大动脉转位(transposition of great artery,TGA)是指主动脉和肺动脉的位置颠倒。在正常情况下,肺动脉位于主动脉的左前方。如果主动脉位于肺动脉的前方,即称为大动脉转位。
一、病理特点及分型
(一)病理特点
在胚胎的第3周末至第4周,动脉总干被动脉干间隔分隔成升主动脉和肺动脉。在正常情况下,动脉干间隔自圆锥间隔起呈螺旋状旋转,将升主动脉推向右后方,而肺动脉主干则位于升主动脉的左前方。关于动脉干间隔呈螺旋形旋转的原因有几种解释:其一,有学者认为两根大动脉内来自心室的血流呈螺旋形方向行走,故动脉干间隔亦相应发展成为螺旋形;其二,有学者认为由于心球在发育膨大的同时发生旋转,从而使动脉干间隔亦随之旋转,导致升主动脉与左心室相连,肺动脉与右心室相连。如果在旋转过程中发生障碍,动脉干间隔停留在矢状位,由于破坏了正常升主动脉与肺动脉的关系,即形成大动脉转位。
(二)病理分型
1.Harris 和Farber 分型 Harris和Farber 在1939年根据心脏3 个部分(即心房、心室和大动脉)的左右关系,将大动脉转位分为8 种类型 :
Ⅰ型:相当于van Praagh 分类法的SDD(即心房正位、心室右袢、右型大动脉转位);
Ⅱ型:相当于van Praagh 分类法的SDL(即心房正位、心室右袢、左型大动脉转位);
Ⅲ型:相当于van Praagh 分类法的SLL(即心房正位、心室左袢、左型大动脉转位);
Ⅳ型:相当于van Praagh 分类法的SLD(即心房正位、心室左袢、右型大动脉转位);
Ⅴ型:相当于van Praagh 分类法的ILL(即心房反位、心室左袢、左型大动脉转位);
Ⅵ型:相当于van Praagh 分类法的ILD(即心房反位、心室左袢、右型大动脉转位);
Ⅶ型:相当于van Praagh 分类法的IDD(即心房反位、心室右袢、右型大动脉转位);
Ⅷ型:相当于van Praagh 分类法的IDL(即心房反位、心室右袢、左型大动脉转位)。
2.大动脉转位的生理分型
(1)生理纠正型大动脉转位:即肺静脉的血仍排入主动脉,腔静脉的血仍排入肺动脉(图10-4-1)。将这个概念应用到Harris 和Farber 的分类法中,则Ⅱ型、Ⅲ型、Ⅵ型和Ⅶ型都属于生理纠正型大动脉转位,其中以Ⅲ型和Ⅶ型最为常见。我们通常所指的纠正型大动脉转位就是指Ⅲ型和Ⅶ型大动脉转位。

图10-4-1 纠正型大动脉转位示意图
A图为Harris 和Farber 分型法Ⅲ型大动脉转位,相当于van Praagh 分类法的SLL,即心房正位,心室左袢,左型大动脉转位 B图为Harris 和Farber分类法Ⅶ型大动脉转位,相当于van Praagh 分类法的IDD,即心房反位,心室右袢,右型大动脉转位
Nadas报道纠正型大动脉转位占其做心导管病例的3%。Toronto儿童医院10 535 例先天性心脏病中,纠正型大动脉转位有101 例,占0.9%。纠正型大动脉转位自然转归极不一致,主要取决于合并畸形。合并大型室间隔缺损、单心室或严重肺动脉瓣狭窄的患者不手术难以活过婴儿期;不合并其他畸形的患者可生存多年而无循环功能紊乱。纠正型大动脉转位患者能否长期生存取决以下两个因素:①房室传导阻滞发生的迟早;②功能左心室承受体循环负荷的大小。Cumming 等回顾不合并其他畸形的纠正型大动脉转位病例,认为患者可有正常生命而仅有某些心功能不良,但20 岁后发生房室传导阻滞可威胁患者的生命。现在由于人工心脏起搏器和瓣膜置换术的应用,这些患者的预后可得到改善。
