【导读】今天完成一例非常特殊畸形手术。该患者曾接受过神经纤维瘤手术,术后右侧胸锁关节前突,右侧前胸壁前突。由于不能轻易破坏胸锁关节,因此该手术具有极大挑战性。术中我们运用胸廓畸形的矫形技巧进行处理,最终获得了满意的效果。

今天我们的手术中,有一例非常特殊的患者。患者男性,15岁,5年前曾因神经纤维瘤接受颈部手术。术后肿瘤未再复发,但胸廓出现畸形。畸形主要局限于右上胸廓及右侧胸锁关节处,主要特征为局部突起。患者曾到多家医院就诊,因病情复杂未得到治疗。为最终彻底手术而入我院。
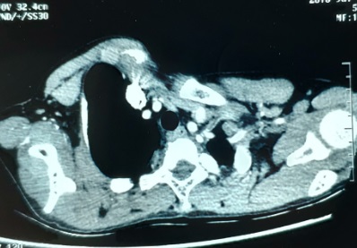
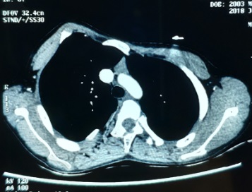
入院查体:右侧颈部有陈旧性手术疤痕,右侧胸锁关节突起,右侧前胸壁突起,伴胸骨附近凹陷。术前CT检查:右侧前胸壁明显突起,左右胸廓不对称。其他检查未发现手术禁忌。

图1,胸锁关节突起,右侧胸壁突起。

图2,颈部陈旧性手术疤痕。

图3,右侧上胸壁严重突起,左右胸廓不对称。

图4,右侧胸壁突起。
该患者的手术在全麻下进行。平卧位,先于两侧胸壁做切口,于胸壁突起最明显水平做隧道。于第一肋前方胸锁关节外下方切开皮肤,显露第1肋骨局部,穿牵引钢丝。先于胸壁隧道中置入塑形板,牢固固定,于胸壁肌肉深层做隧道,将第1肋骨牵引钢丝经隧道拉向外下,分别固定于钢板的右侧端以及下位的肋骨。充分调成钢板及钢丝的松紧度,塑形满意后,关闭切口,手术结束。

图5,术后畸形基本消失。

图6,术后胸廓形状。
此患者有两个主要病变部位,一个位于胸壁,一个位于胸锁关节。胸壁的畸形只涉及形态的损害,不涉及功能问题,因此处理较为简单。而胸锁关节具有重要功能,如果将此关节破坏并融合,将影响上肢的运动,这种部位必须在手术中进行保护。
为了使突起的胸锁关节尽可能低平,我们在完成胸壁突起的矫形后,对右侧的第1肋骨做了牵拉。经此处理后,胸锁关节高度彻底降低,基本达到了满意水平。
今天的手术是一个非常束手的畸形。主要的困难在于胸锁关节的处理。该患者曾在某著名医院的骨科就诊,因为无法同时完成胸壁畸形的处理而最终放弃治疗。我们充分利用胸廓畸形的手术技巧,成功避免了对骨科操作的依赖,从而使一个跨学科的问题彻底简化,最终成为一个单一的胸廓畸形手术。
(王文林,广东省第二人民医院胸壁外科主任,工作微信:wangwenlindaifu,公众号《胸廓畸形手术专家》:wangwenlinyishi )