
(此处已添加圈子卡片,请到*今条头日**客户端查看)
“本文由孕育岛原创,欢迎个人转发和分享”
随着生活条件的提高,越来越多的零食出现在大家的视野中。
超市里琳琅满目的零食,是孩子们的最爱,每次去逛,总要装上半个购物车。

甜食可不背孩子蛀牙的“锅”
上周去超市的路上碰到七月妈妈,正好同路就一起走了,我们边逛边聊,到了零食区发现她没买多少零食,只拿了两个果冻。
我问七月妈妈:七月不吃零食吗?
她说:七月很少吃零食,她牙不太好,经常要看牙科医生。
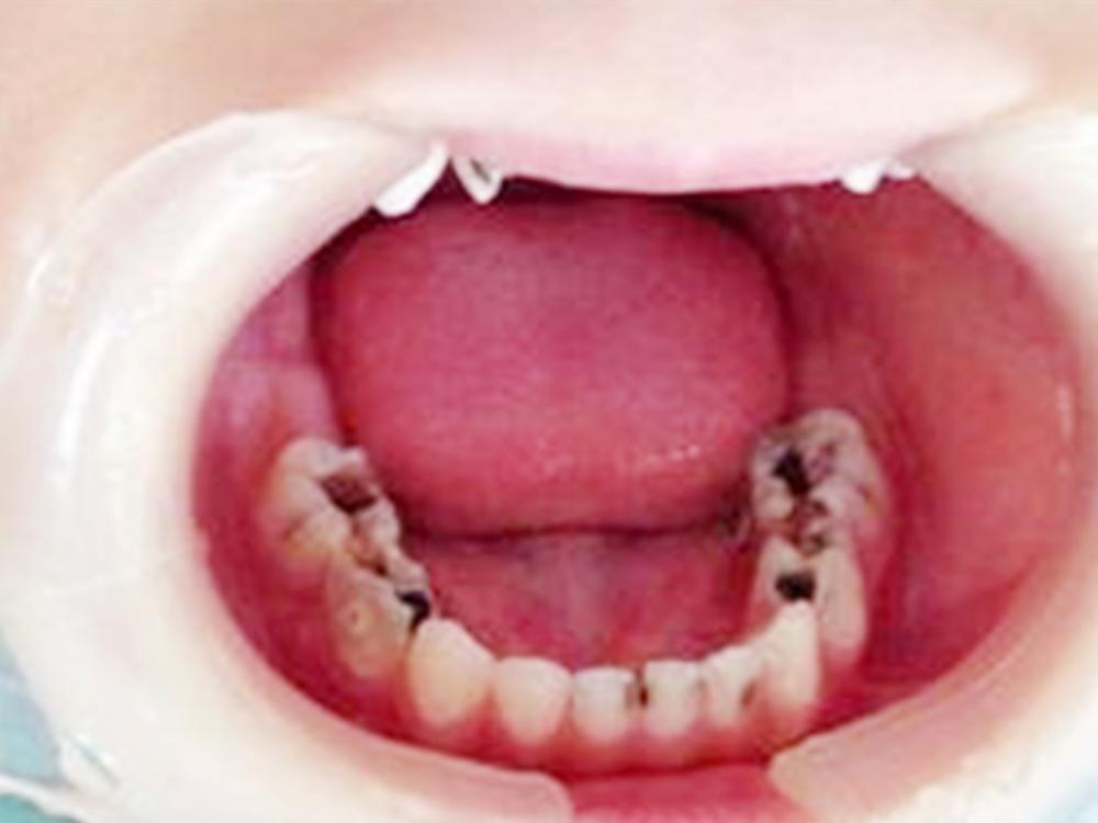
七月的牙确实不怎么好,年纪小小,但找不到一颗完好无损的牙。
与通俗认知相反的是,七月根本不爱吃甜食,甚至每次吃夹心饼干都会把糖心剩下。
七月妈妈倒是颇有种久病成医的感觉,把孩子蛀牙的原因说了个遍,我们不妨一起来了解一下。
孩子“满口蛀牙”的原因有很多,不一定是糖果,而是家长的坏习惯。


这些导致蛀牙的坏习惯要重视
1)食物卫生
很多家长,尤其是老人们,总存在一个坏习惯。孩子小时候不能吃块太大,太热的东西,她们就喜欢把食物吹凉或是直接嚼烂了喂给孩子。
但随着食物入口的同时,大人口腔中的细菌也跟着进去了,这才是导致孩子蛀牙的最大元凶。
小岛的叨叨:如果怕食物太热,可以放凉再给宝宝吃,太硬的食物就算喂给宝宝,他也不见得能消化,大块食物请直接切成小块或捣成泥状。
另外,也建议家长准备专业的剪刀,专门给宝宝剪食物用。孩子的餐具也要专用,不要和大人混用。
2)食物太黏
特别黏的食物容易残留在牙缝里,如果清理不及时会导致蛀牙。

比如汤圆,南瓜饼,粘糕等都属于粘性较强的食物,孩子不适合食用。
除此之外,过粘的食物还有一个缺点,不利于孩子消化,甚至可能粘在孩子狭窄的食道上,阻塞呼吸道。
3)卫生习惯不好
刷牙能帮助我们清除附着在牙齿上的食物残渣,护理口腔卫生以及去除细菌。
一些宝宝由于懒惰,没有养成这样的习惯,家长也不勤加督促。久而久之,脏东西一点点腐蚀牙齿,就会出现蛀牙。
小岛的叨叨:年龄较小的孩子不会刷牙,家长可以指导他吃完食物要漱口,早晚用手指牙刷来清洁牙齿。
等到宝宝长大一些,习惯也就顺利养成了,这期间父母的榜样作用对于宝宝习惯的坚持是至关重要的。
4)发现蛀牙没有及时治疗
牙与牙都是紧紧排列在一起的,一颗牙出现问题,势必会牵连其他牙齿。

当孩子出现蛀牙,牙缝被腐蚀时,会导致两颗牙同时坏掉。如果治疗及时,可能只是堵牙那么简单,但治疗不及时就可能需要治疗、种植假牙等。
别看牙齿表面没有太大变化,但内里已经在逐渐被侵蚀了,早发现早治疗。
小岛的叨叨:现在很多齿科医院都有窝沟封闭的项目,能有效避免宝宝塞牙,还有牙齿定期涂氟,建议大家带宝宝做一下。
有些家长说乳牙是会退掉的,等到换牙后再注意就没问题了。这种观点大错特错,牙齿不可能一夜之间同时换掉,之间会发生细菌传染等相互影响,所以乳牙的健康也一定要重视起来。
孕育岛,一个专业的孕产、育儿团队,青云计划获奖者。专为孕期大小事和婴幼儿护理提供知识储备,在怀孕或育儿期间遇到的任何疑惑,都可以通过私信咨询,得到满意的答复。