#健康明星计划#
#人人关注肾健康#
泌尿系统是一个管道系统,管腔通畅才能保持泌尿系统的正常功能,管腔发生梗阻就影响尿的分泌和排出,是肾功能衰竭的常见病因之一。
泌尿系统内外很多病变都会引起管腔梗阻,梗阻位置可能在肾脏内、肾盂输尿管连接部、输尿管本身、输尿管膀胱连接部,膀胱颈或尿道,梗阻愈接近肾脏则肾积水发生越快。
CT尿路造影检查开展以前,泌尿系统疾病的影像检查主要依靠B超、腹部x光平片等相关检测。但这些检查易受腹部条件的影响:B超易受腹腔内气体的影响,对输尿管的观察不满意;服部x光平片无法立体观察泌尿系统的细节,容易漏掉微小病灶。
CT尿路造影检查,已成为一种新的非侵入性检查方法。病人通过这项检查,可以得到同时显示肾、输尿管、膀胱的立体图像。
常见的尿路梗阻的原因
(一)尿路结石
尿路结石是泌尿系的常见病。结石可见于肾、膀胱、输尿管和尿道的任何部位。肾与输尿管结石可以出现腰痛与血尿,膀胱结石主要表现是排尿困难和排尿疼痛。


上图为泌尿系平扫后重建,可见左侧输尿管中段结石。
下图为静脉注射造影剂后,进行一定时间延迟后进行扫描、重建,见结石影与造影剂对比良好。
(二)输尿管病变
① 输尿管炎症: 各种 致病菌所引起的输尿管管壁的炎性病变。 急性输尿管炎主要表现为黏膜化脓性炎症,而慢性的可表现为输尿管壁扩张,变薄,管道逐渐延长呈螺旋状,也可表现为输尿管壁增厚,变硬,僵直,肌层纤维发生变性,致使全输尿管狭窄导致肾积水。


上图所示:38岁女患,有发热、脓尿等症状,临床诊断为泌尿系感染,行尿路造影检查,可见(左侧)输尿管下段管壁增粗,均匀强化,考虑输尿管炎症可能。
② 输尿管肿瘤: 输尿管癌最常见的症状为血尿,腰痛并不常见。还有一部分患者可能无症状,为体格检查时经超声发现肾积水而就诊。


上图所示,58岁男患,血尿待查。尿路造影检查示(左侧)输尿管上段充盈缺损并轻度强化,考虑输尿管癌可能。
(三)膀胱病变:
① 神经源性膀胱, (在颅脑病变或者是脊髓病变之后,)控制排尿功能的神经系统受到损害而引起的膀胱尿道功能障碍,尿不畅或尿潴留是常见症状,并引起泌尿系并发症,如双肾积水、膀胱憩室等等。



上图所示:63岁男患,有脑出血术后病史,长期卧床,近期存在小便*禁失**。CT尿路造影检查示膀胱壁增厚,存在膀胱憩室,伴有双肾积水,双侧输尿管扩张。考虑存在神经源性膀胱可能
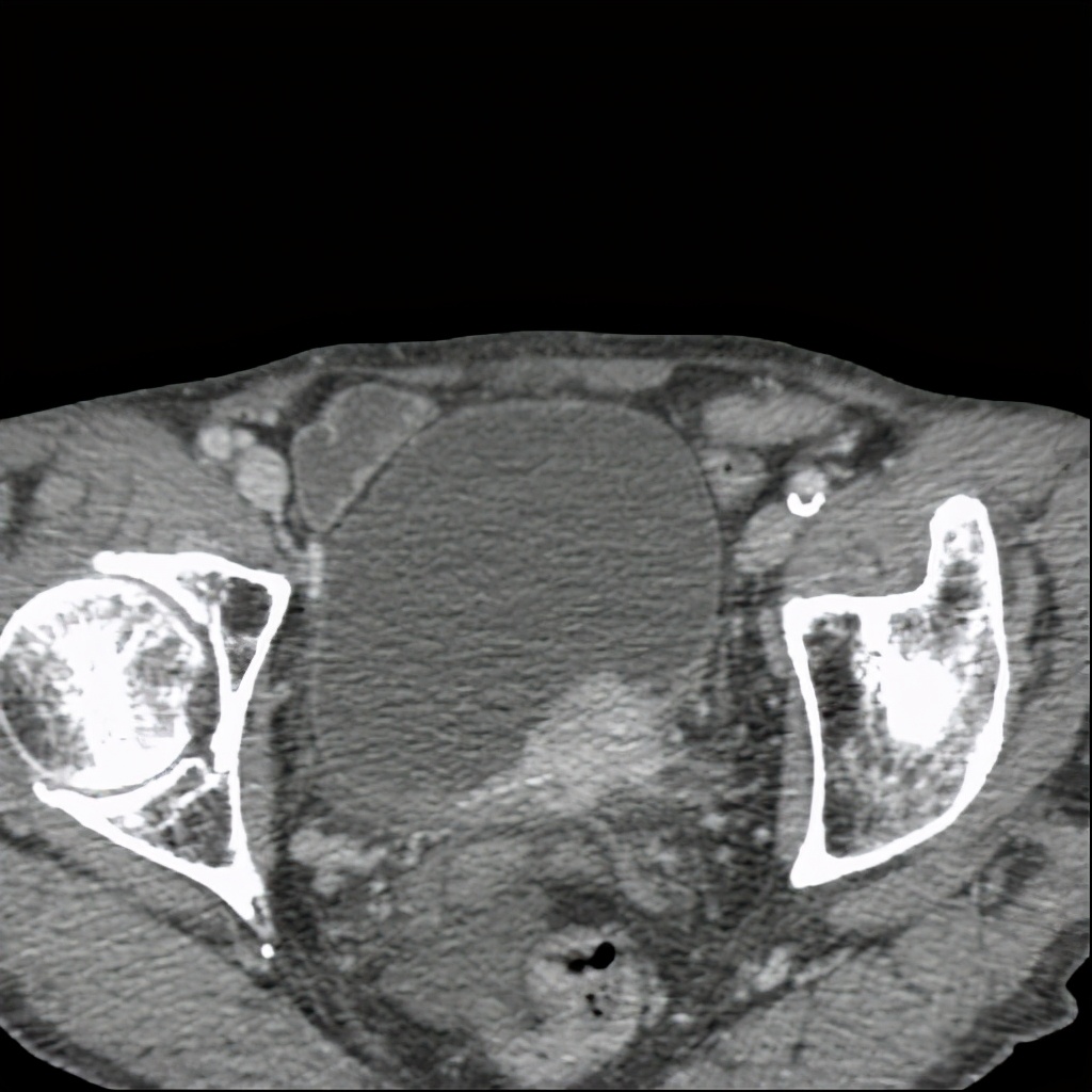
② 膀胱癌: 是泌尿系统常见的恶性肿瘤,部分病例的癌肿可阻塞输尿管入口处,引起肾积水。



