET/CT:结肠吻合口未见明显肿瘤复发征象;上次检查所见乙状结肠及直肠多发肿瘤病灶,本次检查未见显示;肝转移术后、综合治疗后表现:腹膜后区及右侧髂血管旁少许小淋巴结,代谢未见异常,考虑为淋巴结转移治疗后处于抑制状态,与上次检查比较病灶数量减少,代谢减低;右侧后胸膜病灶周围胸11椎体右侧缘新发成骨性骨质破坏。
胸椎增强MRI:T11椎体及右侧第11肋骨头异常信号,考虑转移瘤。

第三次MDT讨论
患者目前情况
患者T11椎体新发骨质破坏,胸椎增强MR提示T11椎体及右侧第11肋骨转移瘤。患者胸腰背疼痛,外科手术意愿强烈。
讨论问题
是否有手术指征?
MDT团队脊柱外科意见: 患者目前症状以腰背痛为主,VAS疼痛评分7~8分,脊柱转移瘤解剖分型TomitaⅠ型,Tomita转移瘤预后评分6分,脊柱肿瘤稳定性SINS评分是12分,属于潜在不稳定状态。脊髓损伤评分是ASIAⅠ级。由于病人一般情况较好,原发病灶也控制得比较好,没有肝、肺转移,根据2019年6月中华医学会脊柱转移瘤诊疗指南,属于单一局限病灶,肋骨头可以一并切除。
治疗过程
2020.1.13 第三次手术:
胸腰椎后路:T9-L1椎弓根螺钉内固定、椎管减压、T11椎体、附件、右侧第11肋骨切除、人工椎体、异体骨置入术。
2020.1术后病理
(胸11椎体+右侧第11肋骨头)骨髓腔内及纤维脂肪组织内可见少许癌组织,结合临床病史符合转移性结肠腺癌。
免疫组化结果:CK(+),CDX-2(-)。

疗效评价
2020.6 疗效评价:PD。
2020.6.28肿瘤标记物:CEA:153ng/ml;CA19-9:284.7 U/ml。
2020.7.6结肠镜:内镜到达左半结肠,可见一肿物,隆起堵塞肠腔;距离肛门约为10cm处,可见一息肉样降起,表面粗糙,质地脆,易出血,活检送病理检查。(降结肠及直肠)均为:中分化腺癌。
PET/CT:结肠癌综合治疗后,对比2019.12.6 PET/CT:1.升结肠术后改变,肠吻合口未见明确肿瘤复发征象,乙状结肠、直肠多发病灶代谢活跃,考虑结直肠癌,较前为新发病灶,建议肠镜检查;2.骨转移术后,T11椎体及双侧第11后肋术后改变。右侧第11肋骨成骨性骨质破坏代谢活跃,考虑骨转移瘤,其中腋段病灶代谢较前增高,后段病灶较前为新发;T10、T12成骨性改变,代谢活跃,多考虑转移瘤;3.肝转移综合治疗后,肝左叶术后缺如,局部未见明确肿瘤征象。
治疗过程
2020.7 放化疗:
T9-L1椎体局部放疗:30Gy/10F;
5程化疗:FOLFOX+PD1*制剂抑**(国产)。
2020.11 复查
ECT:1.第10、12胸椎,右第10后肋,右第4、10前肋骨质代谢异常增高,考虑为结肠Ca骨转移;2.第11胸椎术后改变;3.新增第10、12胸椎,右第9后肋,右第4前肋病灶,右第10前肋放射性浓聚较前明显。
胸腹部增强CT:1.“右半结肠癌术后”,乙状结肠、上段直肠壁增厚程度较前加重,乙状结肠癌拟vT3N0,上段直肠癌拟vT3N0,如上述;2.肝S6转移瘤治疗后改变,较前相仿;3.右侧第10前后肋、T10、12椎体骨质成骨破坏,考虑转移:T11椎体、右侧第11肋术后改变。


治疗过程
2020.11 化疗5程:伊立替康+雷替曲塞+贝伐珠单抗+PD1*制剂抑**(进口)。
2021.2.26 疗效评价:SD。
2021.4.11 维持治疗:口服 呋奎替尼+曲氟尿苷替匹嘧啶 7程。
2021.12.9 复查肿瘤标记物:CEA:223ng/ml:CA19-9:206U/ml。
2021.12.19 复查ECT和胸+全腹CT。
2021.12 疗效评价:SD。
2022.3 再次调整方案:PD-L1*制剂抑**维持8程。
肿瘤标志物变化图

