很多做过牙齿矫正的朋友,发现自己的牙齿出现了黑三角,牙齿的牙缝之间形成了一个三角形缝隙,很难看,原本做矫正就想变得美美的,这下可好,心情不美丽了。

为什么有些人矫正牙齿后出现黑三角?
可能是矫牙过程中因为咬合创伤,或者矫正力过大,引起牙龈萎缩。尤其当选择了只靠临床经验来判断和加力的医生,为了缩短矫正周期,操作不当或者矫正力度太大就会形成黑三角。

如果原来是深覆盖、深覆合、反颌、牙齿非常拥挤,矫正时牙齿明显早接触受力过大也会引起黑三角。另外拔下前牙矫正一定会出现黑三角,因为在关闭拔牙间隙时牙根很难平行移动。
黑三角会引起什么影响?
除了不好看,一个比较大的问题就是造成食物嵌塞,平常清洁牙齿不到位,会有更多牙结石,牙龈萎缩更加严重,牙龈萎缩是不可逆的。
出现黑三角该怎么办?
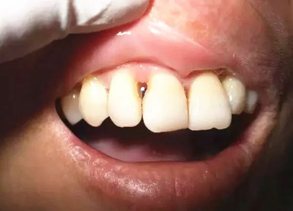
1、做片切

这种方法的适用对象范围小(适用于上图这类情况),要颗两颗牙相邻的区域做片切,减少牙釉质,然后收牙缝。
2、用树脂填充
就是在牙缝隙哪里填充上树脂,即刻解决黑三角的问题。
3、结合牙贴面

适用超薄美牙贴面不仅可以美白牙齿颜色,修复形态,针对这种黑三角的牙齿缝隙也是非常不错的一种修复方式。
特别成年人做牙齿矫正比较容易出现黑三角,所以成人矫正要更加注意轻力原则,朋友们一定要选择正规的口腔机构来做。