56岁的杨阿姨,平常喜欢跳跳广场舞,运动量并不是很大。一次跳舞时,听到砰的一声,感觉右脚后脚跟像被人踩了一脚,还有明显的疼痛,靠近脚跟的地方还有一块空空的感觉。找社区的门诊医生看了看,贴膏药、红花油用了2个多月,症状却不见好。于是来看了我的门诊。经过查体,我发现踝关节Thompson征阳性,建议他做踝关节核磁共振,报告结果示右侧跟腱断裂。杨阿姨已经经历了一个月的脚痛折磨,对以后运动、跳舞的要求也比较高,因此得知确诊跟腱断裂后,就积极接受了手术治疗。故门诊以“右侧陈旧性跟腱断裂”收入院。(图1)

图1跟腱断裂示意图
入院第二天,我为杨阿姨进行了手术。由于杨阿姨年龄偏大,断端瘢痕化也十分明显,因此我为她做了跟腱断裂微创修复+拇长屈肌腱转位术。当然,为了避免伤口愈合不良等并发症并让患者早期恢复,我用的是自己擅长的关节镜微创术式。

图2 术前核磁共振显示跟腱陈旧性断裂
杨阿姨术后右踝关节石膏固定了2周,又戴了1个月左右的护具,恢复的很不错。由于对广场舞的热爱,重返舞场是杨阿姨最大的心愿,因此医嘱遵从性特别好。术后2个月来门诊复查时,已经基本恢复了右踝关节的正常功能。查体Thompson征阴性,踝关节活动度良好,并能轻松踮脚了。

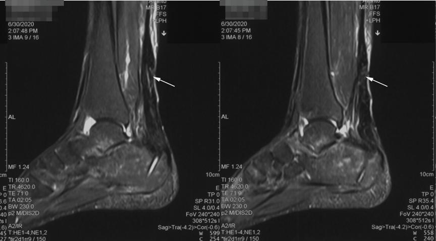
图3、 术后2月复查MRI示跟腱愈合良好

图4 术后2月右踝关节提踵功能恢复
跟腱损伤或者断裂在生活中不像肩、膝关节痛那么常见,但每年的门诊及手术,总有几十台。多是运动中损伤,在运动明星中,像科比、刘翔、冬奥冠军赵宏博等都有跟腱断裂的病史。采取保守治疗还是手术治疗要根据患者损伤的程度以及全身情况、运动要求等来决定。急性的跟腱断裂是手术治疗的最佳适应症,治疗的效果往往较好。当然随着运动医学技术的快速发展,陈旧性跟腱断裂的手术治疗效果也得到了充分的验证。杨阿姨的效果就不错。
还有另外一类并非跟腱断裂而是跟腱病或者跟腱周围炎的患者,保守治疗是首选。拉伸和休息是治疗跟腱腱病、跟腱周围炎的前提,高强度训练的运动员更要保证运动前后的充分拉伸和充足的休息。康复期间,像游泳、自行车是不错的保持体能的运动项目。冰敷及消炎镇痛药对降低炎症、缓解疼痛有帮助。近年来推出的冲击波及富血小板血浆(PRP)也是治疗跟腱腱病及跟腱周围炎的重要方法。