一人瘫痪,全家“瘫痪”!
一人中风,全家“发疯”!
这不是顺口溜,这是实实在在发生在现实中的惨剧。
俗称“中风”的脑卒中已经是中国致死率和致残率第一的疾病!
要想避免成为“悲剧”
就要牢牢记得一个字!

但如果
错过了最佳治疗期呢?
杨叔叔左半边身体突然感觉无力,持续3个小时,到当地医院磁共振提示为脑梗死,右侧大脑中的动脉被血栓堵着了。
由于杨叔叔当时症状很快消失,医生考虑为慢性闭塞。
因为没有出现明显的神经功能缺失,所以医生建议,择期再进行DSA检查(血管造影检查)进一步了解血管情况。

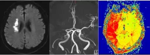
磁共振提示脑梗死,右侧大脑中动脉闭塞
5天后,杨叔叔的左半边肢体再次出现无力、麻木,嘴角都歪了。
这次,杨叔叔来到郑州市中心医院,复查核磁共振显示,他又出现的新的脑梗死区域
一系列检查显示,杨叔叔这次脑梗死比之前面积大,但存在可挽救的脑组织!
必须紧急进行急诊造影,并取出血栓!

磁共振提示大面积脑缺血,存在可挽救的脑组织
急性脑梗死是指脑血供突然中断后导致的脑组织缺血坏死。通常是供应脑部血液的动脉由于病变,出现了狭窄甚至闭塞,造成了局部的急性脑缺血;也可能是血栓沿血液循环进入脑动脉阻断了血流。

王海波
外周介入科负责人、副主任医师
外周介入科团队为杨叔叔进行了颅内动脉机械取栓术。
目前杨叔叔已经康复出院。

王海波
外周介入科负责人、副主任医师
脑梗死具有较高的致死致残率,对于脑梗死的治疗,传统的治疗方式主要为内科对症治疗,而近年来,支架取栓技术的应用明显提高了大血管闭塞性脑梗死患者的临床预后。
大血管闭塞导致的脑梗死支架取栓治疗,有明显的时间限制,但杨叔叔能在发病5天后仍取栓成功并取得较好的临床效果,说明对于超过时间窗的病人,经评估后,也有进行支架取栓治疗的机会。