一例

患者:女性,50岁。
主诉:体检发现左乳肿物 3日。
专科查体:左乳外上象限触及一枚1.0cmx0.7cm大小肿物,质硬,表面欠光滑,边界欠清,活动度差。
既往史:无。
家族史:无乳腺癌家族史。

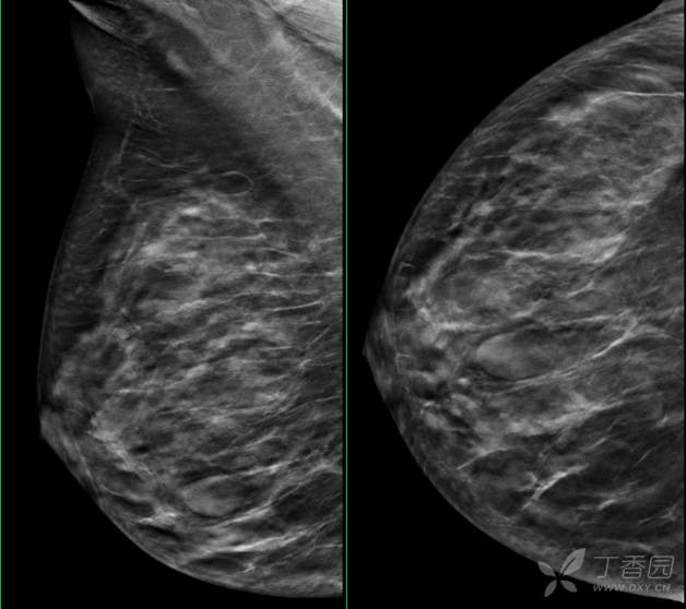
乳腺X线摄影

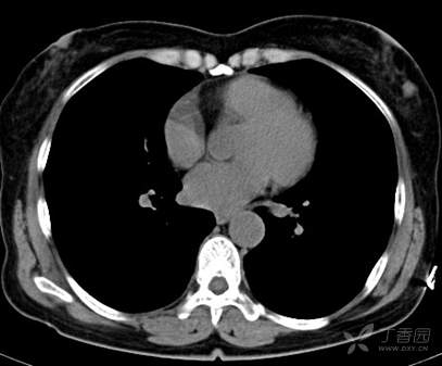
CT

超声

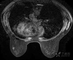
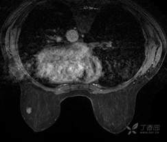
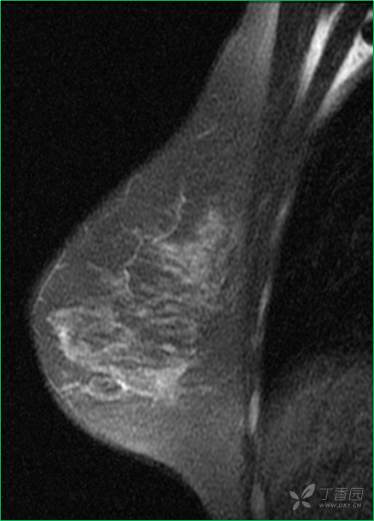
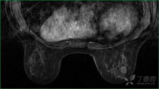
乳腺动态增强MRI 对比剂(钆布醇)
T2WI脂肪抑制序列

T1WI平扫脂肪抑制序列

DWI

T1WI增强早期

T1WI增强晚期

时间-信号强度曲线


浸润性导管癌

根据术前临床资料及综合影像学检查结果考虑左乳腺恶性肿瘤,无手术禁忌,有手术适应证。拟行左乳区段切除术/改良根治术。
术中完整切除肿物一枚,送术中病理回报:(左乳)上皮重度异型增生癌变。遂完整切除左乳房,彻底清除前、后、外淋巴结。
术后病理(左乳)浸润性导管癌(Ⅰ-Ⅱ级),部分伴神经内分泌特征的癌。
乳腺X线:左乳外上象限可见肿块,形态尚规则,边缘可见分叶,范围约12mm × 10mm。
超声:左侧乳腺2点钟方向距乳头约20.3mm腺体层内见大小约8×mm7mm低回声区,形态尚规则,边界尚清晰,内未见明显血流信号。弹性分极:4,弹性比值0.88。
乳腺MR:左乳外上象限见T2WI高信号肿块影,大小约12mm×10mm×13mm,肿块为卵圆形,边缘模糊不规则;内部强化略不均匀;TIC曲线初始相呈快速强化,延迟期呈平台型;DWI呈高信号,ADC值为 0.000698 mm2/s。
因肿块边缘不规则,内部强化不均匀, TIC曲线初始相呈快速强化,延迟期呈平台型;DWI呈高信号,ADC值较低,考虑左乳外上象限肿块恶性不除外,BIRADS 4类。

1. 乳腺纤维腺瘤:多见于年青女性,肿物光滑,活动佳,质地韧,可有分叶,部分可见粗大钙化。部分MRI可见低信号分隔,增强缓慢渐进均匀强化或由中心向外离心样强化。
2. 导管内乳头状瘤:多见于40~50岁的经产妇,临床上以乳头溢液为主要症状,多位于乳晕区大导管内,肿瘤大小常<1 cm。典型的导管内乳头状瘤表现为囊状扩张的导管内见突入腔内的边界较光整的结节样病灶,增强呈均匀性强化影。
3. 黏液腺癌:多表现为边界清晰且呈小分叶状边缘的肿块影,T2WI上黏液腺癌呈特征性的极高信号,这与含有大量的细胞外黏液有关;而动态增强扫描多由于肿瘤中心血供不丰富而不增强。

