一、病例介绍
患者,女,52岁,主因「间断发热2月余」于2023年3月3日就诊中日友好医院呼吸与危重症医学科。
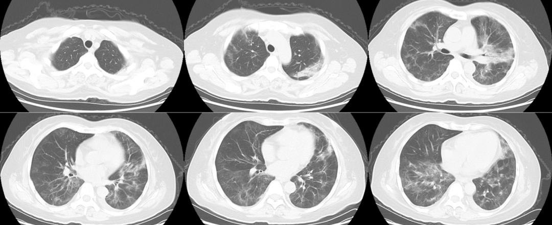
现病史: 患者2月余前(2022年12月25日)出现间断发热,体温最高38.5℃,伴干咳、乏力及周身酸痛,自服退热药物后体温可降至正常,1周后上述症状改善,未就医。2周后(2023年1月8日)再次出现发热,体温最高39℃,伴干咳,口咽拭子新冠核酸阳性,当地诊所予口服阿兹夫定5mg/日 7天,效果不佳。2023年1月19日就诊当地医院,查血常规大致正常(WBC 7.52×10^9/L,Neu 76.7%,Lym 1.14×10^9/L,CRP 9.39mg/L),胸部CT提示双下肺磨玻璃影(未见原片),予静点甲强龙40mg/日 3天,然后减量为20mg/日 7天。但是治疗效果不佳,仍间断发热。1月前(2023年1月30日)转至上级医院,复查胸部CT提示双肺多发磨玻璃、渗出及实变影。

图1 胸部CT平扫(2023年1月30日)
考虑「间质性肺炎?」,予再次静点甲泼尼龙40mg/日 5天,之后序贯口服泼尼松30mg/日,并逐渐减量(每周减5mg/日)。患者咳嗽症状逐渐好转,但仍每日发热,体温高峰40℃,热峰每日晨起(4-5点)一次,口服激素后大量出汗并退热,中午时体温降至正常。发热时伴有胸闷,自测SpO2最低约80%,自行予家庭氧疗,伴夜间盗汗。间断就诊于外院及我院门诊,先后予莫西沙星、头孢地尼口服抗感染治疗,效果不佳,泼尼松用量15-25mg/日。为进一步诊治收入我科。
既往史: 确诊滤泡淋巴瘤5年,R-CVP方案化疗后缓解,每3月利妥昔单抗维持治疗(末次2022年12月15日)。余既往、个人、家族史无特殊。
体格检查: T 38.2℃,P 83次/分,R 19次/分,BP 98/91mmHg,SpO2 92%(未吸氧)。双肺呼吸音粗,左上肺可闻及少许湿啰音。
入院诊断
1.发热、双肺阴影待查 肺部感染?间质性肺炎?2.滤泡淋巴瘤 利妥昔单抗治疗后
病例特点
患者中年女性,亚急性病程,主要表现为间断发热2月余,伴干咳、胸闷及低氧,胸部CT可见双肺多发磨玻璃、渗出、实变影,右肺下叶为著,大剂量糖皮质激素、经验性抗菌治疗效果不佳,影像学逐步进展。病初曾有新冠核酸阳性,口服阿兹夫定一疗程抗病毒治疗,未复查新冠核酸。既往滤泡淋巴瘤病史,化疗后疾病缓解,目前规律利妥昔单抗维持治疗。
鉴别诊断思路
患者主要临床特点为发热伴肺部阴影,首先需要鉴别感染性和非感染性疾病。
1、感染性疾病方面: 患者胸部影像学表现为双肺多发磨玻璃影、逐渐进展,符合病毒性肺炎表现。患者病初曾查新冠核酸阳性,但已接受一疗程抗病毒治疗,且病程相对较长。是否可能为宿主免疫抑制状态导致病毒清除较慢,新冠病毒持续感染?是否合并其它病毒(如流感病毒、巨细胞病毒感染)或特殊病原体感染(如PCP)可能?
2、非感染性疾病方面: 结合影像学表现有弥散性磨玻璃、渗出,需考虑鉴别间质性肺炎。患者起病前曾使用生物制剂治疗(利妥昔单抗),是否有可能为药物相关间质性肺炎?但患者无明显结缔组织疾病表现、入院前使用大剂量糖皮质激素效果不明显。
诊疗经过
入院完善检验检查
WBC 5.26×10^9/L,Neu 4.71×10^9/L(89.5%),Lym 0.33×10^9/L,HGB 95g/L,PLT 182×10^9/L;CRP 62.73mg/L↑,血清铁蛋白397.9 ng/ml↑;
肝肾功能、心脏、凝血指标正常范围内;
抗核抗体谱、血管炎抗体谱、类风湿因子相关抗体(-);
淋巴细胞亚群:CD3+T 762 cells/ul,CD19+B 0 cell/ul;
口咽拭子新冠核酸(+),血新冠抗体IgG(-),呼吸道病毒RT-PCR十二项(-);血G、GM试验(-),血培养(-),血结核感染T细胞试验(-);
动脉血气:I型呼吸衰竭;
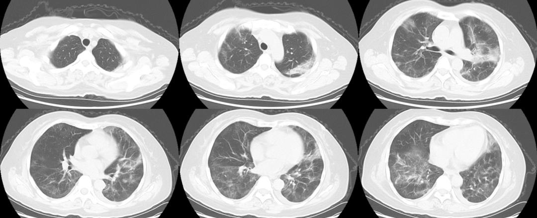
胸部CT:双肺多发斑片、磨玻璃密度影,部分较前新发,部分病变吸收。

