谁不想拥有一个洁白亮丽的笑容呢?可是有的时候因为牙齿黄,都不敢自信地笑了。牙黄是什么原因造成的呢?有哪些负面影响呢?有没有什么方法能有效改善呢?
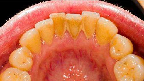
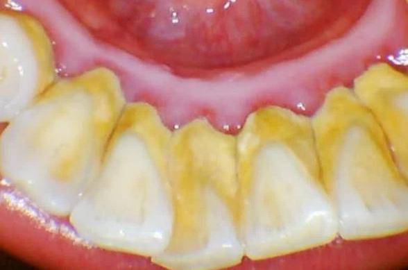
很多人的牙缝中都有一些软软的“黄泥”,抠下来之后异味很强,味道酸臭无比,也因为这些“黄泥”的存在,牙齿会微微泛黄,有些严重的甚至全是黄渍,那这些软软发臭的黄泥究竟是什么?该怎么去除呢?今天我们就来简单介绍一下关于牙齿泛黄的那些事儿

牙齿表面堆积的黄泥
这些黄泥在无形之中会对人们的生活造成一些负面影响,直接影响美观,笑起来一口黄牙当真是煞风景,这导致人们在一些社交场合无法给他人留下一个好印象,所以才会有很多明星用各种方法进行牙齿美白。
而有一些病原性的牙齿泛黄,是因为身体出现了问题,例如体内累积大量四环素,会引起四环素牙,表现为牙齿泛黄,而这些疾病在一定程度上会影响身体健康。

其实健康牙齿本体就是偏黄一些,而牙齿表面的牙釉质是偏透明的,所以正常的牙齿呈隐隐约约的淡黄色是没有任何问题的。但是有些人的牙齿黄得过于明显,甚至于影响到面部美观,这样是不太正常的。找到牙齿变黄的原因,就能更好地解决这个问题。

一般来讲,导致牙齿泛黄有这么几个因素:
1,遗传因素。有些人的牙天生就泛黄,一般是因为遗传所导致的,可能需要长大后用其他手段改善这个状态。
2,饮食习惯。有些人的饮食习惯倾向于深色系的食物,例如习惯饮浓茶,咖啡等,或者是一些其他易于染色的食物。长此以往,在牙齿表面积累的深色物质会使牙齿表面呈黄色进而影响美观。
3,药物因素。有些患者因为其他疾病而服用药物,有些药物的成分在人体内积累过多可能会使牙齿加深颜色,逐渐使患者牙齿呈黄色。例如四环素,如果患者于牙齿的钙化时期积累过多的四环素就会形成"四环素牙",这种牙齿是会逐渐加深颜色的。

4,卫生习惯。有些人没有养成良好的用牙和清洁习惯,比如不按时刷牙,或者刷牙不认真,没能及时清洁残留在牙齿上的食物残渣,长此以往牙齿会逐渐染色,变成黄牙。
5,水质因素。如果长期用含氟的水也有可能会引起牙齿染色。虽然说氟有预防龋齿和蛀牙的功效,但是摄入过多也会引起氟斑牙等牙齿问题。
6,吸烟。众所周知,老烟民的牙齿一般是较黄的甚至偏黑色的。*草烟**中的焦油等物质极易残留在牙齿上使牙齿染色。

下面我们就来讲一讲怎么做才能让牙齿变白:
1,美白牙粉坚持使用一段时间,并且按时正确刷牙。牙粉是牙膏以外的一种牙齿清洁产品,可以用美白牙粉来进行牙齿清洁,用正确的方法例如巴氏刷牙法来进行清洁,能有效美白牙齿。
2,冷光美白。这个方法被很多人采用,因为其快捷有效,效果显著。用特殊的冷光源照射牙齿表面,就像漂白一样使牙齿变得洁白,但是需要定时进行,费用也比较大。
3,定期洗牙。一般一年去医院洗牙1-2次,能有效清洁牙结石,并且亮白牙齿,远离牙黄烦恼。

4,牙贴片。也就是镶牙一种。这个需要将牙齿表面磨掉一层,然后在其表面贴上一层能使牙齿美白的物质。这种方法见效快,患者也有选择权,可以选择想要的颜色。
5,中药药物漂白。就是将相应的药物放置于牙齿表面,经过一些特殊处理来达到牙齿漂白的作用。
牙齿变黄并不是一个小问题,养成良好的用牙习惯能有效改善这一问题,同时也要保持好的牙齿清洁习惯,按时刷牙不可少!

我是牙科医生杨雨鑫,10年从业经历,如果你有任何口腔问题,欢迎关注后在主页私信咨询,或评论留言!可私信牙片,我来帮你免费问诊!