上图所示:38岁男患,血尿待查。CT尿路造影检查示膀胱左后壁增厚,有强化表现,阻塞左侧输尿管膀胱入口处,致左肾积水、左侧输尿管扩张。考虑膀胱癌可能。
(四)外压性改变: 如腹膜后或盆腔肿物对输尿管的压迫,子宫颈癌、前列腺癌等浸润至膀胱后壁,造成单侧或双侧输尿管进入膀胱部位的梗阻。


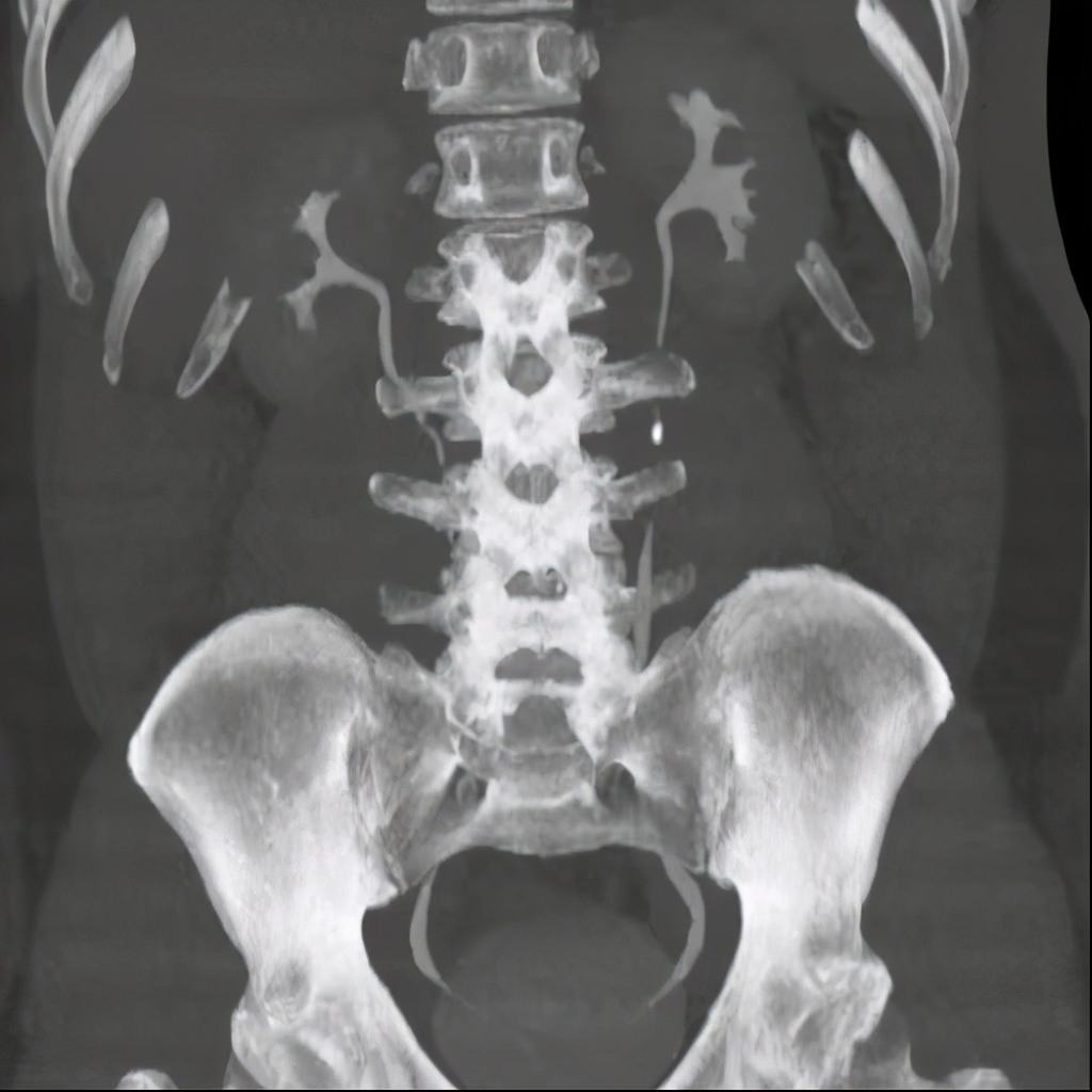
上图所示,(左侧)肾盂癌,压迫(左侧)输尿管上段。
尿路梗阻与相关疾病的鉴别
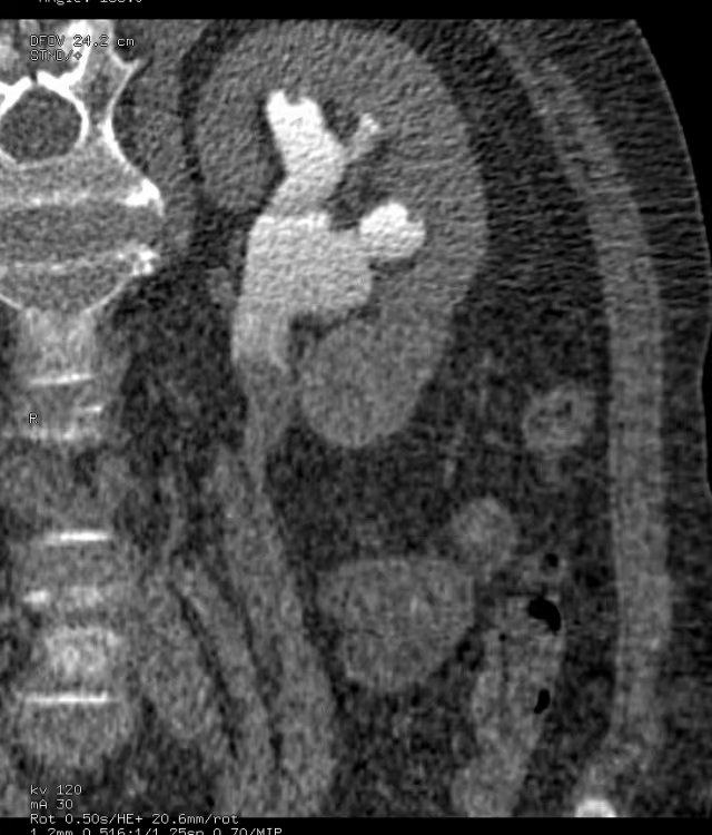
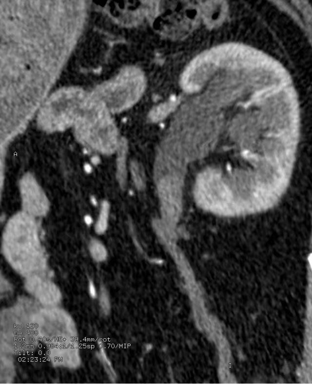
尿路梗阻需要与盂旁囊肿、肾外肾盂相鉴别。后两者均没有梗阻因素存在。 (一)肾盂旁囊肿: 又名为肾盂周围囊肿;起源于肾窦外、侵入肾窦的囊肿, 多由先天性因素造成,组织学来源为肾实质或陈旧性含尿囊肿。


上图所示:体检B超示(右)肾积水,行CT尿路造影检查。左图示平扫后重建示(右)肾囊肿向肾盂内突出。右图示,静脉注入造影剂、经过一定时间延迟后,(右侧)输尿管起始处造影剂充盈良好,肾盂内囊肿内未见造影剂填充。 (二)肾外肾盂: 正常人肾盂大多位于肾窦内,成为肾内肾盂;少数位于肾窦外,成为肾外肾盂。肾外肾盂属于正常肾盂的一种情况,可见于任何年龄。

上图所示:右侧甚肾盂增宽,并延伸至右肾盂外侧,其远端无梗阻因素,考虑肾外肾盂。
(此处已添加医疗卡片,请到*今条头日**客户端查看)