图2 胸部CT平扫(2023年3月3日)
入院后患者仍有间断发热,体温高峰每日1-2次,最高体温 39℃。予物理降温、NSAIDs对症退热治疗。

图3 患者入院后体温变化
2023年3月6日行支气管镜检查:气管及支气管黏膜光滑、镜下未见异常。左上叶尖后段超声小探头可探及中央型异常回声影,留取灌洗液。肺泡灌洗液送检细菌培养、真菌培养(-),支原体、衣原体、PCP、CMV核酸(-);mNGS结果: 新型冠状病毒(BF.7.14) 29317 reads ,未发现细菌、真菌、寄生虫、DNA病毒核酸。
结合影像学游走性肺炎、咽拭子及BALF病原学结果,考虑为新冠病毒持续感染。2023年3月7日起予奈玛特韦/利托那韦口服抗病毒治疗,3月8日患者体温恢复正常、咳嗽及气短症状逐渐缓解,吸空气血氧饱和度恢复至96%以上。2023年3月13日复查胸部CT:双肺病变较前减少。
住院期间糖皮质激素规律减量。3月10日、3月14日复查痰及口咽拭子新冠病毒核酸转阴后出院。

图4 胸部CT平扫(2023年3月13日)
出院诊断
新型冠状病毒感染(重型) I型呼吸衰竭 滤泡淋巴瘤 利妥昔单抗治疗后 B淋巴细胞缺乏 轻度贫血
二、讨论
本例患者是一例以间断发热起病的中年女性,免疫抑制宿主,接受抗CD20单抗治疗、外周血B细胞计数为0。患者在新冠病毒感染后,出现持续发热,辗转多家医院就诊,曾诊断为间质性肺炎从而启动大剂量糖皮质激素治疗。经过仔细的鉴别诊断,最后发现发热的原因是新冠病毒持续感染,因为B细胞免疫功能缺陷、病毒迟迟无法清除,从而导致长期发热和游走性肺炎表现。在启动口服抗病毒治疗后,患者体温很快恢复正常,糖皮质激素逐渐减量。
对于免疫正常的宿主,新冠感染后病毒很快能被清除,临床症状也大多在1周内完全缓解。但对于免疫缺陷宿主,新冠感染的病程可能远远超过免疫正常人群。
目前认为B细胞和CD4+T在病毒清除过程中扮演着重要角色 [1,2]。临床观察中,我们发现B细胞功能缺陷患者,例如接受抗CD20单抗、BTK*制剂抑**、CART等抗B细胞治疗的患者,可能出现持续新冠病毒阳性,值得我们关注。目前文献报告的最长持续阳性时间超过300天[3-7]。对于免疫缺陷宿主,应当考虑到病毒清除延迟,适当延长抗病毒治疗的疗程、联合应用抗病毒药物,以帮助尽快实现病毒清除和症状控制。
三、展望
经过三年的疫情和研究,我们对新冠病毒已经有了一定的了解,并且建立了初步的诊疗方案。但对于免疫缺陷宿主新冠病毒感染,目前仍有许多待回答的科学问题:抗病毒治疗的疗程如何确定?是否需要多药联合抗病毒治疗?抗病毒治疗与原发病治疗冲突时如何取舍?……
中日友好医院呼吸与危重症医学科在中国医学科学院医学与健康科技创新工程项目、国家自然科学基金新冠专项等项目支持下,正在开展新冠病毒持续感染者的队列研究,目前正在招募病程超过3月的新冠持续感染者进行随访研究。
欢迎各位同道分享病例信息并进行学术交流!
参考文献
1. DeWolf S, Laracy JC, Perales MA, Kamboj M, van den Brink MRM, Vardhana S. SARS-CoV-2 in immunocompromised individuals. Immunity 2022; 55(10): 1779-98.
2. Lyudovyk O, Kim JY, Qualls D, et al. Impaired humoral immunity is associated with prolonged COVID-19 despite robust CD8 T cell responses. Cancer Cell 2022; 40(7): 738-53.e5.
