点击「神经介入在线」可快速关注
背景
CHS概念

CHS分类

病理机制


临床表现

CHS的发生时间与血压变化

案例
Case 1

》男,76岁;
》主诉:头晕10年,发作性右眼黑朦1年;
》既往史:高血压,服用络活喜,控制达标;
》查体:BP 123/74mmHg,双侧颈部血管听诊可闻及血管杂音。心肺腹查体未见明显异常。神经系统查体未见阳性定位体征。
辅助检查
》血、尿、粪常规、凝血六项、胸部正片、心电图大致正常;
》HCY:25.5umol/L。 LDL 1.97mmol/L;
》头颅MRI:右侧小脑半球、双侧基底节区及双侧半卵圆中心多发腔梗;脑白质变性;脑萎缩。
术前诊断
1.TIA(右侧颈内动脉系统)
2.腔隙性脑梗死(多发性)
3.颈动脉硬化伴狭窄
4.高血压3级(极高危)


术后情况
》常规心电监护,多巴胺维持下血压波动于110-125/55-75mmHg之间;
》术后6小时,出现左侧肢体无力,无头痛,无恶心、呕吐;
》查体:嗜睡状态,双眼向右凝视,左上肢肌力0级,左下肢肌力Ⅲ级,肌张力稍低,感觉正常,病理征阴性;
》心电监护示:心率 82次/分,血压 120/60mmHg,血氧饱和度 97%。

复查DSA,右侧颈内动脉起始部支架定位良好,支架内血流通畅,右侧大脑中动脉显影无异常。
诊断

治疗
》停用多巴胺,监测血压,加用乌拉地尔泵入,维持收缩压90-120mmHg;
》甘露醇 125ml Q6h,脱水、降颅压;
》依达拉奉 30mg Bid,鲁米那 100mg Bid,抗氧化、脑保护治疗;
》物理降温,地塞米松10mg 入壶,减轻急性应激反应,奥美拉唑保护胃黏膜;
》抗感染治疗;
》继续应用抗血小板聚集药物。
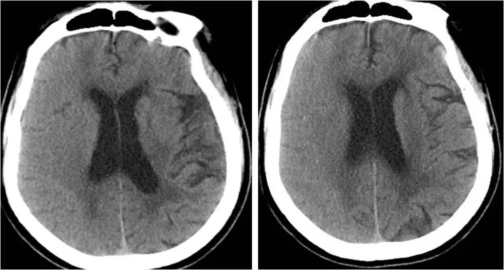
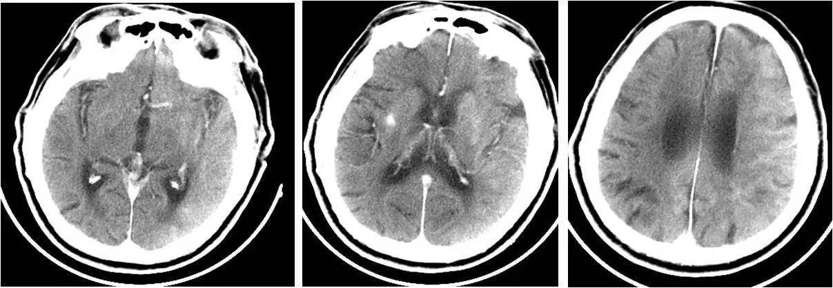
不同时间CT表现

讨论
该患者发生CHS的高危因素是高血压?
疑问
①患者长期高血压病史,但规律服药,控制达标(<140/90mmHg);
②常规心电监护,多巴胺维持下血压波动于110-125/55-75mmHg之间。

