时代不断变迁,制约人类寿命的疾病排行榜也顺应人类社会的变化,具备鲜明的时代特色。
有几个数据值得了解一下:
1.全球预期寿命:1970年为58.4岁,1990年为65.1岁,2016年为72.5岁。其中女性的预期寿命高于男性,2016年女性预期寿命为75.3岁,男性为69.8岁。
2.统计2016年,全球范围内的死亡原因排名,前三位分别是:心脑血管疾病——1760万;肿瘤——893万;慢性呼吸系统疾病——354万。
3.从2006到2016年,肿瘤死亡人数增加了17.8%,从758万上升到893万。在这些肿瘤病人中,只有霍奇金淋巴瘤的总死亡人数是下降的。
4.从2006到2016年,肺癌和乳腺癌死亡人数都有所增加,肺癌从144万死亡人数上升到了171万。
5.在我国,肺癌在死亡原因排名中居第4位,前三名分别是:脑卒中,缺血性心脏病和交通事故。
从上述数据中可以知道:肺癌的有效防控很重要!
预防方面前面文章很多次提到了:戒烟和远离二手烟,防范雾霾,远离工作环境污染,高危人群定期体检等。
本篇重点讲一下肺癌的有效治疗。
如何有效治疗肺癌?
1.早期肺癌已经能够治愈,5年存活率接近100%。
重点在于早期发现!身体出现胸痛、反复干咳、偶尔痰中带血丝等症状及时就医,35周岁以上重视胸部CT体检。

上面这8个肺癌病人,都是胸部体检及时发现并治愈的(本组病例来自浙江舟山肺癌多学科研究中心)。
有时候花钱买不到健康,但可以减少风险。
2.中期肺癌要讲究个体化。
肺癌早期不典型,难以发现,很多确诊时肿瘤就比较大了,手术有风险,但也有痊愈的希望。
这时候就是两种选择:冒险手术或者保守治疗。

像这位老爷子,7厘米的大肺癌,跟肺门大血管粘连在一起,手术没有绝对把握,但是不手术,剩下多久的寿命恐怕就很难说。
老人的儿子是一位很有风度的中年男人,低头沉默了半天,跟医生又像是跟自己,轻轻地说:我不能没有父亲!
手术做了3个多小时,术后做了化疗降低复发和转移风险。
一晃七年过去了,老人恢复得相当好:

这种病例冒险手术有成功的,也有失败的,失败的生存期一般会缩短。
谁也不能走到前面去预测未来,真的需要两手准备。
对手术后复发的病人,也有延长生存期的治疗手段,不能因为手术失败,就瞧不上医学的发展。
3.晚期癌症的姑息治疗。
对于失去手术机会的癌症病人,以前只能选择放疗、化疗、介入、中医中药或是某些偏方等等,手段比较单一。
现在有了更多延长寿命的手段,比如射频消融术、放射性粒子植入,还有前景光明的靶向治疗和免疫治疗等。

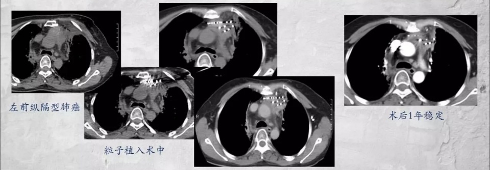
像这位女士,因为晚期肺癌剧烈胸疼,而且广泛黏连大血管,已经不能手术。
通过放射性粒子植入,既缓解疼痛,改善生活质量,也延长了寿命。
再单独说一下小细胞肺癌
大约只有5%的小细胞肺癌有手术机会,其余的病人,现阶段还是以放化疗为主,目前没有靶向药物。

像这位病人,反复胸闷两个月,小细胞肺癌并广泛转移。
化疗两个周期后复查,病灶显著缩小:

像这种中晚期的小细胞肺癌,由于生长迅猛进展很快,如果不治疗,平均寿命只有3个月左右。
再看2例幸运的小细胞肺癌病人:
1.老年男性,小细胞肺癌并右肺下叶阻塞性肺炎

经过放化疗为主的综合治疗,今年已经第4年了,没有复发征象:

2.中年男性,左侧小细胞肺癌,局部淋巴结转移:

这位病人经过放化疗为主的综合治疗,目前已经生存5年多了。
大约70%的小细胞肺癌患者,对放化疗敏感,治疗效果很好!但2年内有较高的复发率,这个问题还亟待解决。

总的来说,肺癌的治疗效果有个体差异,有的病人即使分化差,恶性度高,依然能获得满意的治疗效果。
而有的人过于焦虑,不相信任何治疗措施,茶饭不思,也不配合治疗,往往就效果很差了。
曾经遇到过一位病人,一开始家里人瞒着他,没有告诉他患了癌症,但他对使用的每一种药都要手机拍照,上网搜索药理机制和作用机理,发现是抗癌药就大哭大闹,对医生的解释和家属的劝导都各种质疑,不相信,后来……
所以我们一直强调,癌症病人的治疗,心态很重要,配合度很重要!

这里是影像科豪大夫,感谢阅读!