时间轴

肿瘤医学论坛,赞8
专家讨论
Q 中山大学肿瘤防治中心结直肠科 林俊忠教授:
患者于16年6月进行右半根治,16年底结束辅助化疗,但17年11月就复发,合并肝转移,所以患者属于生物学行为较差的一类肠癌患者。在复发与肝转移之后,当时市一团队选择直接手术。该患者吻合口复发的程度低,是否有考虑先行化疗再做手术?
A 市一MDT团队结直肠外科:
患者于16年出现急性肠梗阻,在外院做了开腹的右半结肠癌根治手术,后因化疗耐受程度差,术后并没有规范地完成辅助化疗,总共只用了4次XELOX化疗,之后在另一家医院追加了2次FOLFOX化疗。在我们沟通过程中,患者对化疗已经比较抵触,综合考虑后才决定直接为他做第二次手术。
Q 中山大学肿瘤防治中心结直肠科 林俊忠教授:
本次肠癌肝转移手术前用CT来评估肝转移灶。我们知道,CT对肝转移瘤的检出率有一定误差,因为不同于肝癌,肝转移瘤经常是多发的,而且有很多小病灶。请问肝胆外科专家,对于提高肝转移瘤检出率、减少小病灶遗漏方面有什么好的措施?
A 市一MDT团队肝胆外科:
患者当初只做了肝胆彩超和腹部CT,并未做普美显MR或超声造影,问题主要在于患者个人配合度较低。但是从术前转移灶的数目、大小及位置的检查准确度来说,我们是推荐做普美显MR增强、超声造影以及术中肝脏超声检查或超声造影的,这样做可能检出更多术前影像学没有发现的病灶。许多文献和病例报道也发现,就算术前做了一个超声造影或者是普美显MR,术中的超声或超声造影也会有检查出新发的或术前未检出的病灶的可能。所以现在业界越来越重视术中超声,尤其是术中超声造影的应用。
Q 中山大学肿瘤防治中心结直肠科 林俊忠教授:
根治术后,显示该患者所有病灶都已去除,应该处于NED状态,这时团队选择了FOLFIRI方案。请教内科专家,NED之后选用FOLFIRI方案是出于什么考量?
A 市一MDT团队肿瘤内科:
根治术后考虑是NED状态,但因为患者初始化疗方案是FOLFOX,距离上次的化疗是一年半左右,这时究竟应该做术后辅助还是做姑息性化疗,我们当时也是有纠结的。但由于患者当时出现了便血这一特殊情况,所以最终我们使用了FOLFIRI方案。
Q 中山大学肿瘤防治中心结直肠科 林俊忠教授:
我也赞同此做法,因为患者是在XELOX方案之后不到一年就出现了复发,对于生物学行为这么差的患者,NED之后到底是做辅助化疗还是姑息性化疗、是否常规给予化疗以减少复发转移率,这一点目前还是有学术争议的。最后一个问题,该患者再次出现腹膜后淋巴结转移,以及直肠、乙状结肠的病灶,乙状结肠病灶相对比较早期,直肠病灶局部进展。像这样的病例,如果给予直肠的放疗以及腹膜后的放疗,是否有好处?
A 市一MDT团队肿瘤内科:
该患者考虑是多原发的肿瘤,对于这种情况目前是没有统一的诊疗规范的,检查结果又显示乙状结肠病灶局部分期较晚,再考虑到患者放疗之后的生活质量问题,最后我们还是决定给予患者全身的化疗。
专家点评
南方医科大学顺德医院胃肠外科主任 剧永乐教授:
市一团队为我们分享了一个非常棘手的病例。团队制定的诊疗方案有坚实的理论基础和系统的专业知识,汇报病例时语言表达也有很强的逻辑性,专业术语使用规范。在循证理念上,该病例情况复杂,多原发,而且时间跨度长达6年多,但团队在循证依据支撑这一块也做得比较准确,也没有回避评委的问题,实事求是。患者从那么复杂的情况到目前可以进行三线治疗的状况,这一点也充分体现出MDT团队良好的协作精神。