(文中含手术标本展示,阅读请注意)
手术病例分享:


前言: 胸部CT检查发现磨玻璃结节,有些是炎性、有些是纤维增生性质,也有许多持续在的话,则容易是肿瘤范畴的。但磨玻璃为表现,结果是肺内淋巴结的好像并不多见。近日有位结友手术的,因为主病灶是考虑浸润性腺癌的,至少微浸润性腺癌,因为病灶同叶另有一磨玻璃结节,术*考前**虑可能是不典型增生,顺便也切掉了,结果病理报告是淋巴组织增生。我们回顾分析下。
基本病史:

影像展示与分析:
非薄层图像:

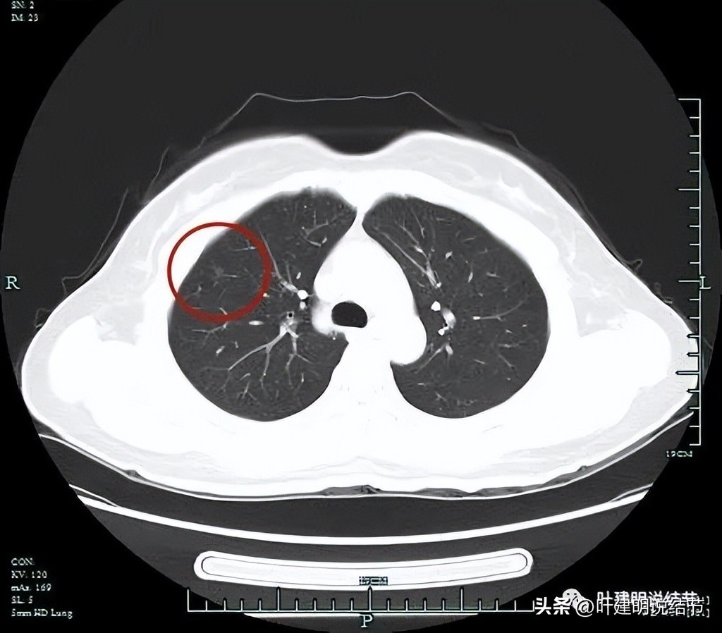
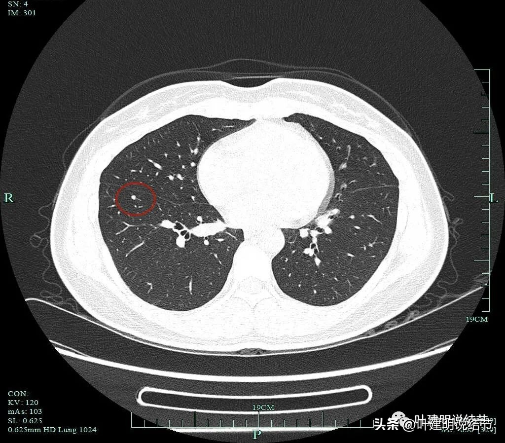
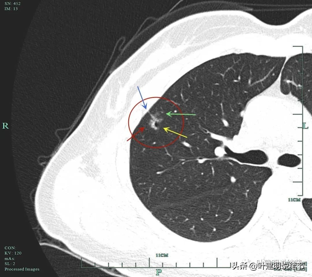
病灶1:右上叶淡磨玻璃结节,边缘较糊,似有微小血管走向病灶。

病灶2:右上叶混合磨玻璃结节,边缘毛糙,中间有空泡征,邻近有微小血管走向病灶。

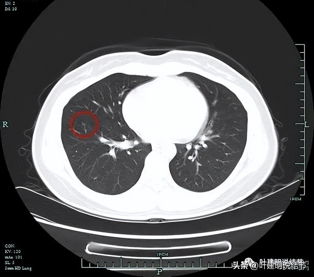
病灶3:右下叶近叶裂处微小磨玻璃结节,偏长条状,有微血管进入。
薄层影像:

