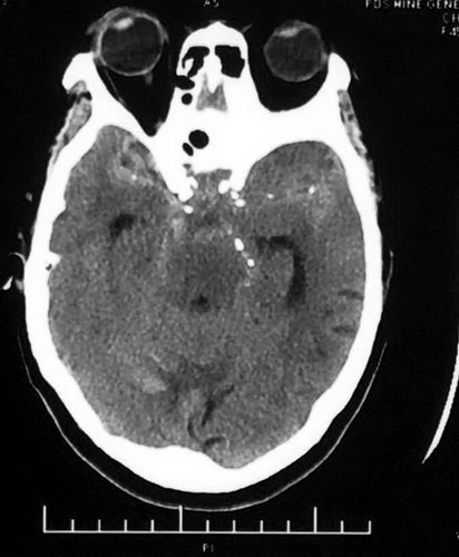
一、病例特点: 患者68岁,女性 、急性起病,因“突发恶心呕吐3天”入院。 通过查体:患者一般状况较差,血压最高188/109mmHg,其余生命体征基本平稳。神志模糊,失语,查体欠合作。双侧瞳孔等大等圆,左:右=3:3mm,对光反射灵敏。颈抵抗2横指,克氏征阳性。左侧肢体刺激可动,右侧肢体肌力0级,右则肢体肌张力中度增高。深浅感觉无法检查,右侧浅反射减退,双侧病理征可疑阳性。入院后完善相关检查。CT提示以基底池为主的蛛网膜下腔广泛高密度灶,考虑为SAH,同时存在脑积水 ,出血。
二、诊断:破裂性右侧大脑后动脉瘤,合并基底动脉顶端动脉瘤。
三、通过全脑血管造影术+动脉瘤栓塞术进行手术治疗。
手术过程中:因有两处动脉瘤,责任动脉瘤考虑为右侧大脑后动脉瘤,较大,同时形态不规则。病情较重,考虑急性期简单处理,填塞破口,防止再出血。一期行单纯栓塞部分治疗,后期再予支架处理。
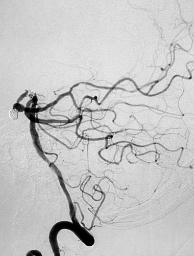
全脑血管造影提示:左侧颈内动脉主干血管明显狭窄,大脑中动脉及前动脉基本闭塞,左侧供血差,颈外动脉有少量代偿,左侧椎动脉造影示右侧大脑后动脉P2段夹层、基底动脉顶端,分别大小为6 mmX5mmX4mm瘤颈约5mm;4 mmX4mmX3mm瘤颈约3mm。
先微导管Echelon到位右侧大脑后动脉瘤,小心成篮,在保留大脑动脉通畅情况下尽可能地多栓塞动脉瘤体部与顶部,对瘤颈的栓塞不强求;分别为Presidio 3D 5mmX17cm,EV3 3D 3mmX6cm,3mmX4cm,2mmX4cm,在观察形态学弹簧圈对载瘤动脉无明显影响后实行解脱,最后造影见右侧大脑后动脉动脉瘤顶端不显影,近端于瘤颈处仍有部分显影。 之后再退至基底动脉瘤内,行部分栓塞,EV3 3D 4mmX8cm,2mmX4cm, 1.5mmX2cm,1.5mmX2cm,不用支架,是因为考虑病情较重,脑室较大,术后可能要行脑室外引流术,而支架应用则需用双抗会造成手术操作困难。后期拟再行补救支架手术。
手术过程顺利,术后给予补液、抗癫痫 、缓解血管痉挛、调节血压、加强营养、抑酸、预防感染、化痰等治疗。现患者生命体征平稳,意识清楚,双瞳孔等大同圆,对光反射灵敏,四肢活动同入院。术后复查头颅CT血肿较前好转,同时症状好转,未再行积极的外科处理。
手术后患者病情明显好转好转,手术后每6个月定期复查头部CTA及肺部CT均显示正常,病情平稳,未再行其它手术治疗。
四、单纯裸栓治疗对于破裂性后循环多发动脉瘤,处理起来有时比较困难,但确定责任动脉瘤非常重要,这需要结合出血部位、动脉瘤位置及可能破裂的风险来进行综合判断,明确后需首先干预。本病例考虑以右侧大脑后动脉瘤为责任动脉瘤,因此首先处理。 破裂后循环动脉瘤,采用裸栓,还是支架辅助? 无疑对宽颈动脉瘤,支架辅助是一种有效的办法。但对急性期支架的使用会带来很多其它的问题,主要是双抗的使用会导致出血风险增加。因此单纯栓塞还是首先选择,这时需要强调分区、分部栓塞和成篮选择,尽可能地多地栓塞动脉瘤顶及体部,对瘤颈要实现一定程度的保护。除了祼栓外,微导管微导丝、球囊保护也是可以采用的技术。

ICA造影

ICA造影

左侧椎动脉2D造影示右侧大脑后、基底动脉顶端动脉瘤

3D成像

首先栓晒右侧大脑后动脉瘤

右侧大脑后动脉瘤术后侧像


在处基底动脉瘤术后正侧位像