Case 2
》梁某某,男,79岁;
》主诉:右侧肢体无力伴言语不能3h;
》既往史:高血压、冠心病病史;
》查体:BP 210/90mmHg,部分混合性失语,高级智能不配合,双眼左侧凝视,双侧瞳孔等大正圆,直径3mm,光反射灵敏,右侧鼻唇沟浅,右侧口角低,余脑神经查体不配合。右上肢肌力0级,右下肢肌力Ⅱ级,肌张力低,左侧肢体活动自如,病理征及脑膜刺激征阴性。
辅助检查
头颅CT:左侧枕叶稍低密度影,左侧基底节区、放射冠、半卵圆中心及丘脑多发腔梗;脑白质变性;脑萎缩。
术前诊断
1.脑梗死(左侧颈内动脉系统)
2.高血压3级(极高危)
3.冠心病
冠脉支架植入术后
心功能Ⅱ级
术中
》急诊行DSA+动静脉联合溶栓+左侧颈内动脉狭窄球扩及支架成形术;
》乌拉地尔持续泵入,控制血压;
》rt-PA 5mg iv, 40mg ivd,维持1h;
》DSA:双侧颈内动脉起始部狭窄,狭窄率约80%,左侧大脑中前动脉显影差继而行超选择左侧颈内动脉动脉溶栓(rt-PA 5mg 推注),远端显影改善,行左侧颈内动脉狭窄球囊扩张及支架成形术。
术后
》术后常规给予补液治疗,多巴胺持续泵入,维持血压。

》术后8h,患者血压逐渐升高,多巴胺减量、停用,改用乌拉地尔泵入,收缩压多位于160mmHg左右。
》术后10h出现发热,体温最高达38.8℃,无头痛,无恶心、呕吐,无肢体抽搐。查体:浅昏迷,双眼左侧凝视,右侧肢体肌张力低,疼痛刺激无反应,右侧巴氏征阳性。

诊断及治疗


讨论
该患者发生CHS的高危因素有哪些?

知识补充
CHS的危险因素

临床诊断
#头颅CT:传统头部CT通常对于早期识别CHS帮助很小,头部CT提示弥漫性或片状白质水肿、占位效应或术侧颅内出血可能与CHS有关。
#头颅MR:CHS在MRI上的异常表现包括白质水肿、局灶性梗死、局限性或大范围出血等,同时MRA可以对颅内外的血管进行无创评估。但CAS术后目前头颅MR检查相对禁忌。
#TCD:是最常用的检查手段,监测术前、术中、术后颅内血管的脑血流速度,了解术前是否存在低灌注、脑血管的反应性以及术后是否发生高灌注和动脉栓塞等。
Schaafsma等提出的诊断标准:
必备条件:同侧(或对侧) 大脑中动脉血流速度异常升高。平均血流速度比术前增加100%以上。
支持条件:
①血压急剧升高。
②头痛:通常发生在手术动脉的同侧。
③癫痫发作、局限性神经功能缺损、颅内出血和/或颅内水肿。
预防及治疗
#急性脑梗死短时间内(3-4周)进行手术,术后高灌注导致脑出血的风险较高,特别是对于大面积或进展性脑梗死。
#近期(3个月内)对侧颈动脉CEA术也会增加发生CHS危险。
#双例颈内动脉严重狭窄的患者,主张支架置入分期进行,先行狭窄严重血管的支架置入,3-6月后,再行对侧狭窄血管的支架置入。