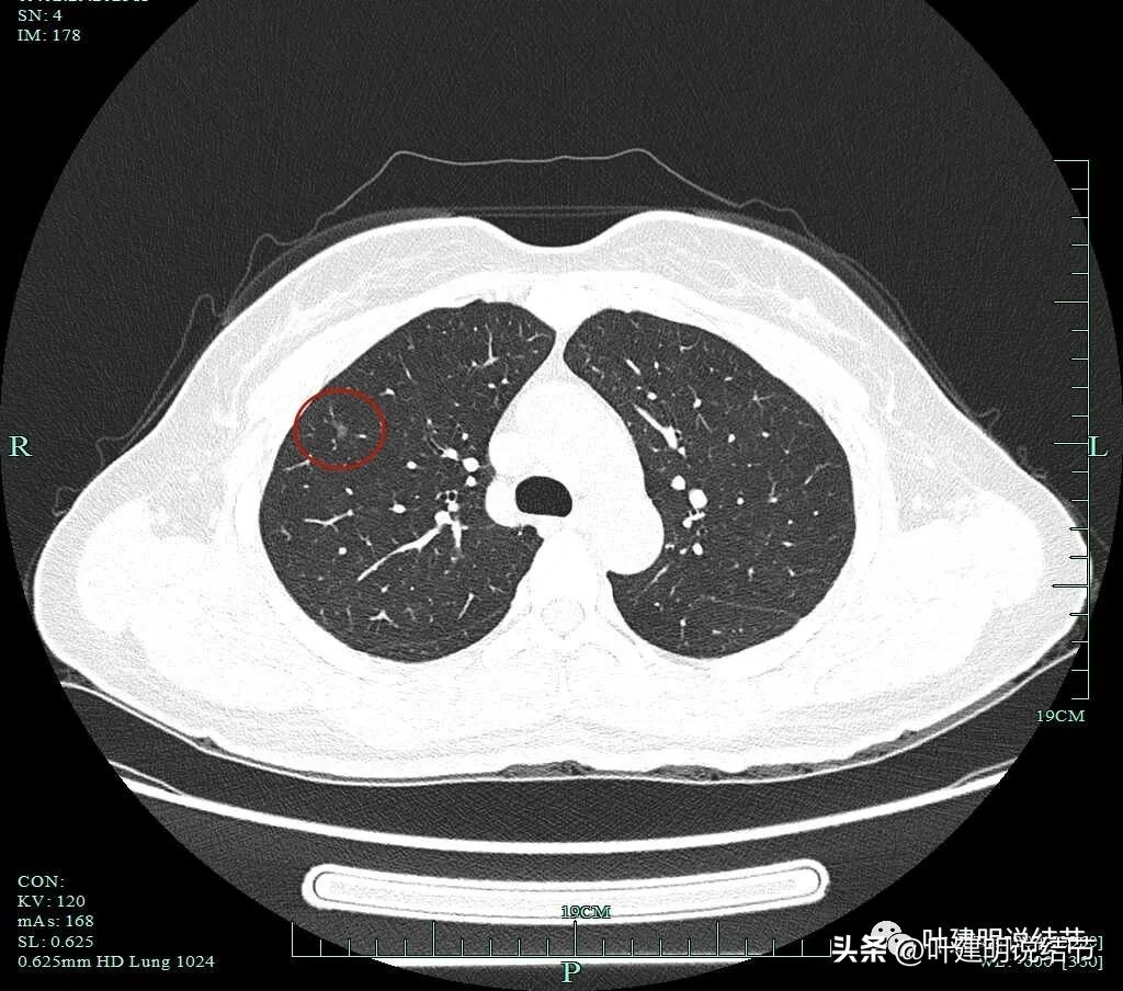
薄层见病灶1轮廓较清,边缘似乎有少许细毛刺,考虑不典型增生可能性较大,但近期风险低,能随访。

