上期介绍了髌股关节的X线正位像表现,今天继续介绍侧立位的表现。膝关节侧位像对髌骨不稳定的诊断和评估非常重要。标准的膝关节侧位像要求两股骨后髁的边缘完全重合,这样就可以很好地评估股骨滑车发育状况和髌骨高度。
当膝关节处于完全伸直位时,由于股四头肌的收缩可能影响髌骨的位置,所以伸直位的膝关节侧位像对髌骨高度的评估可能不够准确。因此,我们在拍摄膝关节侧位像时通常嘱患者将膝关节屈曲到15°~20°。另外,一些患者能够使膝关节达到过伸状态,这种情况下所拍摄到的膝关节侧位像可以使原本正常的髌骨高度被误诊为髌骨高位。
01、髌骨高度的评估
常用的评估髌骨高度的方法包括Caton指数、Insall-salvati指数及Blackburne-Peel指数。
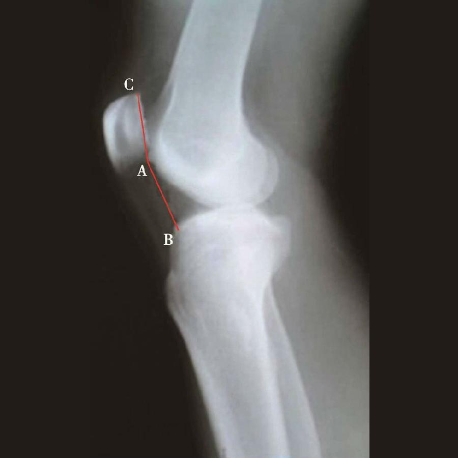
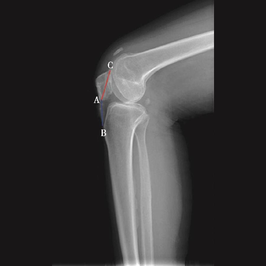
1️⃣ Caton指数>1.2提示高位髌骨(图3),而<0.8提示低位髌骨。
体位:侧卧位屈膝30°。
如图示:AB为髌骨关节面最低点到胫骨平台轮廓前上角最短的距离,AC是髌骨关节面的长度。Caton指数=AB/AC(图1)。

图1

图2 Caton指数=AB/AC=1.10,为正常髌骨高度
临床工作中常常使用其来估计胫骨结节移位的效果。正常人的Caton指数=1,正常范围0.8~1.2(图2)。需要注意的是:术前规划胫骨结节需要移位的理论距离为AB-AC,这就是需要将胫骨结节向远端移位的最大距离。但在术中胫骨结节转移的距离往往要小于这个距离,避免因过度移位造成医源性的低位髌骨。
此外,部分患者的胫骨前上缘难以确定。若患者行胫骨结节转移术后,Caton指数可能无法评估。对全膝关节置换术后,也无法使用Caton指数进行评估。
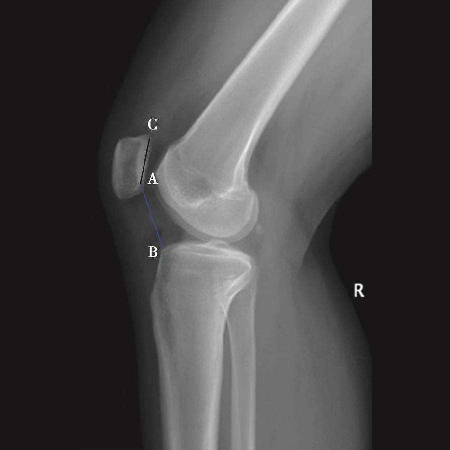
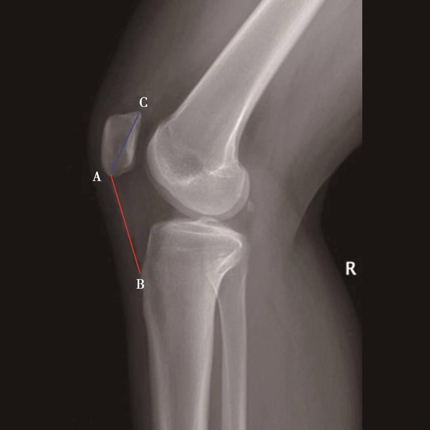
2️⃣ Insall-Salvati指数>1.2意味着高位髌骨(图5),<0.8意味着低位髌骨(图6)。
体位:侧卧位屈膝20°~70°。
如图示:AB是髌韧带长度,AC髌骨纵轴长度。Insall-Salvati指数=AB/AC(图4)。

