网络问诊病例:
【我要咨询以下问题】
患者:32岁 男
问题:2021年8月9日因为发烧行胸部CT发现三个结节,最大的是个混合密度结节,约7.5mm,口服了6天莫西沙星片。9月14日和11月14日复查变化不明显。然后又诊断性抗结核治疗了2月,2022年1月19日复查发现右肺上叶结节消失,左肺两个结节变化不明显。
图片展示:
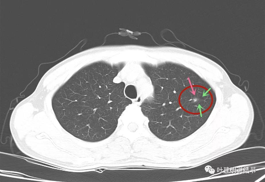
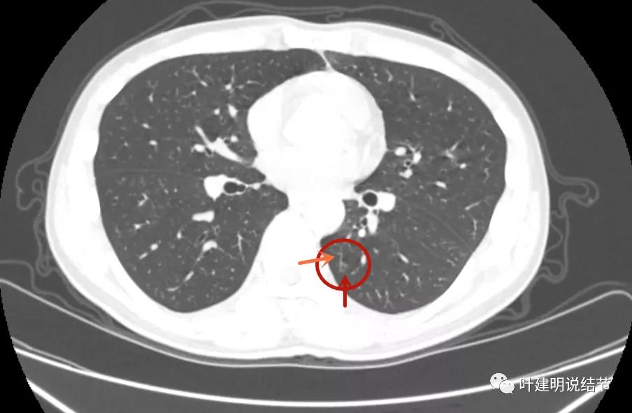
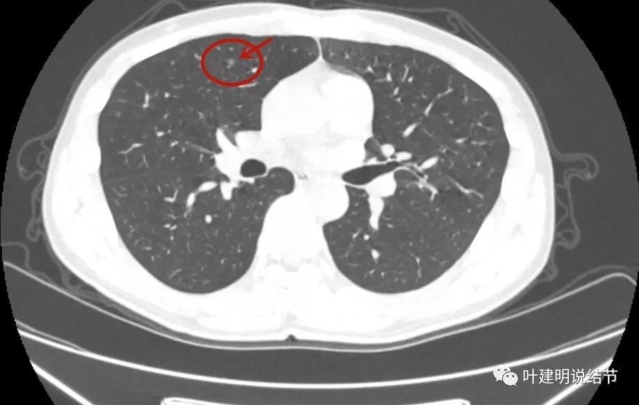
先来看2021年8月的:

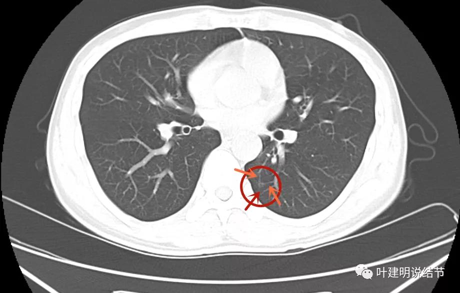
病灶1:左上叶结节是混合磨玻璃,但磨玻璃部分密度很低,实性部分密度高,感觉偏散,没有明显收缩力,瘤肺边界模糊不清

