

牙冠又名牙套,是用于修复牙齿的一种方法,当牙齿损坏后且难于通过补牙的方式修复时,可用不同的材料制成人造牙冠,套在改小了的天然牙冠上。(百度百科)

牙冠大致可分为以上三种。
1、金属铸造冠(优点是备牙量小,便宜,缺点是颜色不好看)

*1、非贵金属合金铸冠:(镍铬合金、钛合金、钴铬合金等)此种金属铸冠最大的优点就是便宜,几百块一颗,缺点也很明显,颜色难看,金属异味,刺激牙龈,导致牙龈发炎黑线,影响头面部核磁共振。
如果真的是因为经济问题,只能承受这种便宜的金属铸冠,那么尽量选钴铬合金的铸冠,这种金属对牙龈刺激小,耐用。
*2、贵金属合金铸冠:(纯钛、金钯合金等) 金钯合金和纯钛铸冠生物相容性好,对牙龈组织的刺激性很小,而且金钯合金硬度较低,咬合时舒适度好,纯钛铸冠则不影响核磁共振。

如临床牙冠短,为了减少备牙量,或者其他只能选金属铸冠的前提下,纯钛铸造全冠是首选。纯钛铸冠有极佳的生物相容性,质量轻,且无磁性,对头面部核磁共振无影响。
2、金属烤瓷冠(在金属内冠上熔附饰瓷,优点便宜美观,缺点易崩瓷)

*1、普通金属烤瓷冠(镍铬合金、钛合金、钴铬合金)
由于镍铬金属很活跃,会在口腔唾液环境下释放出金属离子,一方面镍离子对全身健康有害,另一方面,也会造成局部牙龈的着色发炎,同时这种金属烤瓷冠外观发青,不美观。
牙科临床上的钛合金由于含钛量很少,可以忽略不计,所以钛合金就是个笑话,可以把这种金属等同于镍铬合金。
钴铬合金烤瓷冠就不多说了,刺激很小,耐用,价格亲民,性价比高。

*2、贵重金属烤瓷冠(金铂合金、金钯、银钯、纯钛等)

贵金属烤瓷牙的优点主要表现在:边缘密合性好,外表美观,硬度和真牙更接近。除此之外,这种瓷牙的色泽接近于天然牙,生物相容性好,不刺激牙周组织,既能恢复牙齿的咀嚼功能又有美容的效果(由于近年全瓷牙发展迅猛,贵金属烤瓷冠的使用量已经在逐年减少)。

(上图为贵金属烤瓷冠)
纯钛金属烤瓷冠其实也是金属烤瓷冠里一个不错的选择,不但美观,价格中位,纯钛有极佳的生物相容性,质量轻,且无磁性,对头面部核磁共振无影响。
2、全瓷冠(氧化锆、氧化铝、玻璃陶瓷):坚固、美观、无刺激、不影响核磁共振。

*氧化锆的强度极大、性质极其稳定,普通的加工方式很难进行制作,因此,目前加工氧化锆只能采用计算机辅助切削,也就是CAD/CAM

上图为整块的锆块,氧化锆全瓷牙都是由电脑辅助切削而成,美观,坚固,无刺激,不影响核磁共振。
*氧化铝/玻璃陶瓷 半透明性效果好,但是强度比较有限,对基牙要求高,要有完整的肩台和精细的印模,不然肩台边缘处易崩瓷,故一般适用与前牙。

全瓷牙里外都是瓷的,更美观。

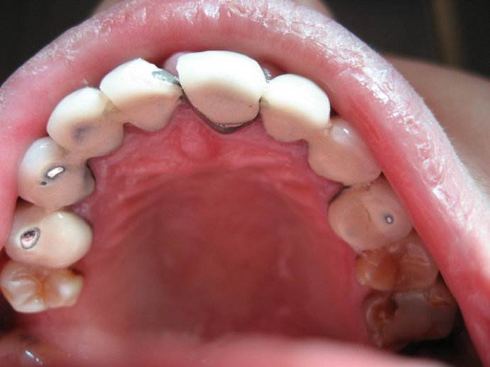
上图为金属烤瓷冠,腭(舌)侧可以看到金属加强带。

上图为金属烤瓷冠,用的时间久了,或者咬硬物,导致崩瓷,露出金属内冠。

看明白了么?觉得有用,记得收藏点赞,不懂的或者想问问题的可以私信我哦!留言,看到我会回复的。