乐莎莎口腔,说说嘴里那点事! 牙齿上面完好无损,但是不知道为什么牙龈结合牙根处出现腐烂现象,都凹进去了,用牙签碰下,感觉好敏感,不碰的话也不痛。还有牙齿挨着的缝隙里,针都能戳进去,你说久了牙齿会不会「断掉」啊?
牙齿根部烂了怎么回事?
1)口腔环境偏酸(碳酸饮料)
牙齿表面的牙釉质是人体最「坚硬」的组织,但它却有一个天敌——酸。牙釉质长期处在「酸性环境」下,其中钙和磷会以离子形式释出,牙釉质脱矿流失,最后牙齿越来越脆弱。
市场上大部分饮料的PH值介于2.2~4.9之间,口腔中的环境PH值低于5.5时牙齿就会「脱矿」。如果你饮料不离手,并且不注重「口腔卫生环境」,就等于把牙齿泡在这样的液体里,时间久了牙齿慢慢「溶解」,变得更脆弱,易空洞,尤其是对儿童,它的*伤杀**力更大(刚萌出大牙齿未钙化完全,更容易被酸性物质溶解)。

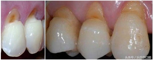
2)锲状缺损(刷牙)
不正确的刷牙方式、刷牙过硬也会损伤牙齿,尤其是蛮横式的横向刷牙,日积月累牙颈部就形成小的缺口(牙齿受力时,应力集中于牙颈部,且牙颈部结构比较薄弱易被磨损),这与俗话所说的「绳锯木断」「水滴石穿」的道理是一样的。
所以,我们要改正刷牙方法,避免「横向刷牙」,并选用较软的牙刷和较细的牙膏。

3)根面龋
人到中老年以后,牙周逐渐开始「暴露」,因牙周部位的硬度较牙冠低,随之而来是「抗龋能力变差」,于是容易出现龋洞的病症。因其「位置隐蔽」,经常被忽视,根面龋只有「牙根面暴露在口腔环境中」的时候才会发生。
主要病因:细菌和牙菌斑,食物以及牙齿所处的环境。

牙齿根部烂了怎么办?
1)青少年应尽量少喝「碳酸饮料」。实在不能避免,也要在饮用碳酸饮料过后立即「漱口」,尽量减少碳酸饮料对牙齿的危害。出现问题,要早点就诊,立即治疗,把牙齿的损伤降到最低。
2)「刷牙方法不当」引起的,首先应该去专业牙医那里去检查确诊,然后具体按照相关诊断来解决,并且改变刷牙方法,大家可自行百度「巴氏刷牙法」,现在流行的比较科学的方法。
3)如果是蛀牙,也就是龋齿,就应该去找口腔医生「补牙」,有洞如果未伤及到牙神经,补牙就 可以了。如果洞很深,牙髓保不住需要做 「根管治疗」 。根管治疗就是就是把根管里的感染物清理干净,再填充相应材料。建议检查确诊后再定具体治疗方案。
乐莎莎口腔原创文章,转载时务必注明文章来源,不尊重原创的行为将受到乐莎莎口腔的追责。
最后,欢迎大家来找茬!!凡是读者朋友发现文章有明显的错字或者多字,均可截图发送至乐莎莎口腔工作人员(xiaoleer303),深圳、沈阳地区的朋友可有一次免费口腔检查的机会哦。