薄层见病灶2有胸膜牵拉、空泡征以及瘤肺边界清,表面有轻微分叶,灶内有实性成分,考虑恶性的,浸润性腺癌可能性大,至少微浸润性腺癌。需要尽早手术治疗为宜。

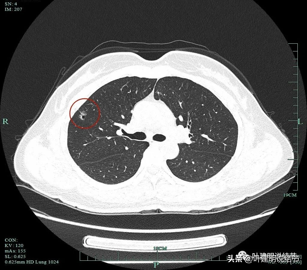
薄层见病灶3其实是实性的,而且非常光滑,密度过高,考虑肺内淋巴结或纤维增生结节可能性大。
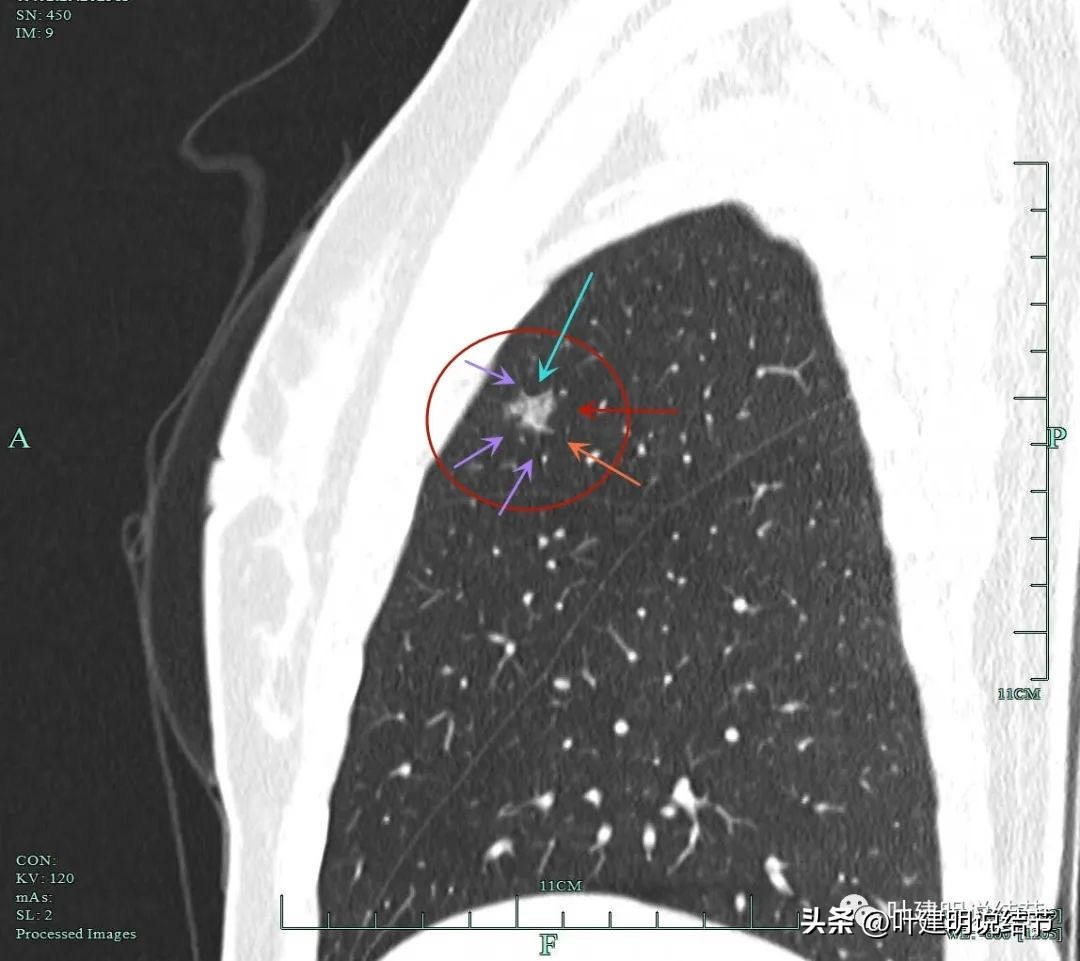
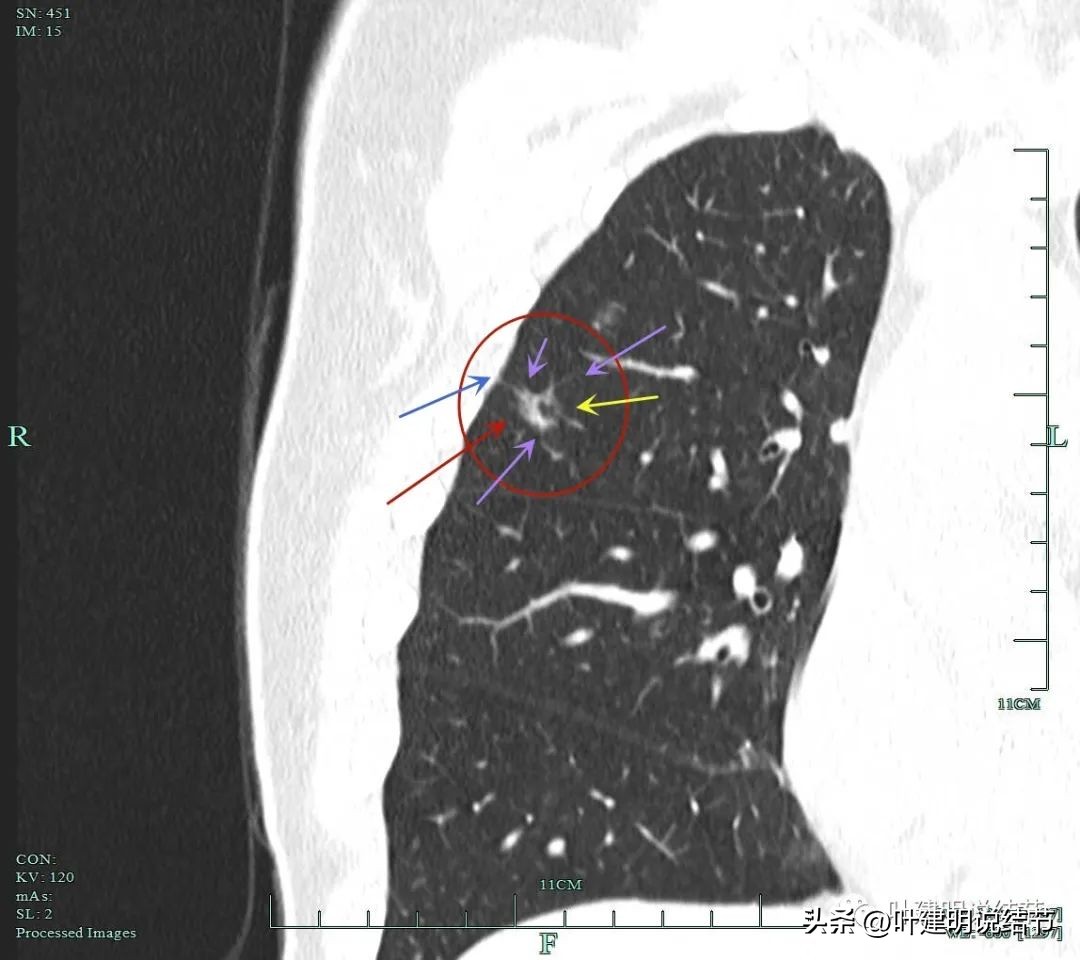