#全麻可以预防CHS发生术中能够更好地控制血压,从而减少了CHS发生。
#丙泊酚已用于CHS患者, 其对脑代谢的效应可以使脑血流恢复正常。
#儿茶酚胺诱导的高血压所引起的脑血流增加可以被丙泊酚抵消,且对脑血管的自动调节功能及对二氧化碳的反应性无影响。
参考:
邢国平等,临床神经病学杂志2014,27(6):405-408
周振华等,中国新药杂志2015,20(11):977-979
>>血压控制
#控制血压是最常用的控制CBF的方法;
#术前血压控制良好者,尚无研究显示是否需将既往药物换成对CBF无影响的药物;
#直接的血管扩张剂(代表药物是硝普钠和硝酸甘油)和钙离子阻滞剂不适合CHS患者;
#ACEI和ARB能增加脑灌注,不适合CHS患者使用;
#对于血压难以控制者可加用镇静药物,使血压平稳下降。
拉贝洛尔:β1 受体阻滞剂在自动调节范围内可以减少动脉压,对颅内压几乎没有影响,可用于治疗伴有脑损伤的高血压患者。具有α、β1受体阻断作用的肾上腺素受体阻滞剂拉贝洛尔对脑血流无直接作用,并可减少脑灌注压及平均动脉压的30% 。
可乐定:CEA后高血压与颅内及血浆内儿茶酚胺浓度有关,故治疗时应包括能在中枢起效的抗交感神经类药物。α2 肾上腺能受体激动剂可乐定用于CEA后,可以降低动脉压、心率及心搏出量,使脑血流下降,是其用于CHS的优势之一,它是通过压力感受反射起效的。
因此,拉贝洛尔和可乐定是CHS防治中被推荐应用的药物。
参考:周振华等,中国新药杂志2015,20(11):977-979
#甘露醇、高渗盐水和巴比妥类药物对于单纯脑水肿的治疗效果是肯定的,但目前尚缺乏足够的研究显示证据证明这些药物对CHS是有益的。
#糖皮质激素可能对治疗CHS有一定帮助,但缺乏足够证据。
如有癫痫应给予抗癫痫药,不推荐预防用药。
>>抗凝治疗
CAS术后癫痫发作,应立即停用抗凝药物。
为防止其他心脑血管并发症,抗血小板聚集治疗应坚持应用。

锁骨下动脉成形术后的CHS
#不常见,应注意识别,及时处理;
#表现为CHS和上肢HS;
#术后血压的管理尤为重要。
参考:
1.CHEMELLIAP,et al. .J VascInterv Radiol,2001,12(3):388-390.
2.KLOCKERJ,et al.J EndovascTher,2003,10(4):833-837.
3.房雷等,青岛大学医学院学报,2015,51(2):208-211.
文献报道3例,均因头晕及无脉症就诊。
表现为可逆性后部脑白质综合征、丘脑出血、枕叶出血。
共同特点:
①表现为后循环缺血和患侧上肢缺血;
②DSA 示患侧锁骨下动脉严重狭窄甚至闭塞;
③术后CHS为颅内病变。
不同之处:
①双侧颈内动脉、椎动脉狭窄情况不同,1例无狭窄,2例存在不同程度的狭窄。
②患侧椎动脉的血流方向不同,2例为反向血流,1例血流正常。
上肢CHS
#国内外报道3例。1例支架成形术后6h左手疼痛性肿胀、充血,TCD排除血栓栓塞,冰袋持续冰敷24h后症状缓解。
#2例支架成形术后出现肩部骨筋膜室综合征,表现为三角肌剧烈疼痛、肩关节活动受限、局部高度肿胀,经手术切开减压后症状逐渐减轻。
共同特点:
①主要表现左上肢缺血症状,后循环症状轻;
②左锁骨下动脉严重狭窄;
③术后HS为上肢病变。
不同点:
患侧椎动脉血流情况不同,2例无盗血,1例盗血。
可能原因:
#多数病人在锁骨下动脉狭窄时,同侧椎动脉盗血,狭窄处的组织灌注因盗血的补充并不是太差。当支架置入后,血流灌注尚在血管床的调节范围之内,高灌注反应并不明显。
#发生骨筋膜室综合征的2例左侧椎动脉无盗血,左锁骨下动脉狭窄段长、严重,导致狭窄后的血管床严重低灌注。解除狭窄后,血流量急剧增加,最终导致左侧肩部的高灌注反应发生。
神经介入中心展示
135编辑器
135编辑器提供非常好用的微信图文编辑器。可以随心所欲的变换颜色调整格式,更有神奇的自动配色方案。

