胆系肿瘤(biliary tract carcinoma,BTC)是一组异质的侵袭性恶性肿瘤,总体发病率在全球范围内呈上升趋势。 根治性R0切除是治愈胆系肿瘤的唯一方法 ,但仅有20%的患者在确诊时有潜在的根治性手术指征。即使采取根治性手术治疗,术后复发率仍高达60%-70%。无手术指征的晚期胆系肿瘤患者治疗主要包括放疗、化疗、免疫治疗等手段,但目前的治疗效果总体上仍不理想。
放疗是一种精准高效的肿瘤局部治疗手段 。随着现代放疗计划设计和实施技术的进步,能够准确定位靶病灶并勾画放疗靶区;能够精确传递射线*伤杀**肿瘤细胞;同时减少对周围正常组织的损伤。特别是免疫治疗时代下,精准的免疫性放疗还能起到原位疫苗的作用。这些优势使放疗在胆系恶性肿瘤的综合治疗中占据重要地位。 鼓楼医院目前正在开展一项“不可切除的胆系肿瘤同步放化疗+免疫转化治疗“的研究,经过治疗后,患者的肿瘤被成功切除,并且病理提示为完全缓解。该方案为不可切除胆系肿瘤提供了有效治疗策略 。
病例介绍
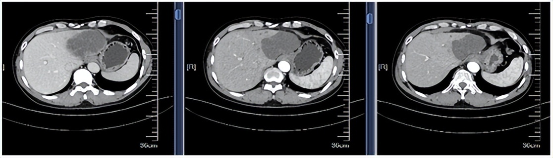
57岁的王先生(化名)因上腹部不适就诊,影像学检查:胸部+全腹部CT平扫+三期增强提示肝左叶占位(范围约8.5cm*6.0cm)伴肝内多发低密度灶(见下图)。

患者影像学检查报告
随后,王先生又做了实验室检查,显示肿瘤标志物 CA199 545.00U/ml;血常规 WBC 6.6*10^9/L,Hb 155g/L,PLT 188*10^9/L;肝功能 TB 8.5umol/L,ALT 15.4U/L,AST 16.3U/L。之后,王先生在B超引导下做了肝穿刺活检术,病理提示:送检组织内见多量坏死及少量异型腺体,符合腺癌,中分化。结合李先生的影像学检查综合考虑为肝内胆管细胞癌,临床分期为IIIB期(T3N1M0)。
经院内多学科会诊讨论后,评估了王先生当时的病情是无法做根治性手术的。治疗方案是,先进行二周期化疗联合免疫治疗,再进行肝脏病灶大分割精准放疗,PGTV:5Gy*8f,PTV 3Gy*8f(见下图)。经过治疗,王先生复查肿瘤标志物CA199明显降低,影像学检查可见病灶逐步缩小。

接下来,王先生进行了第三、第四周期的化疗联合免疫治疗。四个周期后,根据王先生的影像学检查和多学科会诊讨论结果,需转入外科,做左半肝联合尾状叶切除术+胆囊切除+区域淋巴结廓清+腹腔淋巴结活检+腹腔镜检查术。术后病理提示,胆管癌化疗联合免疫治疗后,肿瘤广泛退变坏死,未见存活的肿瘤细胞,坏死区范围6.8cm*4.5cm*4.2cm。神经及脉管未见癌组织累及,标本断端切缘未见癌组织残留,周围肝组织未见明显异常,淋巴结未见癌转移。
王先生行第一、二周期化疗联合免疫治疗后,再序贯放疗,1个月后复查肿瘤标志物CA199明显下降,胸部+腹部CT平扫+增强提示病灶较前缩小。患者行第三、四周期化疗联合免疫治疗后,复查CA199降至正常范围,胸部+腹部CT平扫+增强提示病灶较前缩小。

患者肿瘤标志物CA199复查结果降至正常范围

患者影像学复查结果
近年来,随着肿瘤免疫学与分子生物学技术的不断发展,胆系肿瘤的治疗也有了很大进步。 特别是TOPAZ-1的研究证实了化疗联合免疫治疗的模式在胆道一线的获益 。对于不能切除的局部晚期胆道恶性肿瘤,如患者体能状况良好,无阻塞性黄疸,常规剂量放疗联合同步化疗相较于单纯放疗或化疗在缓解症状和改善远期生存方面获益更多,其中如立体定向体部放疗(stereotactic body radiation therapy,SBRT)的大分割放疗方式优势更为显著。就如本文中的患者王先生虽就诊时诊断为局部晚期胆道肿瘤,并无手术机会,但经过化疗免疫的一线治疗,并且加入了大分割的精准放疗,放疗后患者肿瘤明显缩小,肿瘤指标全部正常,经多学科会诊讨论,王先生后续可以接受手术根治,且手术后病理提示肿瘤完全缓解,治疗非常成功。

目前,越来越多临床前和临床数据表明,放疗除杀灭肿瘤细胞外,还能使受照射的肿瘤细胞经历免疫原性细胞死亡,释放肿瘤相关抗原、损伤相关分子模式,促炎因子等,激活树突状细胞、巨噬细胞等天然免疫细胞,最终刺激适应性免疫反应,放疗起到的这种原位疫苗作用与免疫检查点*制剂抑**通过诱导免疫介导的肿瘤细胞清除具有协同作用。 我们甚至可以期待,同步放化疗联合抗PD-1/PD-L1单抗的综合治疗,增加胆系肿瘤患者行根治性手术的机会,提高手术的R0切除率,延长无复发生存时间。