什么叫“地包天”
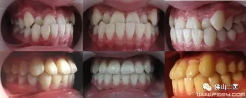
牙齿正常咬合时,上前牙应该位于下前牙前面,如果咬合时下前牙位于上前牙前面,则叫做“反合”,俗称“地包天”。

一、“地包天”的症状

佛山市第二人民医院口腔医学科正畸专科王丽艳博士介绍,“地包天”是一种错合畸形,常常会导致面部凹陷,影响仪表,不自信等问题,还会可能影响食物吸取、导致消化不良等胃肠道疾患,危害全身健康。如果不进行治疗,随年龄增长凹面型越来越严重,必要时需要进行正颌手术使颌骨重新定位,才能使脸型变得正常。

二、“地包天”的形成
王丽艳指出,“地包天”形成的原因复杂多样,有遗传性因素,也有后天原因。比如乳磨牙龋坏或早失,患儿被迫用前牙咀嚼,下颌逐渐向前移;婴儿时期“躺着喂养”,导致婴儿不自觉地下颌前伸等原因,形成地包天。
地包天的治疗可以分成4个时期:
1、乳牙期(6岁前):只需采用简单活动矫治器解除前牙反合即可。最佳治疗时间3~5岁,疗程2个月左右。
2、替牙期(6~12岁):治疗期需要6-12个月,矫治器也复杂得多。
3、恒牙早期(12岁左右),此期已伴有骨性畸形。骨性畸形轻者可以矫正牙齿,掩饰已存在的骨畸形。严重骨性畸形者需要成年后正畸正颌联合治疗,可以定期观察,等待手术期到来前进行术前正畸治疗。
4、成年后,不能通过生长改良来矫治,要改善面型,只能通过正畸正颌联合治疗。

三、“地包天”要早治疗
王丽艳提醒,“地包天”越早治疗,治疗方法越简单,效果越好。一旦发现有“地包天”问题,家长应及时到口腔科找正畸医生诊断。

四、市二医院口腔医学科正畸专科
据了解,佛山市第二人民医院口腔医学科是广东省临床重点专科、佛山市高水平重点专科,口腔正畸专科在王丽艳博士的带领下,引进国内先进技术,开展舌侧全隐形矫治、无托槽隐形矫治、反合功能矫治等特色项目,是佛山地区率先开展此类治疗项目的医院。王博士也成为舌侧矫治广东地区临床培训专家,其发明的3D打印功能矫治器获得中国科技部创新创业大赛生物医药组全国总决赛亚军,吸引广东省各地区的患者前来就诊。

亲,觉得文章实用请别忘了转发和点赞哟↓↓