(2)解剖纠正型大动脉转位。即主动脉起源于左心室,肺动脉起源于右心室。实际上这不应称为大动脉转位,而应称为大动脉异位。将这个概念应用到Harris 和Farber 的分类法中,则Ⅱ型、Ⅳ型、Ⅵ型和Ⅷ型都属于解剖纠正型大动脉转位。由于Ⅱ型和Ⅵ型大动脉转位在生理上和解剖上都得到了纠正,故又称为解剖生理双纠正型大动脉转位。
(3)完全型大动脉转位。Ⅰ型和Ⅴ型大动脉转位由于在生理上和解剖上都未得到纠正,故称为完全型大动脉转位(图10-4-2)。Kidd等在1971 年根据室间隔是否完整和有无肺动脉瓣狭窄,将完全型大动脉转位进一步分为4 型:
I 型:室间隔完整;
II 型:室间隔完整伴肺动脉瓣狭窄;
III型:伴室间隔缺损;
IV 型:伴室间隔缺损和肺动脉瓣狭窄。

图10-4-2 完全型大动脉转位示意图
A图为Harris 和Farber 分类法Ⅰ型大动脉转位,相当于van Praagh 分类法的SDD,即心房正位,心室右袢,右型大动脉转位;B图为Harris 和Farber 分类法Ⅴ型大动脉转位,相当于van Praagh 分类法的ILL,即心房反位,心室左袢,左型大动脉转位
从心脏外科手术的观点可将完全型大动脉转位分成2 种类型:即单纯性完全型大动脉转位(室间隔完整)和复杂性完全型大动脉转位(伴室间隔缺损和肺动脉瓣狭窄)。
完全型大动脉转位的发生率在紫绀型先天性心脏病中占第2位,占所有先天性心脏病的7%~9%,在北京儿童医院统计的先天性心脏病尸解资料中占7.2%。有糖尿病的母亲,其胎儿完全型大动脉转位的发生率约为正常人的11.4倍。
完全型大动脉转位在紫绀型先天性心脏病中死亡率最高,占第一个月内即死于心脏病婴儿的15% ~ 20%。80% ~ 90% 的完全型大动脉转位患儿死于1 岁内,其预后与合并的心血管畸形和肺循环血流量的多少直接相关,合并大型心内分流的患儿(如室间隔缺损、房间隔缺损或动脉导管未闭等)预后较佳。
(三)大动脉转位的解剖学特征
1 .纠正型大动脉转位的解剖学特征
(1)升主动脉和肺动脉主干前后位置颠倒,房室连接不一致。大多数纠正型大动脉转位患者的主动脉位于肺动脉的左前方(L-TGA,即左型大动脉转位),如Harris Ⅲ型大动脉转位。极少数心房反位的患者,主动脉位于肺动脉的右前方(D-TGA,即右型大动脉转位),如Harris Ⅶ型大动脉转位。
(2)多数纠正型大动脉转位患者为心室左袢,即解剖右心室位于左前方,解剖左心室位于右后方,如Harris Ⅲ型大动脉转位。少数心房反位的患者为心室右襻,即解剖右心室位于右前方,解剖左心室位于左后方,如Harris Ⅶ型大动脉转位。
(3)合并的其他畸形。纠正型大动脉转位患者几乎都合并其他畸形。Langford 等报道101 例纠正型大动脉转位,仅1% 的患者不合并其他畸形,这些患者无需进行任何解剖矫正,而其余99% 的患者合并有多种先天性畸形。其中,53%的患者合并肺动脉瓣狭窄,44% 的患者合并室间隔缺损,40% 的患者合并单心室,21% 的患者合并左侧房室瓣异常,12%的患者合并房间隔缺损,11% 的患者合并动脉导管未闭,6% 的患者合并主动脉缩窄。