图3 Caton指数=AB/AC=1.30,为高位髌骨

图4 Insall-Salvati指数=AB/AC=1.10,为正常髌骨高度

图5 Insall-Salvati指数=AB/AC=1.40,为高位髌骨
但是此法测量髌骨韧带时往往依赖准确的估计胫骨结节与髌骨下极的位置。因此,髌骨下极和胫骨结节的病变都会影响测量的结果,尤其是发生胫骨结节骨软骨炎的患者确定这一位置便更加的困难。此外,该指数不能用于评估胫骨结节向近端或远端移位的效果。因为该指数测量所使用的标记在胫骨结节术后均未发生改变,Insall指数也就不会变化。
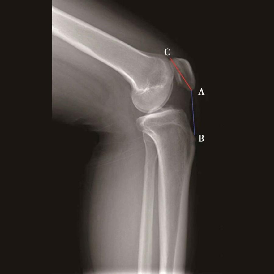
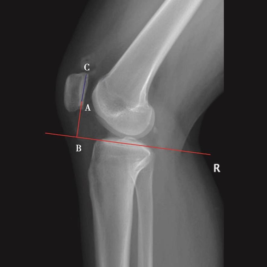
3️⃣ BlackBurne-Peel指数>1.0提示高位髌骨(图8),<0.5提示低位髌骨(图9)。
体位:侧卧位,屈膝无要求。
如图示:AB是髌骨关节面最低点到胫骨平台延长线的垂直距离。AC是髌骨关节面的长度。BlackBurne-Peel指数=AB/AC(图7)。
该方法同样可以评估胫骨结节移位或胫骨高位截骨术后的髌骨高度。但是也有其缺点:①部分患者的髌骨形态异常,难以分辨髌骨关节面的长度;②标记胫骨平台的延长线也需要较高的精度;③胫骨平台后倾角越大,可能导致髌骨关节面的最低点到胫骨平台的延长线的垂直距离越短。因此,如果手术改变了胫骨平台的后倾角度,则会使BlackBurne-Peel指数出现偏差。

图6 Insall-Salvati指数=AB/AC=0.67,为低位髌骨

图7 BlackBurne-Peel指数=AB/AC=0.80,为正常髌骨高度

图8 BlackBurne-Peel指数=AB/AC=1.20,为高位髌骨

图9 BlackBurne-Peel指数=AB/AC=0.49,为低位髌骨
02、股骨滑车的评估
放射学是最常用的发现滑车发育不良并且能对滑车解剖进行初步评估的方法。一张完美的能够反映股骨内外髁的侧位X线片可以很好地评估滑车发育不良,但是摄片时髌股关节轻微的旋转或移位都可以导致效果不佳,所以这需要非常正确的姿势。股骨滑车沟深度正常值应不小于5mm,如果小于5mm就提示髌骨不稳的可能。
1️⃣ 股骨滑车正常表现:
在标准的X线侧位片上,正常的膝关节滑车形态有以下3个特点(图10):①Blumenssat线延续为股骨滑车沟基底线,该基底线始终位于股骨髁轮廓线的后方,意味着股骨滑车沟低于股骨滑车的侧壁;②滑车沟基底线的最高点不超过股骨干前方皮质的延长线;③股骨内外滑车轮廓线几乎重叠,只显影为一条轮廓线。

图10 正常股骨滑车侧位X线片的特点
滑车沟基底线(红色箭头)位于股骨外髁轮廓线(绿色箭头)和内髁轮廓线(蓝色箭头)的后方和下方;滑车沟基底线的最高点不超过股骨干前方皮质延长线;股骨内外髁轮廓线重叠
2️⃣ 股骨滑车异常表现:
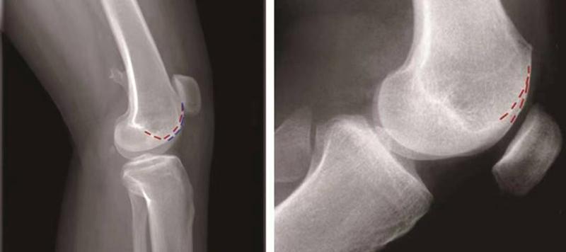
①交叉征:
H.Dejour在1987年介绍了股骨滑车发育不良在膝关节标准侧位X线片的特殊表现,描述了交叉征(crossing sign)。在股骨滑车发育不良的膝关节标准侧位像上,股骨滑车沟基底线会与股骨外髁的轮廓线相交叉,即为交叉征(图11),意味着股骨滑车发育平坦。

图11 交叉征
②突起征:
H.Dejour在1996年提出突起征(spur或bump)或滑车近端突起征(supratrochlear spur),是指在膝关节标准侧位像上,股骨滑车沟基底线的最高点位于股骨前方皮质延长线的前方(图12)。这种征象的实质是股骨滑车近端的整体抬高。在膝关节屈曲早期,髌骨必须越过滑车近端的突起才能进入股骨滑车,因此,容易出现髌骨向外脱位。如果突起征>5mm即为异常,意味着股骨滑车基底高于股骨外髁的轮廓。

图12 突起征
③*轨双**征(或称为双线征):
是指在膝关节标准侧位像上,代表股骨内外侧滑车的两条线分开,呈*轨双**样(图13)。它的出现提示股骨内侧滑车发育低平,导致它的前缘出现晚于外侧滑车。

图13 *轨双**征
3️⃣ 股骨滑车发育不良的分型:
1996年,D.Dejour和B.Le Coultre提出了更准确的股骨滑车发育不良的四种分型(图14):

图14 股骨滑车发育异常分型 A型:交叉征;B型:交叉征+突起征;C型:交叉征+双线征;D型:交叉征+突起征+双线征
03、胫骨后倾角的评估
测量胫骨后倾角时先要观察胫骨上段及其与腓骨的位置关系,选择无明显胫骨旋转的,胫骨平台轮廓清晰的膝关节X侧位片。方法1测得的胫骨后倾角范围是11.74°±3.87°,方法2测得的胫骨后倾角范围是8.91°±3.57°,方法3测得的胫骨后倾角范围是6.21°±3.51°。

图15 胫骨后倾角的评估
用量角器测量胫骨内侧平台前后缘连线分别与胫骨中上段前侧骨皮质切线的垂线(图15A)、胫骨结节下胫骨中上段轴线的垂线(图15B)以及胫骨后侧皮质切线的垂线(图15C)的夹角,即胫骨后倾角(∠AOB)。
来源:髌股关节炎与髌骨不稳
声明:此文内容及图片由供稿单位提供,仅供学习交流,不代表骨科在线观点。