在我们的日常生活中,有一句俗话这样说:牙不好,疾病满身跑。保护健康,先从牙齿保护开始。而关注口腔健康,保护牙齿健康如今也为大多数人所关注,但是大家对于口腔保健方面,大多数人只知道一些常见的保健知识,对于一些比较少见的口腔疾病方面,大多数人还是陌生的,例如牙齿脱矿这一口腔疾病,那么下面小编就来为大家介绍一些关于牙齿脱矿方面的原因以及治疗方法,一起来具体了解一下吧。
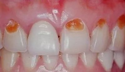
什么是牙齿脱矿
牙齿脱矿也叫脱钙,指人的牙齿牙釉质表面的钙磷脱落,因而使牙齿色泽改变,呈白色或微黄的斑点,影响美观。更严重的,牙釉质脱落,牙齿上有明显的浅凹陷或细沟。再矿化是指唾液中的钙磷等沉积到牙面上,在正常人,牙的脱矿与再矿化是一个平衡的过程。严重的脱矿,可以通过内科或修复的手段治疗。

牙齿脱矿的原因
造成牙齿脱矿的原因有先天性的因素和后天性的因素。后天性的因素有:经常饮用碳酸性饮料、不正确的佩戴矫形器等。
牙齿脱矿治疗方法一
牙齿脱矿了,需要时刻注意保持口腔卫生。特别是在饭后的时候,应清洁口腔,最好是要刷牙,至少也要进行饭后漱口,将残留在牙齿间隙的残留物及时的清理出去,以免对牙齿继续造成损伤。

牙齿脱矿治疗方法二
牙齿脱矿的时候,还需要注意饮食调养,常吃对自己牙齿有益的食物,比如:大米、豌豆、蚕豆等,这些食物当中的磷含量高,可以形成缓冲系统,防止口腔过度酸化,有保护牙齿的作用,防止已经脱矿的牙齿加重。避免进食过冷过硬或者甜食、酸性食物,以免造成牙齿不适感。平常注意多饮白开水,起到清洁口腔的作用。

牙齿脱矿治疗方法三
牙齿脱矿的时候,还要注意节制饮用碳酸饮料,比如:可乐、或者是那种运动型的饮料,里面含有多种的有机酸,而这些有机酸能分解钙质,进而侵蚀到牙齿,造成牙齿脱矿。

牙齿脱矿治疗方法四
与牙齿涂氟的原理相似,使用含氟牙膏也是能够防治脱矿、预防龋齿的有效措施。

牙齿严重脱矿要及时治疗

牙齿脱矿严重的时候,需要及时的去医院进行就诊,可以在医生的指导下进行烤瓷牙,作为弥补。牙齿脱矿严重一般很难修复还原,只能通过医学修补使牙齿表面看上去不影响美观,所以口腔健康一定做好预防护理,养成良好的口腔习惯,发现问题及时找牙医咨询治疗!

以上文章就是关于牙齿脱矿的一些原因及治疗方法的介绍了,另外小编在这里也要提醒大家,如果在我们的日常生活中出现了一些口腔疾病,不论我们是否多见还是少见,一定要及时去就医,只有通过医生科学的诊疗,才会有利于口腔健康。