2 .完全型大动脉转位的解剖学特征
(1)升主动脉和肺动脉主干前后位置颠倒,并呈前后平行排列,心房心室连接一致。如果主动脉位于肺动脉的右前方或正前方,称为右型大动脉转位(D-TGA),如HarrisⅠ型大动脉转位。但也有极少数心房反位的患者主动脉位于肺动脉的左前方,称为左型大动脉转位(L-TGA),如HarrisⅤ型大动脉转位。升主动脉起自解剖右心室(有漏斗部),主动脉瓣和主动脉窦连于漏斗部之上;肺动脉起自解剖左心室(无漏斗部),肺动脉瓣与二尖瓣前瓣相连接;肺动脉瓣的位置深居于心脏的后下方。
(2)多数完全型大动脉转位患者为心室右袢,即解剖右心室位于右前方,解剖左心室位于左后方,例如Harris Ⅰ型大动脉转位。少数心房反位的患者(如Harris Ⅴ型大动脉转位)也可呈心室左袢,即解剖右心室位于左前方,解剖左心室位于右后方。
(3)主动脉瓣与二尖瓣无纤维性连接。在正常情况下,主动脉瓣下无肌性圆锥组织,因此左心室无漏斗部,主动脉瓣后瓣与二尖瓣前瓣以纤维组织相连接;而肺动脉瓣与在胚胎时肌性圆锥组织构成的肌性漏斗部相连,使肺动脉瓣与三尖瓣被隔开。由于动脉干圆锥部发育异常,使主动脉瓣下有肌性圆锥组织存在,将主动脉瓣与二尖瓣隔开,使二者之间无纤维组织相连接;或者主动脉瓣与肺动脉瓣下均有肌性圆锥组织存在,此为完全型大动脉转位的重要标志之一。
二、血流动力学改变
(一)纠正型大动脉转位
心室的转位从原则上纠正了大动脉转位所引起的血流异常,此时右心房内来自体循环的静脉血,经二尖瓣进入左心室(功能右心室),再经后位的肺动脉入肺循环进行气体交换,而左心房接受肺静脉的氧合血,经三尖瓣进入右心室(功能左心室),再经前位的主动脉入体循环。若不合并其他心脏畸形的存在,患者多无血流动力学的改变,也不会影响心脏的功能,患者可无症状,无需进行治疗。但是,大部分纠正型大动脉转位的患儿合并有室间隔缺损、肺动脉狭窄、左侧房室瓣异常或房室传导阻滞等。如果纠正型大动脉转位同时合并室间隔缺损和肺动脉口狭窄,则其血流动力学的改变与法洛四联症相似。
(二)完全型大动脉转位
此时右心房未经氧合的静脉血经右心室和主动脉进入体循环,体循环的静脉血又回流至右心房;左心房经氧合的血液经左心室和肺动脉进入肺循环,肺循环的动脉血再回流至左心房,由此就构成了两个独立的循环系统。显然,这种状况是不适宜患者生存的,因此患者常在房水平、室水平或大动脉水平存在分流,以沟通体循环和肺循环,使患者得以存活。完全型大动脉转位血流动力学的改变主要取决于体循环和肺循环沟通的程度和肺动脉口狭窄的程度。实际上,在两个循环系统之间混合的血量通常是比较少的,但就是这种小容量的分流,才是完全型大动脉转位真正的生理循环。Rudolph 等在1974年指出,由体静脉回流入主动脉的“体循环”,应考虑为生理性的右向左分流;同样,由肺静脉进入肺动脉的“肺循环”,应考虑为生理性的左向右分流。因此,在完全型大动脉转位跨过解剖学上的间隔“分流”,只能用来表达其解剖学上的意义,而不能表达它在生理学上的意义。
