很多人一听到医生说要给他的牙拍片,
第一反应都是拒绝的
张开嘴不就看到牙了?
为什么还要拍片啊?
而且拍片还有辐射,
没有必要吧

的确,张开嘴我们是能看到你的牙
但那只是表面的牙釉质,
如果牙齿深部或者侧面,
甚至牙根出了问题,
医生要怎么才能看到呢?

我又没有透视眼,你说对吧

直接上图,可能更有说服力
让你感受一下
不拍片根本想不到你的牙齿有多奇葩!

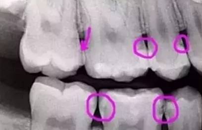
下图圈出来的地方就是龋齿,
这些都在牙缝之间,
直接用眼睛基本看不到

这是很严重的龋齿,已经接近牙神经了!

根管治疗的患牙是拍片的常客了

整个过程至少要拍3张牙片。第一张为了确定是否需要治疗,
同时了解牙根长度和走向
第二张用来测量根管长度,同时确定根管预备是否到位
第三张为了检测治疗效果,观察充填是否到位
拍这些牙片都是必要的,
为了更好的诊断和治疗。

牙根有问题就更要拍片了
牙根是埋在牙槽骨中的
医生如果想了解
牙根的形态、走向、长度
根尖周有无病变及病变范围,
或者怀疑其他无法确认的问题,
必须通过X光片或者CT才能确诊,
制定合适的治疗计划。


首先讨论一个问题
不去医院拍片我们就没受到辐射吗?
其实我们每时每刻都生活在电磁辐射中。
比如太阳、土壤、空气、高空飞行等

至于牙科放射量,儿童放射学会给出了清晰的对比:
拍一张全景片的辐射量,相当于约3天的自然环境辐射量;
拍4张牙合翼片的辐射相当于约0.6天的自然环境辐射量。
可以看出,
拍牙片的辐射量其实是很小的,可以无视

所以大家完全没有必要因为一张牙片的辐射量而拒绝拍片,这样会影响医生正确诊断和完善的治疗,得不偿失。

怀孕初期(前三月)尽量不拍牙片,
过了前三个月后,如果必须拍片,
可以穿防护服。

因为牙片不会直接对准腹部
对胎儿的影响几乎忽略不计,
准妈妈们不必过于担心。
儿童在拍牙片时会采用低剂量
防护服防护
不会对孩子造成辐射伤害。
所以大家不要听拍牙片就色变
辐射小,
诊断快,
也不需要排队等报告
何况一张片子只要十几二十块,
何乐而不为呢?