浸润性乳腺癌的发病率比较高,患者在早期并不会感到任何不适或者异样。当乳腺癌发展到中晚期,患者的乳房会有明显的肿块,乳头向内凹陷,皮肤的颜色会发生异常。小乳腺癌通常来说是指小于lcm的乳腺癌.因此对其诊断十分重要。正确的诊断能够根据患者的实际情况来选择有效的治疗方式,从而降低患者感受的痛楚,改善其预后。彩色多普勒超声很容易发现≤1 cm 病灶,但对不具典型特征的病灶周边及内部血流状况显示欠佳。MR联合超声、X线检查可提高诊断准确率,肿块多形态不规则,边缘不光滑,部分可见毛刺。MR增强信号多欠均匀。DWI信号不同程度增高,ADC值减低。TIC曲线多为Ⅱ、Ⅲ型。
二例

主诉:发现右乳肿物半年余
专科检查:右乳内下象限可及 1.4X0.8cm,质韧肿物,边界尚清,活动度佳。
家族史:无乳腺癌家族史
实验室检查:血常规及肿瘤标记物正常

乳腺超声检查

乳腺X线检查

乳腺动态增强MRI检查
T1WI脂肪抑制序列

T2WI脂肪抑制序列

病灶DWI成像呈等信号

乳腺动态增强MRI检查(钆布醇)
T1WI增强早期(第二时相,116s)

T1WI增强晚期(第八时相,364s)

病灶时间-信号强度曲线


纤维腺瘤

患者全麻后行乳腺区段切除术。
病理诊断:(右乳)纤维腺瘤,局灶导管上皮增生活跃,局灶大汗腺样化生。01: CK5/6 局部(+) , P63 (+), ER 局部(约 30-40%强弱不等+)
1、乳腺超声检查显示右侧乳腺中下象限大小约12.6×14.1×8.9mm低回声区,形态尚规则,边界尚清晰,周边见血流信号。BI-RADS 4A类。
2、乳腺X线检查显示右乳中下象限肿块,形态尚规则,部分边界清晰,范围约33mm*13mm。BI-RADS 3类。
3、乳腺MRI显示:右乳外下象限T2WI呈等信号病变影,大小约(14)mm×(10)mm×(15)mm,肿块为卵圆形,边缘模糊;内部强化不均匀,边缘环形强化为主;TIC曲线初始相呈缓慢强化,延迟期呈持续型;DWI呈等信号显示不清。BI-RADS 4类。
诊断意见及建议:超声、X线检查及乳腺MR检查提示,右乳外下象限肿块,呈等密度,边界清楚,形态规则,周边见血流,DWI呈等信号,以上征象皆提示肿块为良性,纤维腺瘤可能性大。

1、大导管乳头状瘤:发病年龄较大,病灶常位于乳头或附近,常有乳头溢液等临床症状,乳腺X线检查中密度较纤维腺瘤高。
2、乳腺囊肿:多发表现为较高密度肿块,边界清楚,周围也常出现“晕征”,与纤维腺瘤不易区分,但是囊肿临床触诊较软韧,囊壁钙化多成蛋壳样钙化,而纤维腺瘤的钙化多成粗颗粒状。
3、乳腺瘤样增生:乳腺腺瘤样增生表现为圆形、卵圆形肿块,于腺体相连,无明确分界,密度略低于纤维腺瘤,密度欠均匀,二者不易鉴别,最终诊断依靠组织病理学。

概述:
乳腺纤维腺瘤是女性最常见的良性肿瘤,占乳腺良性肿瘤性病变的 75% 。可发生于各年龄段,以年轻女性好发。纤维腺瘤的发生与乳腺局部组织对于雌激素反应过强有关。
乳腺纤维腺瘤临床表现通常为偶然发现的乳腺肿块,多不伴疼痛及其他不适,少数为轻度疼痛,常在月经期明显。纤维腺瘤可见于一侧或双侧,也可多发。直径为8~10cm病灶称为巨大纤维腺瘤,多见于青少年。
影像学表现:
乳腺超声检查:多为类圆形、呈膨胀性生长的低回声结节,内部回声均匀,边界清晰,有包膜,病灶后部回声正常或增加,偶可见团块状强回声钙化,彩色多普勒显示肿块内无血流或少量血流。
乳腺X线检查:以单纯肿块和肿块伴钙化为主要征象,以等腺体密度的边缘清晰的肿块常见,表现为边缘光滑“透明晕”的圆形或椭圆等腺体密度的肿块或结节,可伴钙化或单以钙化为主。
乳腺MR 检查:纤维腺瘤磁共振表现与其组织成分有关。平扫TIWI呈等或低信号。边界清楚或呈微分叶。T2WI信号强度因肿瘤内细胞成分、水分及纤维成分的多少而呈高、中等或低信号。增强后TIC曲线通常为缓慢强化,延迟期为渐进型。
病理:纤维腺瘤由乳腺小叶内上皮细胞及间充质细胞膨胀增殖而形成。其中乳腺上皮成分(腺上皮及肌上皮)呈正常的双上皮结构。发生于间质的钙化表现为粗大钙化,发生于上皮组织的钙化表现为点状、多形性或珊瑚状。
治疗:乳腺良性肿瘤主要的治疗方式是手术切除。传统手术切除影响美观,乳腺纤维腺瘤的微创治疗成为发展趋势和研究热点, 主要包括真空辅助乳腺微创旋切术(麦默通)和物理消融技术。物理消融技术包括冷冻消融和热消融,后者根据物理能量的来源可分为射频消融(radiofrequency ablation,RFA)、高强度聚焦超声消融(high intensity focused ultrasound,HIFU)、 激 光 消 融 (laserablation,LA)和微波消融(microwave ablation,MWA)。