
2020年7月15日,2020神采飞扬学术季直播中,复旦大学附属华山医院神经内科吴冬燕老师分享了“睡眠障碍病例实战及诊治策略”.各位学员都反馈紧贴临床实践,非常实用。这里我们整理了讲座的部分内容,以飨读者,完整视频请戳阅读原文。
◈
病例重现1

华山门诊一位45岁的女性患者,一进门手舞足蹈兴高采烈,询问患者哪里不舒服,患者回答“睡不着,心里不舒服,20多年了,最近重了”。医生的第一反应是心里不舒服应该去心脏科啊,但是看到患者有“手舞足蹈”的典型表现,就进一步询问患者病史,“你扭来扭去不停地动,是不是哪里不舒服啊?”患者回答:“我没有不舒服,但是动一动就舒服了……”吴医生进一步询问,“你家里人是不是有类似的症状?”患者回答:“你还真说对了,我妈和我一样的,也要动来动去才开心”。
◈
病例重现2

14岁男性患者,上课时腿在桌子下面乱窜,逐渐加重,晚上不停在床上打滚,后半夜才能睡着。在北京住院期间医生曾怀疑骨肉瘤,但各项检查结果均不支持,出院诊断是“躯体化障碍”,继续在精神卫生中心服用舍曲林和喹硫平,治疗“躯体化障碍”,但住院2个月症状进一步加重,整晚无法入睡。最后就诊华山,诊断为不安腿综合征(RLS)。
1 RLS的诊断标准的诊断标准
活动双下肢的强烈愿望,经常伴随双下肢不适感,或不适感导致了活动欲。就像这位兴高采烈的妇女一样,患者可能并不觉得自己腿不舒服,但就是很想动。
1.出现于休息或不活动(如患者处于卧位或坐位)时,或于休息或不活动时加重。
2.在活动(如走动或伸展腿)过程中,得到部分或完全缓解。
3. 傍晚或夜间加重,或仅出现在傍晚或夜间。
以上这些临床表现不能纯粹由另一个疾病或现象来解释,如肌痛,静脉淤滞,下肢水肿,关节炎,下肢痉挛,体位不适,习惯性拍足。
家族史,多巴胺受体激动剂(DA)有效,夜间周期性腿动现象(PLMS)这三点可以增加RLS诊断的筹码。
2 RLS的分类
1.按病程分类
-
慢性持续性RLS:最近一年内,未经治疗的患者出现症状的频率为平均每周两次或以上
-
间歇性RLS:症状出现的频率为平均每周少于两次,且一生中至少有过5次RLS活动
2.按发病年龄分类
-
早发性RLS(50岁前发病):可能与遗传相关,程度较轻,可缓解
-
晚发性RLS(50岁后发病):快速进展加重
3.按病因分类
-
原发性RLS(家族性,特发性)
-
继发性RLS
◈ 继发性RLS可能的原因
1.缺铁
2.晚期肾脏疾病(2-5倍)
3.妊娠(2-3倍)
4.周围神经病
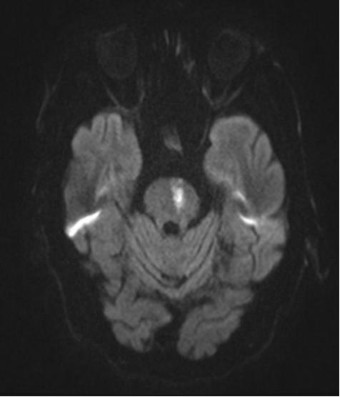
5.脑干、脊髓病变

位于脑桥脑梗死病灶,突发的不宁腿,右腿比左腿严重
6.帕金森病
7.药物(导致或加重RLS症状):
-
抗多巴胺能药物(抗精神病药物)
-
抗组胺药(苯海拉明)
-
三环类抗抑郁药(TCAs)
-
选择性5-羟色胺再摄取*制剂抑**(SSRIs)
3 流行病学
患病率:从2.7%(显著的临床表现)到7%(所有的RLS)
原发性RLS,美国的总体患病率估计分别为1.5%和2.4%
与年龄相关,症状可以从儿童时期开始,38%的成年RLS患者在20岁以前出现症状,10%在10岁前出现症状。平均发病年龄为30-40岁。
在美国,RLS的总体患病率约为2.4%,随着年龄的增加,从1.4%(20-29岁)上升到3.3%(60-69岁),然后下降到1.7%(69岁以上)
4 遗传学
RLS常见家族史(早发性RLS),支持RLS的诊断。
原发性RLS约63%的患者报告至少有一位一级亲属有类似症状。
迄今还未发现RLS的单基因病因。
Snips:BTBD9, MEIS1, MAP2K5/LBXCOR, PTPRD
5
影像
MRI阴性(原发性RLS)
铁敏感的MRI序列显示:大脑几个区域的铁含量降低(黑质,丘脑,壳核和苍白球)
25例未经治疗的特发性RLS患者静息状态fMRI:丘脑与右侧海马旁回,右侧楔前叶,右侧前中央前回和双侧舌侧回线的连通性降低,但与右侧颞上回,双侧颞中回和右侧额中回的连通增强。RLS中的异常丘脑连通为RLS中感觉信息的受损处理提供了支持,这进一步证明了RLS是感觉运动整合障碍。
fMRI: 纹状体突触多巴胺增多。壳核和尾状核中D2受体结合电位降低,而夜间腹侧纹状体D2受体结合电位明显增加,提示突触前多巴胺能活性增加
6 病理生理学
铁和多巴胺的代谢、转运和利用有关
皮层-脊髓兴奋性异常
7 评估-1 实验室检查
无 高度特异性或敏感性的RLS生物学标志物。
是否服用导致或加重RLS的药物:SSRI、SNRI加重RLS,这些药物引发RLS的风险约为5%。三环类抗抑郁药、奥氮平。质子泵*制剂抑**通过十二指肠pH值升高而干扰铁吸收来加重RLS 。
所有患者在第一次就诊时、症状恶化时都应测血清铁蛋白。
尽管不可靠,但血清铁状态可间接衡量脑铁水平。
铁蛋白是一种急性期反应物,其含量并不总与实际的体内铁状态相对应,但这是指导替代铁治疗的最佳指标。血清铁蛋白<75 μg/l被认为是铁蛋白降低;<30 μg/l为显著异常。
8 评估2-IRLS
评估RLS严重程度的最常用量表:
国 际RLS量表(IRLS,International Restless Legs scale)

临床总体印象量表(CGI, Clinical Global Impression)
RLS-6量表
约翰霍普金斯严重程度量表
9 评估3-PSG
多导睡眠监测(PSG)不作为常规推荐
但出现以下情况可行PSG:
-
有PLMS导致的睡眠破碎和白天过度嗜睡,PSG有助于评估RLS相关的睡眠障碍;
-
疑其他异态睡眠、睡眠呼吸暂停等加重了失眠。

10 评估4-下肢制动试验

45°半卧位,制动腿部,晚上9~10点间评估
