
学习能力是人类最复杂但最基本的过程之一。近日,*耐基卡**梅隆大学的科学家们对大脑进行成像,发现学习有机化学竟能改变大脑中的记忆相关区域。他们让非化学专业的学生学习几种有机分子的名称和结构,并分别利用磁共振和功能性核磁共振扫描了学生的大脑,发现左海马区的组织结构和信号激活模式发生变化,相关神经网络协调性也增强。该研究近期发表于《Brain Structure and Function》杂志上。

选取了卡内基梅隆大学社区的10名右撇子成年人(9名女性,1名男性,19至37岁之间,平均年龄为24.7岁,SD = 5.2岁,1名非洲裔美国人,9名高加索人)参与该实验。所有参与者都签署了卡内基梅隆机构审查委员会批准的知情同意书。这些参与者从来没有学过有机化学课程,因此完全不熟悉研究期间给出的有机化合物的结构和命名系统。
实验使用了包括乙醇在内的九种有机化合物图像。这些化合物的名称与化合物结构有系统的关系,但这种系统性参与者并不知道。前缀(eth-,prop-,but-)代表给定分子中存在的碳原子数。后缀(-ane,-ol,-oic acid)反映了存在多少氧原子以及它们如何与化合物中的碳和氢原子键合。
参与者首先执行了预学习阶段。在此阶段,研究人员向参与者展示了这些有机化合物的图片,但没有显示化合物名字。在此期间参与者将浏览每个化合物并熟悉其结构。

在预学习之后,参与者将学习含有名称与结构的复合图片,并进行测试。每个化合物名称首先呈现1秒,然后呈现2秒的化合物图片。参与者需在屏幕上时指出化合物图片和名称配对是否正确。


之后,参与者执行了后学习(Post-learning)检索任务。化合物名称呈现3秒,在此期间参与者被要求找到相应化合物的结构。

在收集了所有MRI数据后,对结果进行了处理和分析。研究人员使用三种不同类型的脑成像技术,发现了大脑三种类型变化的证据,这些变化都发生大脑同位置。
其中一种方法测量了大脑中水分子的运动。先前对啮齿动物脑的组织学研究使用了这种基于扩散的成像方法。当老鼠了解到迷宫的布局时,研究人员发现左侧海马的水分子运动减少了。
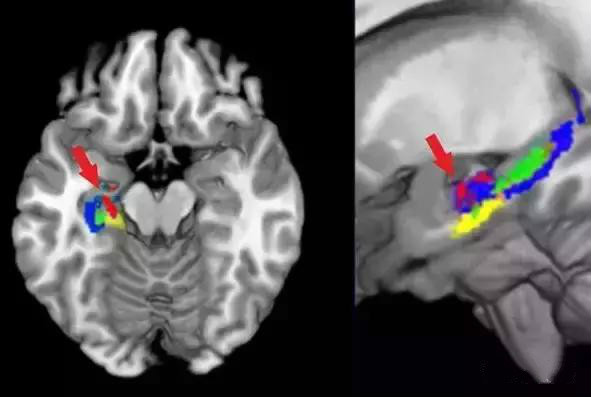
而对于学习有机化合物的名称和结构的人类参与者,显示主要在左半球海马的CA(Cornu Ammonis)区域水扩散率降低。

左侧海马区域红色部分显示学习后平均扩散率(MD)降低。海马亚区域:CA为蓝色; 绿色为齿状回; 黄色为下丘
“海马体是一种对于学习新知识至关重要的大脑结构,水分子减速表明这些学生大脑中的组织正在发生变化,可能是由于突触变化,”通讯作者Timothy Keller说。
第二种方法利用了这样的事实:个体在大脑中具有可以使用功能性MRI(fMRI)识别的独特表征或神经特征。该方法使用机器学习检测这些表征。研究人员根据相关的大脑激活模式,来确定参与者正在考虑的九种化合物中的哪一种。研究人员发现,他们可以通过精确地观察海马体中发生水分子运动的区域来识别神经特征。两种类型的变化发生在相同的1.3立方厘米的海马中。
第三种类型的变化反映了包含有机化合物全脑特征的脑网络的发展。不仅海马体参与这些表现,其他大脑区域也是如此。
这三种不同方法为学习有机化合物过程中海马体微观结构、信息和网络变化提供了证据。
这些发现有望提高教学和学习的有效性。
(来源:化学科讯)
特别声明:本文转载仅仅是出于传播信息的需要,并不意味着代表本站观点或证实其内容的真实性;如有其他转载需要,须保留本站注明的“来源”,并自负版权等法律责任;作者如果不希望被转载,请与我们接洽,我们将予第一时间处理,并表示歉意,谢谢。