妇科诊室,40岁的李女士穿着时尚,面容姣好,却满脸愁云,“医生,我最近两天清洗下面的时候,发现里面长了一个东西,这能是什么呢?”
“您先别着急,我一会儿给您做个检查就知道了。”我微笑着看着她,示意她坐下慢慢说。

仔细询问病史,李女士平素月经规律,5~7/28~30天,末次月经2020年9月11日。经量正常,无痛经。既往健康。
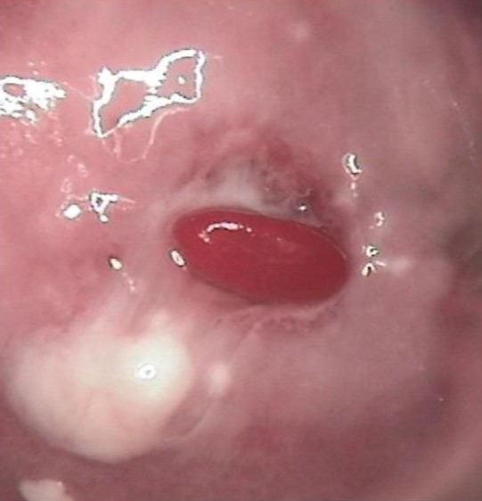
妇科检查:外阴发育正常,已婚已产型,阴.道通畅,白色分泌物,少量,无异味。宫颈前位,居中,宫颈口见一个大小约1.2cm*0.8cm赘生物,红色,质软,表面光滑。子宫前位,正常大小,无压痛。双侧附件区未触及异常,无压痛。

“您现在宫颈上长了一个小息肉,需要息肉摘除术,术后将切除的息肉送病理组织学检查,但是手术前需要做一下癌前筛查,也就是检查液基薄层细胞(TCT)和人乳头瘤病毒(HPV),如果检查无异常才能行息肉摘除术。手术应在月经干净后3~7天进行。您现在应该检查TCT和HPV,等下次月经干净后3~7天再行息肉摘除术。”她满意地点点头。

那么,什么是宫颈息肉呢?
宫颈息肉是宫颈管粘膜增生形成的局部突起病灶,息肉常有蒂自基底部向宫颈外口突出。
宫颈息肉病因不清,可能与局部的慢性炎症刺激有关。
宫颈息肉常发生于40~60岁的多产妇女。息肉为一个或多个不等,直径一般约1cm,色红,呈舌形,表面光滑,或分叶状,质软而脆,易出血,蒂细长。根部多附着于宫颈外口,少数在宫颈管壁。
宫颈息肉极少恶变,恶变率<1%,但应注意子宫恶性肿瘤可呈息肉样突出于宫颈口,应注意鉴别。

宫颈息肉应该如何治疗呢?
发现宫颈息肉应行息肉摘除术,术后将切除的息肉送病理组织学检查。但是术前应该做癌前筛查,也就是检查TCT和HPV,结果正常后才能行息肉摘除术。摘除术应选择月经干净后3~7天进行。
那么,如何预防宫颈息肉呢?
(1)积极治疗生殖道的慢性炎症。
(2)注意*生活性**卫生。
(3)定期做妇科检查,及早发现宫颈息肉。
关注医师红英,了解更多实用健康知识,有健康问题欢迎留言咨询!
#寻找真知派# #真相来了#