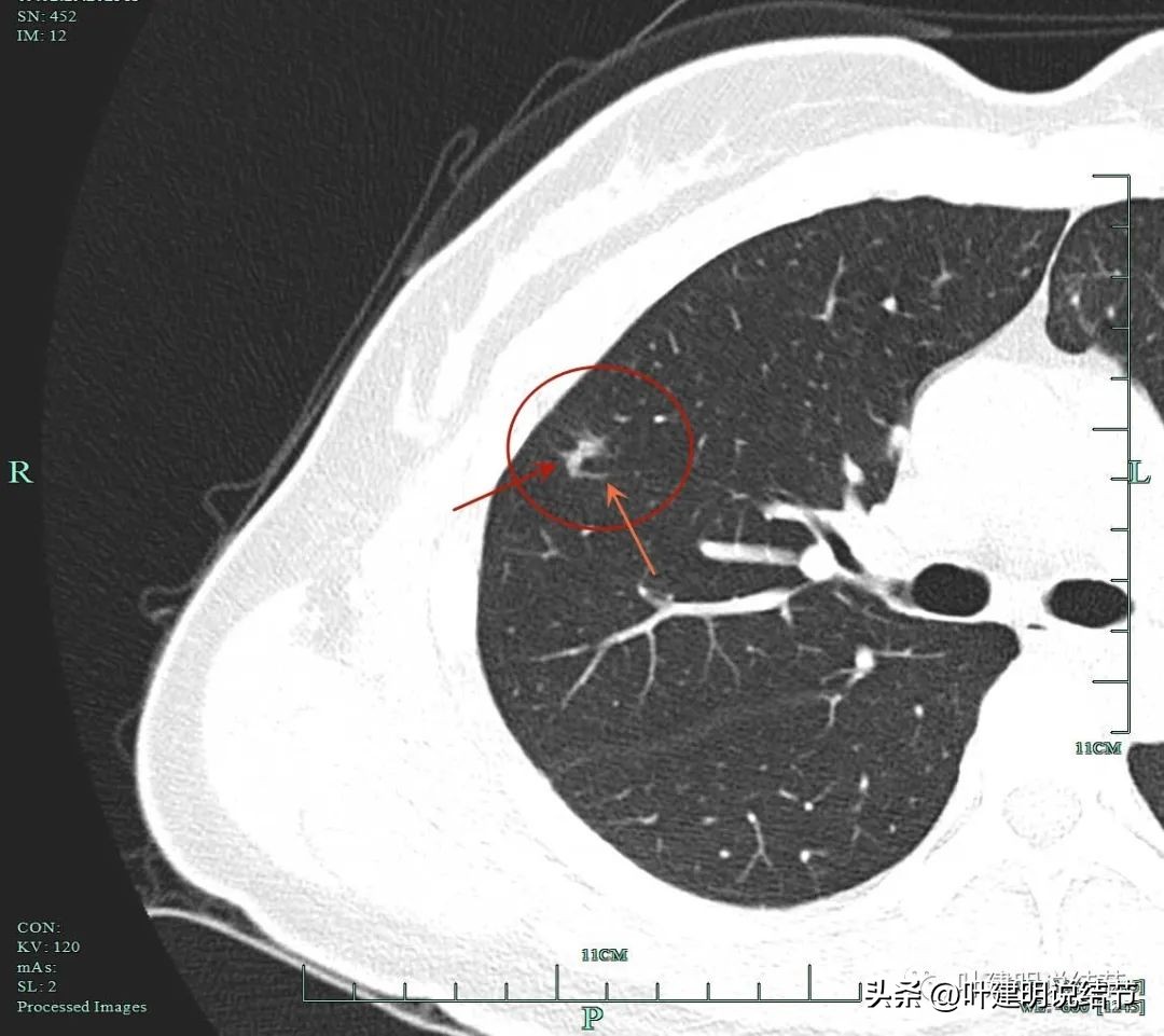
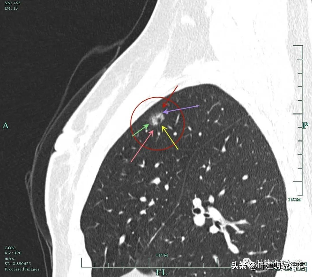
主病灶靶扫描重建影像:

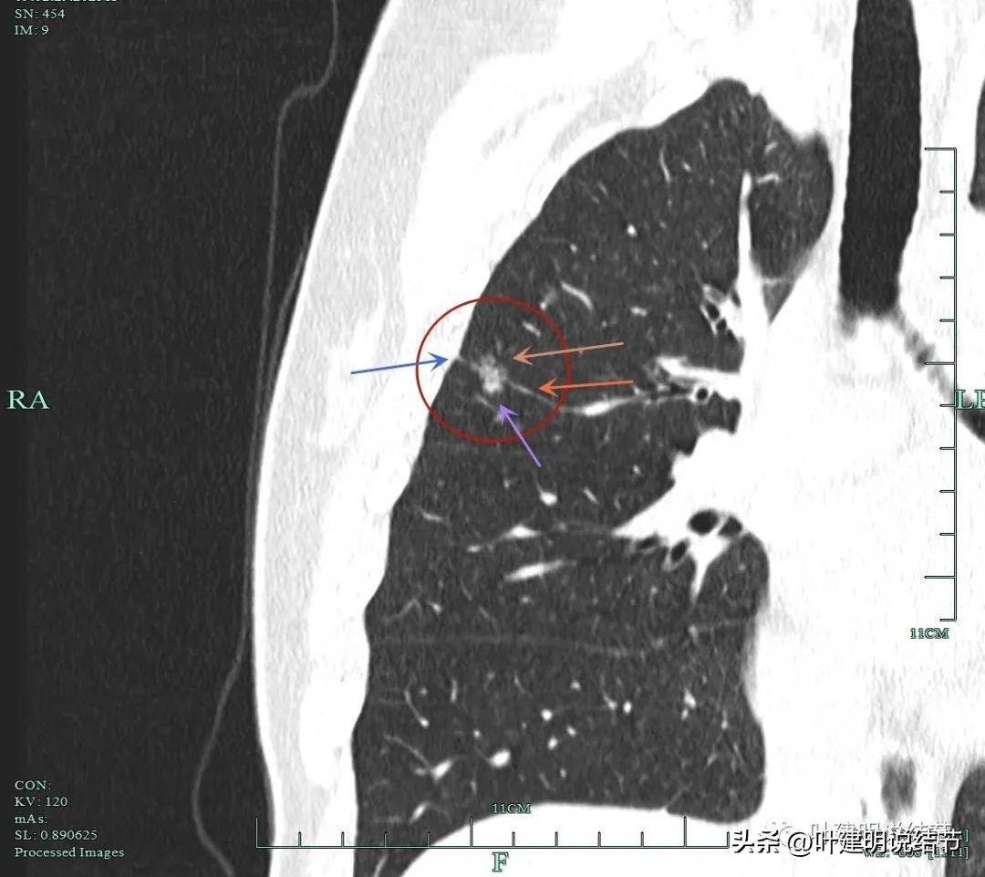
蓝色箭头示月牙铲征;紫色箭头示毛刺或棘突征;桔色箭头示有血管进入并穿行与异常增粗;红色箭头示病灶轮廓与瘤肺边界清楚。