右向左分流是指回流到右心房的血液经过缺损而进入肺动脉的那部分血量,这部分血量可命名为“有效肺循环血流量”。完全型大动脉转位的这种右向左分流,必须由等量且方向相反的左向右分流(即回流到左心房而进入主动脉的那部分血量)来平衡,这部分血量称为“有效体循环血流量”。如果这两种有效血流量不相等,则会引起一个循环血流量过多而另一个循环血流量过少。根据Toronto 儿童医院的经验,其允许的变化范围为:肺循环血流量 5~20L/min·m2,体循环血流量5 ~ 10L/min·m2,分流量(有效血流量)0.7~l.5L/min·m2。如果胎儿出生后动脉导管仍然保持开放,则两个循环系统之间可有一定程度的混合并伴肺循环的持久性高压。如果患儿室间隔完整而动脉导管又逐渐关闭,肺动脉压迅速下降至正常范围,则患儿低氧血症及酸中毒症状逐渐加重;如果患儿合并室间隔缺损,肺动脉压力可保持很高,而对出生头几周的患儿来说,因肺血管阻力不断下降,故肺循环血流量也将随之相应增加。
四、超声心动图表现
(一)二维超声心动图
二维超声心动图是目前诊断大动脉转位的首选方法,由于心血管造影仅能显示心脏诸结构的重叠影像,故一些患者即使已经做了心血管造影检查,仍需要行超声心动图检查,旨在明确诊断。根据大动脉转位的解剖学特点,二维超声心动图应按照van Praagh 的顺序诊断法进行检查,分别观察心房、心室和大动脉三个水平心脏诸结构的空间位置和连接关系。通常判断心房位置时多取肋下切面或剑突下切面,判断心室位置时多取心尖四腔心或胸骨旁左心室短轴切面,判断大动脉位置时多取胸骨旁大动脉水平短轴切面。在上述三个水平检查的基础上,再针对心内其他畸形,分别进行脉冲多普勒和彩色多普勒检查,以了解患者血流动力学改变的情况。
上海医科大学中山医院曾报道一组大动脉转位的超声心动图特征,他们认为在胸骨旁左心室长轴切面上,二维超声心动图可显示两根大动脉在心底部沿其纵轴方向呈前后平行排列关系(图10-4-3),前位的血管内径粗大,与前位的心室相连接;后位的血管内径较细小,与后位的心室相连接。其各自的半月瓣也常在同一高度上得以同时显现,这些表现与正常大动脉根部的超声心动图表现截然不同。

图10-4-3 完全型大动脉转位的胸骨旁左心室长轴切面
图A 为胸骨旁左心室长轴切面显示两根大动脉呈前后平行排列,前位的血管为主动脉,后位的血管为肺动脉,同时存在室间隔缺损;图B 为胸骨旁左心室长轴切面显示肺动脉瓣瓣下狭窄;图C 为正常人胸骨旁左心室长轴切面,其心脏的结构和方位截然不同(AO-主动脉 LA-左心房 LV-左心室PA-肺动脉 RV-右心室 VSD-室间隔缺损)
为了分辨主动脉和肺动脉,可进一步取胸骨旁左心室矢状切面,沿升主动脉向上追踪两根大动脉的走行,两根大动脉并行上升一段短距离后,后位的血管内径较细并首先分叉,此为肺动脉;而前位的血管内径较粗并继续向上行走,此时将探头方向指向脊柱左前方及左侧,即可显示它向后方弯曲,并弯成弓状,此为主动脉(图10-4-4),这种图像有时在剑突下右心室流出道长轴切面也能看到。根据以上这些特点可初步区别两根大动脉。
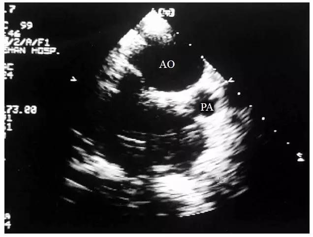
胸骨旁大动脉水平短轴切面能准确反映两根大动脉的空间位置关系,故可作为判断主动脉为左型转位抑或为右型转位的诊断根据。在此切面上,可见两根大动脉的根部同时被横切,呈现一前一后排列的两个圆形大血管横断图像,其外层表现为圆环状,内部为无回声管腔,正常情况时的肺动脉从左侧环绕主动脉半周而向上延续的交叉走行图像消失。若前位的主动脉位于后位的肺动脉的正前方或右前方为右型大动脉转位(图10-4-5);若前位的主动脉位于后位的肺动脉的左前方则为左型大动脉转位(图10-4-6)。