3. Baang JH, Smith C, Mirabelli C, et al. Prolonged Severe Acute Respiratory Syndrome Coronavirus 2 Replication in an Immunocompromised Patient. J Infect Dis 2021; 223(1): 23-7.
4. Calderon-Parra J, Munez-Rubio E, Fernandez-Cruz A, et al. Incidence, Clinical Presentation, Relapses and Outcome of Severe Acute Respiratory Syndrome Coronavirus 2 (SARS-CoV-2) Infection in Patients Treated With Anti-CD20 Monoclonal Antibodies. Clin Infect Dis 2022; 74(10): 1786-94.
5. Duléry R, Lamure S, Delord M, et al. Prolonged in-hospital stay and higher mortality after Covid-19 among patients with non-Hodgkin lymphoma treated with B-cell depleting immunotherapy. Am J Hematol 2021; 96(8): 934-44.
6. Lee CY, Shah MK, Hoyos D, et al. Prolonged SARS-CoV-2 Infection in Patients with Lymphoid Malignancies. Cancer Discov 2022; 12(1): 62-73.
7. Sepulcri C, Dentone C, Mikulska M, et al. The Longest Persistence of Viable SARS-CoV-2 With Recurrence of Viremia and Relapsing Symptomatic COVID-19 in an Immunocompromised Patient-A Case Study. Open Forum Infect Dis 2021; 8(11): ofab217.
作者:中日友好医院呼吸与危重症医学科 国家呼吸医学中心
国家呼吸系统疾病临床医学研究中心 中国医学科学院呼吸病学研究院
徐九洋 王业明 赵青 曹彬
作者介绍

徐九洋
中日友好医院呼吸与危重症医学科医师。毕业于清华大学医学实验班,获得临床医学博士学位,北京市优秀毕业生,曾赴美国匹兹堡大学进行两年访学(呼吸道病毒学)。

王业明
博士。中日友好医院呼吸与危重症医学科医师。主要研究方向为流感及其他呼吸道病毒感染性疾病。在多种SCI杂志发表多篇论文。作为课题骨干参与科技部重点研发、传染病重大专项以及H7N9应急专项等多项课题。

赵青
中日友好医院呼吸与危重症医学科主治医师,北京康复医学会委员,主要研究领域:呼吸系统慢性疾病,呼吸康复。以第一作者发表论文多篇,参与多项国内多中心临床研究。

曹彬
中日医院呼吸与危重症医学科(PCCM)主任;国家呼吸医学中心副主任;中国医学科学院呼吸病学研究院副院长;学术任职:中国医学科学院学术咨询委员会学部委员;中华医学会呼吸病学分会候任主任委员;中国抗癌协会第一届肿瘤呼吸病学专业委员会主任委员;国际流感和呼吸道病毒感染学会(ISIRV) 委员;Clinical Respiratory Journal副主编;《中华结核和呼吸杂志》副主编。
* 文章仅供医疗卫生相关从业者阅读参考
本文完
责编:Jerry