黄色箭头示病灶处有空腔征;粉色箭头示病灶内有实性成分;紫色箭头示毛刺征;绿色箭头示磨玻璃成分轮廓清,有毛刺。

砖色箭头示病灶有分叶征;蓝色箭头示胸膜牵拉;紫色箭头示毛刺征;红色箭头示整体轮廓与瘤肺边界清。总体上看病灶有收缩力、有分叶与毛刺,而且灶内密度不均。是较为典型的浸润性腺癌影像表现。

病灶毛刺、边界、空泡、胸膜牵拉等征象。

上图见病灶有明显血管弯征以及血管走向病灶并进入。

病灶外形不规则,有收缩力与血管走向病灶。

密度不均、空泡征、磨玻璃成分、胸膜牵拉以及整体轮廓清。

病灶与胸壁间感觉像阻塞性炎性,或肿瘤延伸向胸膜侧(密度显得有点低)。

连续区有多支血管走行。

病灶混合磨玻璃密度,轮廓与边界清,毛刺明显,灶内密度杂乱,部分边缘毛刺明显。

血管进入、密度不均杂乱、表现不平、胸膜牵拉影响、灶内实性成分。
影像印象:
病灶1是纯磨玻璃密度,轮廓较清,有微血管走向病灶,考虑不典型增生可能性大些;病灶2是典型的恶性影像特征的,集齐毛刺征、月牙铲征、血管弯征、血管征、胸膜牵拉征、浅分叶征以及混合密度,灶内密度杂乱不均,并有空腔征,灶内血管也有异常增粗,基本上要考虑浸润性腺癌的,部分为贴壁型,至少是微浸润性腺癌;病灶3虽然非薄层时看也像磨玻璃密度,但薄层显示为实性微小结节,边缘非常光滑,良性的可能性大。
临床决策:
1、病灶2恶性,且已经有风险,宜尽早手术切除。由于总体上仍较小,在2厘米以内,并磨玻璃成分占比多于实性,应该是含贴壁成分而不含高危亚型的可能性为大。如果机械性考虑,则先局部楔形切除,恶性再行肺叶切除加淋巴结清扫也可以考虑;病灶位置在后段与前段交界处附近,如果考虑肺段切除,也是可行的,但切除范围虽比肺叶少,但比楔形多;如果考虑肺楔形切除,若加上淋巴结采样活检,鉴于磨玻璃密度为主,存在肺内淋巴结转移的概率低,也是可以考虑的。当然如果做得复查点,联合亚段切除也行,但若事实上淋巴结没有问题,切缘阴性,治疗效果与楔形切除没有差别;
2、病灶1考虑不典型增生可能性大,如果只有此灶,还不需要手术干预能随访。但反正病灶2要处理,则病灶1应该顺带切除活检以明确,同时也是达到治疗作用。定位后楔形切除足矣!放在几年前,或有些同道也可能会想,上叶两处病灶,而且主病灶浸润性考虑,直接切除上叶更加省事,也更具根治性手术的概念,况且年轻能耐受肺叶切除。但我们讨论后的想法是:当病灶事实上存在转移了的概率非常低时,肺外周部位的病灶能楔形切除的应该尽量选择楔形切除,这不单只是手术简单有效,更主要的是保留更多肺组织,维护更好肺功能,把对机体的创伤降到最低,并以后再检出磨玻璃结节肺癌的处理留下足够的空间与机会;
3、病灶3因为薄层上显示密度高,而且边缘非常光滑,更符合良性。进胸后如果从叶裂侧能见到异常,则一并切了活检,如果见不到,按解剖位置切除范围较大,那则不划算的,宁愿先随访,真万一有进展再来考虑干预(这种可能性很小)。
最后结果:
经过与结友的充分沟通,并告知不同术式的利弊、切除几个病灶的相关不同,最终选择了“单孔胸腔镜下右上叶部分切除(2处,病灶1与病灶)加淋巴结采样术”,病灶3按我们讨论意见视术能否从叶裂侧见到决定切或不切。病灶1与病灶2术前定位。

上图示病灶1的定位,红色箭头示病灶1,绿色箭头示定位医用胶。


上两图示病灶2的定位:红色箭头示病灶2,绿色箭头示医用胶。层厚1.25毫米,两者相差5层,也就是说上下相差6.25毫米,术中见到医用胶后,病灶在其下方6.25毫米。

主病灶(病灶2)剖面灰白,质硬,有向周围肺组织浸润性生长的样子。

次病灶(病灶1):切面灰白,质偏硬,也像肿瘤范畴的。

术中冰冻切片报:主病灶微浸润性腺癌,次病灶为淋巴结组织增生。
术后常规病理结果报:主病灶微浸润性腺癌,紧贴脏层胸膜但未见累及,断端切缘阴性;另一病灶为淋巴结组织增生。第4组淋巴结1枚、第7组淋巴结1枚、第8组淋巴结1枚、第10组淋巴结1枚,均未见癌转移。
感悟:
影像的判断再怎么细致分辨仍有不准确的时候,无法替代病理诊断。病灶2明显是磨玻璃密度,而且有微小血管走向病灶,切下来也是切面灰白质硬,肉眼看与既往的原位癌或不典型增生也是相似难以区分的,但病理报告不管冰冻切片或常规均示为淋巴结组织增生。这提醒我们对于肺磨玻璃结节要不要手术干预,除了影像考虑恶性可能性大以外,仍要看风险大不大。如果风险还不大,真不必一定尽早手术的。当然此例如果没有病灶2,我们也不会针对病灶1进行手术切除,但结友们能不能耐得住?有些外科同道们手痒不痒?仍建议切除的估计也大有人在。我们今天的这例分享虽然更多篇幅用于病灶2的影像分析,但最主要的目的却是想 通过顺带切除的这个病灶1,它不是恶性的,来说明肺磨玻璃结节的多样性,以及纯磨玻璃结节手术并不着急性 ,希望能对结友们有益。

(此处已添加医疗卡片,请到*今条头日**客户端查看)