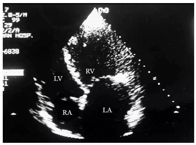
为了确定大动脉与心室的连接关系,首先应分辨左右心室。左心室和右心室主要根据房室瓣和肌小梁的特征来确定,即含三尖瓣的心室为右心室,含二尖瓣的心室为左心室(图10-4-7)。右心室的内膜面肌小梁较丰富,含有调节束,而左心室的内膜面较光滑,带有假腱索。一旦确定了心室的属性,再要确定大动脉与心室的连接关系就不难了。通常我们先取心尖四腔心切面,然后探头逐步向上跷起显示心尖五腔心切面,同时观察主动脉和肺动脉与心室的连接关系。由于肺动脉在后,主动脉在前,所以在探头上跷的过程中总是先出现肺动脉,然后才出现主动脉。如果两根大动脉与心室的连接不一致,即肺动脉与左心室相连,主动脉与右心室相连,即为大动脉转位,反之则为大动脉异位。
超声心动图技术在全面了解患者心脏大血管畸形的同时,还有利于进行手术前的治疗决策和手术后的系列随访。孙锟等对9例大动脉转位矫治术后存活的患儿进行了超声心动图随访,结果发现常规标准切面、剑突下额状切面、矢状切面、右斜切面及非标准胸骨旁长轴切面等切面结合起来综合判断,即可满意地显示大动脉转位矫治术后的心脏二维解剖特征。

图10-4-4 大动脉转位的胸骨旁左心室矢状切面
沿升主动脉向上追踪两根大动脉的走行,见前位较粗的血管向后方弯曲,并弯成弓状,此为主动脉(AO-主动脉 ARCH-主动脉弓 PA-肺动脉)

图10-4-5 右型大动脉转位的二维超声心动图表现
胸骨旁大动脉水平短轴切面显示主动脉(AO)位于肺动脉(PA)的右前方

图10-4-6 左型大动脉转位的二维超声心动图表现
胸骨旁大动脉水平短轴切面显示主动脉(AO)位于肺动脉(PA)的左前方

图10-4-7 大动脉转位心室左襻的二维超声心动图表现
心尖四腔心切面示右心室位于左侧,左心室位于右侧,三尖瓣隔叶的位置较二尖瓣低,右心室内可见调节束(LA-左心房 LV-左心室 RA-右心房 RV-右心室)
(二)多普勒超声心动图
彩色多普勒血流显像对本病合并症的诊断具有重要的作用,包括室间隔缺损、房间隔缺损和动脉导管未闭,尤其是动脉导管未闭,若无彩色多普勒血流显像和脉冲多普勒的帮助实难检出。彩色多普勒还有利于观察有无狭窄或反流病变,并可在彩色多普勒的指引下,将脉冲多普勒或连续多普勒取样容积置于反流或狭窄处,探测反流的时相和方向或估测狭窄瓣膜的狭窄程度。在显示房室瓣反流时,彩色多普勒血流显像有助于判断房室瓣反流是处于瓣膜的内段还是外段。
彩色多普勒血流显像对判断动脉的位置也有重要的意义,如在剑突下切面叠加彩色多普勒血流显像观察到红色的圆形结构并有搏动者为降主动脉,蓝色的椭圆形结构为下腔静脉。如果降主动脉位于第10胸椎的左侧、下腔静脉的右侧为心房正位;如果两条大血管位置相反则为心房反位。在大动脉转位矫治术后,彩色多普勒血流显像还有助于发现有无肺动脉吻合口狭窄。临床需要鉴别的疾病主要包括法洛四联症和右心室双出口等,但只要掌握大动脉转位的解剖特征和诊断原则,应用超声心动图进行鉴别诊断并不困难。