
美国加利福尼亚州帕罗奥图市斯坦福大学医学院神经病学主席和教授,主要研究作者Gary Steinberg及其同事将他们的研究结果发表在《中风》杂志上。
尽管这项试验只包括一小部分的中风患者,但其结果却给人们带来许多积极影响,一些健康专家称,这一发现可能会给中风患者带来“改变生活的疗法”。
在美国,每年有超过795,000例中风的新病例或是复发病例。
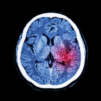
缺血性中风是最常见的形式,约占所有中风的87%。它在含氧丰富的动脉血流向大脑受阻时发生,主要是由于血凝块堵塞。
出血性中风约占所有中风的13%,是因为脑血管渗漏或破裂引起的。
中风究竟会对人造成怎样的影响取决于中风发生在大脑中的哪一个侧面以及它造成损伤的量。比如,有些人可能会出现暂时性的手臂或腿部无力,而其他人可能会失去说话或走路的能力。
根据全国脑卒中协会,在每3个中风患者中,大约就有2人会遗留某种残疾,而中风是造成美国成年人残疾的主要原因之一。
用于中风的治疗方法包括,组织型纤溶酶原激活剂(tPA)——被认为是治疗缺血性中风的“金标准”。它可以溶解阻止血液流向大脑的血凝块。
然而,tPA需要在中风发生数小时内注入——使得恢复的可能性最大化——Steinberg博士及其同事们指出,患者到达医院所需要的时间常常超过这个有效时间窗。
如果未能及时得到治疗,则中风完全恢复的机会很小。但在这项新的研究中,研究人员发现,即使在患者中风后3年才进行干细胞移植仍然可以改善中风患者的恢复情况。
“原来坐轮椅的患者又可以行走了”
在他们的研究中,研究小组招募了18名平均年龄为61岁首次中风在6个月到3年之内的参与者。所有参与者都因为中风遗留运动功能残疾,一些患者无法移动手臂,而其他一些患者则无法行走。
每名患者都接受干细胞移植,其中包括在颅骨上钻孔,在脑内中风损伤部位注射SB623细胞。
SB623细胞是从两名捐赠者骨髓中提取出来的间充质干细胞(MSCs),经过改良用以增强脑功能。
在接受干细胞移植术后,每名患者均通过脑部成像、血液检测和临床评估等进行持续监测。
研究人员注意到,在术后一个月内,患者开始出现恢复的征象,且这样的恢复持续了数月之久。
在用中风特异性测试——Fugl-Meyer评估中风患者运动功能时发现,总体运动功能评分提高了11.4个百分点。
此外,Steinberg博士指出,在某些患者身上,这样的改善情况一致持续至少1年,甚至超过2年之久。
“这不仅仅是,‘他们原来无法移动大腿,而现在可以了’。原来坐轮椅的患者又可以行走了。”Gary Steinberg博士如是说。
在来自美国加利福尼亚州长滩36岁的Sonia Olea Coontz身上,可以看到在接受干细胞移植术后,其运动功能得到了显着改善。
在2011年五月经历中风之后,她的右手臂就无法动弹,同时她的右腿也常常不听使唤,因此她常常需要使用轮椅。
然而,在接受干细胞移植术后,Coontz说她的四肢“醒过来了”,Steinberg博士及其同事希望干细胞移植术可以同样造福于数以百万计的其他中风幸存者。
Steinberg博士说:“在美国,有将近700万名慢性中风患者。如果这种治疗方法真的对这一群人有效的话,潜力无穷。”
治疗中风及其他神经退行性疾病的潜力
研究人员惊奇地发现,SB623细胞被注入大脑后只能活1个月左右,但患者的恢复却能持续好几个月。
Steinberg博士推测,移植后不久,SB623细胞就分泌储存在中风所致的脑损伤邻近的部位,不断刺激神经组织的活化或再生,从而改善运动功能。
研究人员认为,这种治疗方法可能不仅仅局限于中风患者——-它很可能可以用于治疗许多脑损伤相关疾病。
“这可能会改变我们关于包括中风、创伤性脑损伤,甚至是神经退行性疾病预后的观念。
这个观念就是,一旦大脑受伤,它就不可能恢复了——你就此被卡住了。但是,如果我们能够解决如何重新启动这些损坏的大脑环路时,我们就可以改变整个预后。我们曾经认为这些大脑环路都死了。而现在我们已经知道它们并没有死。”Gary Steinberg博士如是说。