工作压力大
作息不规律
熬夜
酗酒
……
年轻人注意了
警惕高血压找上门!
35岁的关某,就职于广州某互联网公司,关某平时工作压力非常大,经常熬夜加班,生活作息不规律,而且他还很喜欢喝酒。
8月25日晚上,关某下班回家后,还没坐下就感到一阵剧烈头痛。“我看着他突然抱头直喊头痛。”关某的妻子想扶丈夫回房间休息,但此时关某已经出现左侧肢体无力的情况,想要正常行走都有点难。
这突然的症状让关太太担心不已,连夜陪关某到附近医院就医。影像检查提示右侧基底节区脑出血破入脑室。在医院经过保守治疗后,关某的头痛没有缓解,依旧反复。为寻求进一步治疗,27日,关某在家人陪同下来到了广东三九脑科医院。
我院神经外二科副主任林涛接诊发现患者呈嗜睡状态。检查发现患者高血压3级,结合影像检查,确诊为高血压性脑出血。
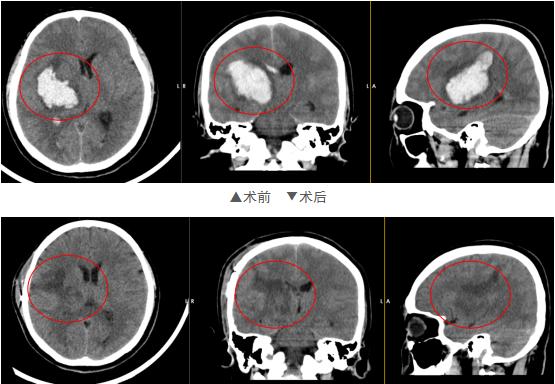
考虑到患者已经出现嗜睡状态,林涛团队急诊在全麻下行“内镜辅助下右侧基底节血肿清除”。术中依据导航准确定位血肿位置及进入方向,内镜引导下吸除血凝块约20ml,血性液体约10ml。清除血肿后,脑组织张力明显下降。

术前

术后

(术前及术后CT对比,提示血肿全清除)
住院治疗一段时间后,关某情况恢复得很快,生活能够自理。复查头颅CT提示原颅内血肿消失,胸部CT提示原吸入性肺炎明显改善。

林涛
副主任医师、神经外二科副主任
高血压性脑出血是高血压病最严重的并发症之一,常发生于50~70岁的男性。高血压病常导致脑底的小动脉发生病理性变化,突出的表现是在这些小动脉的管壁上发生玻璃样或纤维样变性和局灶性出血、缺血和坏死,削弱了血管壁的强度,出现局限性的扩张,并可形成微小动脉瘤。因情绪激动、过度脑力与体力劳动或其他因素引起血压剧烈升高,导致已病变的脑血管破裂出血所致。其中豆纹动脉破裂最为多见,其他依次为丘脑穿通动脉、丘脑膝状动脉和脉络丛后内动脉等。
照理说,关某年仅35岁,并不属于高血压脑出血常见发病年龄,却被诊断为高血压脑出血,其原因何在?
其实早在半年前,关某在体检时就查出高血压,收缩压最高达200mmHg,但他没有接受规范化治疗。此外,关某平常就缺乏休息及运动,经常熬夜、酗酒、高盐高脂饮食,生活极其不规律,导致血压骤然上升并加剧动脉硬化,最终引发血管破裂出血。
林涛提醒,现代年轻人,尤其喜欢熬夜的年轻人,务必要做到劳逸结合,保持合理饮食,适当加强体育锻炼,远离烟酒,定期体检,监控血脂、血糖及血压等。若被诊断为高血压,一定要遵循医嘱,坚持长期规范服药。“千万不要自认为年轻、身体好就放任不管。”