手术、放疗、化疗, 一直是癌症治疗领域的“三剑客”。但其实, 对付恶性肿瘤还有其他办法, “一根针”也能“秒杀”肿瘤。对,你没听错,不开刀就能把肿瘤“消灭”,而且创伤小、出血少、恢复快。

查出乙肝不管不问,肝硬化9年发展到肝癌
20年前,50岁的王叔查出乙肝,但吃得好睡得好,肝区也没啥不舒服,也就没再检查过。
直到9年前,王叔突然感觉腹胀、浑身没劲,经检查,已经是肝硬化。
肝脏不知不觉“变坏”,这才引起王叔的重视,开始听医生的话,抗病毒、保肝治疗,定期复查肝功、乙肝病毒定量、B超等。
但不幸的是,王叔还是经历了“肝病三部曲”,去年3月,被确诊肝癌。
随后这1年多时间,王叔经历了腹腔镜手术切除、化疗栓塞术、射频消融术,以及靶向治疗,几乎把治疗肿瘤的手段都用上了,才勉强控制住病情。
转移瘤位置棘手,医生决定“冻死”肿瘤
前段时间,王叔总感觉身体很累,吃嘛嘛不香,晚上也睡不好。
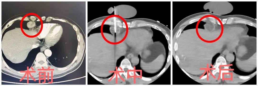
到医院一检查,原来是肿瘤复发,转移到了心膈角。
肿瘤位置十分棘手,紧贴着心包、膈肌、胸壁、肝包膜,这里通常被认为是射频和微波消融治疗的“禁区”。
经肝病科张伟主任和高风琴教授讨论后,决定为王叔选择不开刀也能“切除”肿瘤的治疗方法——氩氦刀冷冻消融术。
因为肿瘤临近心脏、膈肌等,对于主刀医生是很大的挑战。
穿刺时需要非常细心谨慎,若误穿心包、纵隔等,可能会损伤周围脏器,导致心包填塞、大出血等凶险并发症。

恢复快!微创手术+中医治疗
7月7日,张伟主任团队经过详细检查和综合评估,为王叔进行【 心膈角转移瘤氩氦冷冻消融术】 。
手术全程在CT扫描定位下进行,王叔也只需要局部麻醉。
张伟主任先采用“ 水力分离技术 ”,在肿瘤周围注入约100ml生理盐水,将肿瘤与心脏等组织分离开,这样可以减少对周围组织的损伤。

随后,张伟主任将冷冻消融针穿刺到心膈角病灶内,启动冷冻消融系统。
通过氩气, 短时间内产生-140度的超低温度 ,CT显示冰球基本覆盖病灶, 冷冻15分钟,再开通氦气复温(40℃)3分钟 。
经过2个治疗循环后,张伟主任继续调整消融针角度,扩大消融范围。
快速的冷热交替,在肿瘤局部产生冷冻消融,可以让肿瘤细胞破碎坏死,达到使肿瘤“凋亡”的目的。
历时3个小时,手术顺利结束。
术后第3天,复查CT显示,王叔心膈角病变“消失”,次日,王叔顺利出院。

▲图中圈红位置为肿瘤组织
住院期间,高风琴教授结合王叔病情, 给予中药疏肝健脾治疗。
术后,王叔精神、身体状态很快好转,食欲、睡眠也都恢复正常。
大兴医院肝病科 中西医相结合 , 利用 微创治疗的局部优势+中医的全身优势 ,有效 提高了肝癌患者生存率和生活质量。
氩氦刀冷冻消融术有哪些优势?
氩氦刀冷冻治疗术,对于早期的小肿瘤,冷冻治疗可作为手术的替代治疗。
对于晚期较大的肿瘤可作为姑息治疗,减轻患者症状,提高生活质量,延长生存时间。
经临床证实,冷冻消融术 可以有效地治疗肝癌、肺癌、乳腺癌、胰腺、甲状腺等实体肿瘤。
1、创伤小,恢复快、副作用小、只需局麻 :术后,患者身体上只留下个“针眼”; 氩氦刀冷冻治疗只对癌细胞起作用,不会对正常细胞组织造成伤害;患者只需局部麻醉,没有全身麻醉的限制和风险。
2、术中实时监控 :冷冻治疗过程中,降温加热的速度、时间,以及冰球的大小形状,都能进行精确的设置和控制。
3、效果显著 :超低温可以彻底摧毁肿瘤组织,能快速缓解癌症疼痛,延长患者生命周期。
4、适应证广 :不仅可以治疗体积较小的肿瘤,还能治疗直径大于5厘米的肿瘤,以及同一位置肿瘤数量较多的肿瘤。冷冻治疗也同样适用于无法手术切除肿瘤的患者。
5、远隔效应: 冷冻消融可使死亡的瘤细胞释放大量肿瘤相关抗原,增加机体产生特异性抗体,控制甚至缩小远处转移病灶。
6、可重复治疗 :氩氦刀冷冻疗法不会对正常细胞组织造成伤害,可以重复巩固,提高疗效。
来源:西安大兴医院