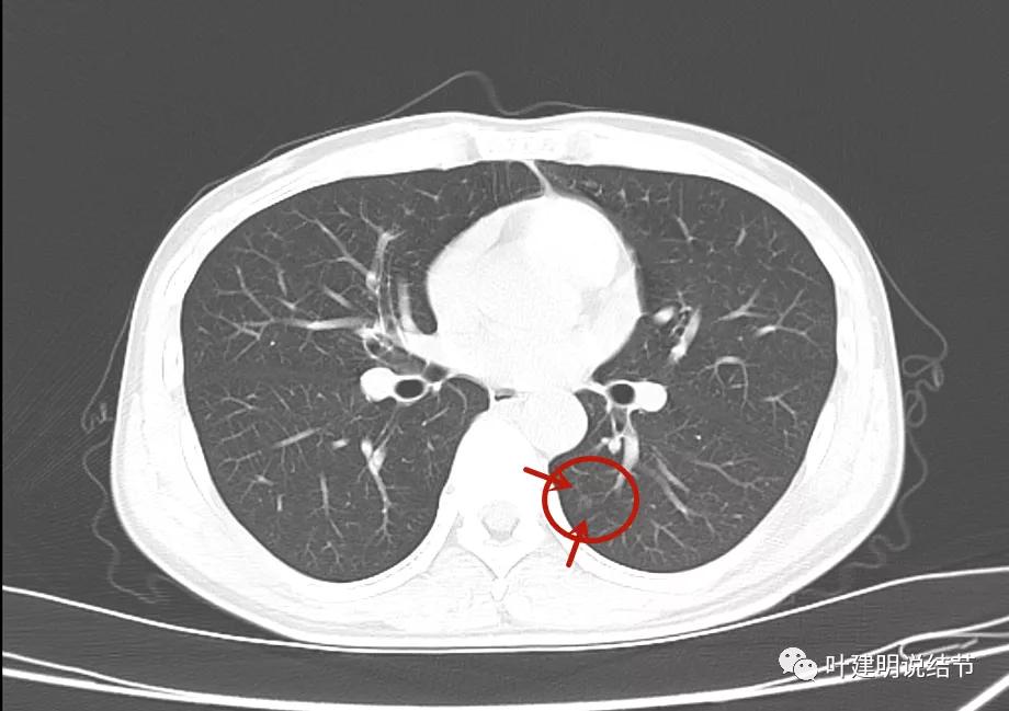
病灶2:左下叶极淡的磨玻璃结节,中间似有空泡或偏低密度,但血管似乎有点走向病灶的样子

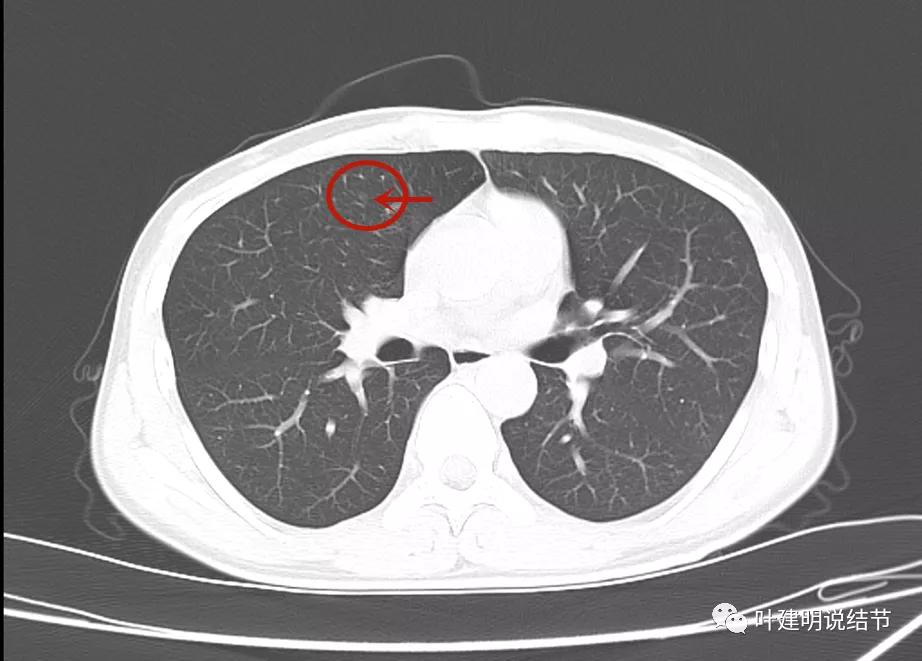
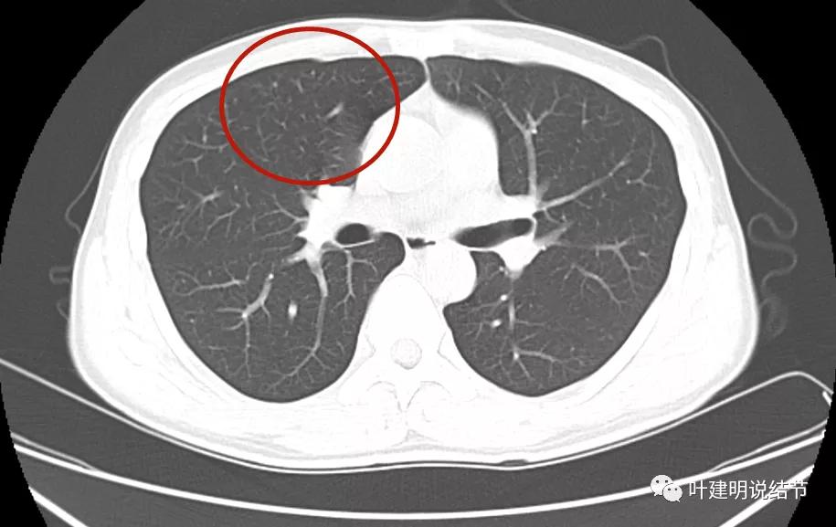
病灶3:右上叶前段微小淡磨玻璃结节,甚小,2-3毫米许,影像特征不明显,轮廓较清。
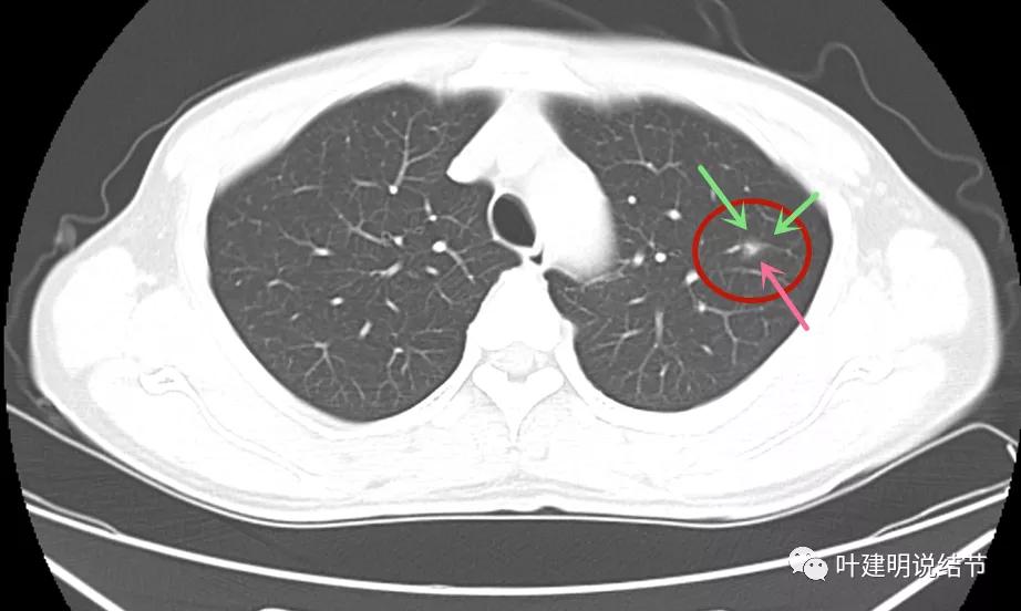
但可惜当时不是薄层扫描的。后来口服莫西沙星6天,并于2021年11月复查的是薄层的:

病灶1几乎没什么变化,实性部分范围感觉略大,显模糊。我考虑是因为薄层的关系,不是病灶有明显变化,轮廓仍是不清的

病灶2仍是极淡的,但也没有消失,有微血管贴边走行,间隙不清,此灶倒是要考虑不典型增生之类的范畴的病灶,虽然小又淡。

病灶3较前感觉明显了点,但我仍考虑也是扫描条件不同的关系,不能认为是进展。
此后不知道为什么试验性抗结核治疗2个月,我感觉结核不太像吧?下面是2022年1月复查的:

病灶1没有明显变化

病灶2也仍在,微血管征仍较明显,病灶本身淡而小

病灶3未见明显显示。
但又有个缺陷,这次又不是薄层扫描。我们能认为病灶3吸收了吗?我觉得是不能够的,刚好没有扫到的可能性大。如果真的是结核,病灶3消失了,病灶1与病灶2也该有所吸收好转呀。所以基本不可能是结核药把病灶3吃好了。
我的意见:病灶1考虑慢性炎伴纤维增生可能性大;病灶2考虑不典型增生可能性大;病灶3可能是肺泡上皮增生或不典型增生,从薄层看也可能是原位。但均可先再随访复查,建议半年后左肺上叶靶扫描加重建以观察主病灶形态仔细。病灶2与病灶3近期没有风险,可年度常规复查。
(此处已添加医疗卡片,请到*今条头日**客户端查看)