前段时间前不久朋友跟我聊起她家小朋友的蛀牙,发来一张幼儿园体检的图片,结果发现班里超过一半的孩子都有蛀牙,而且一蛀就是4颗,8颗💔

在朋友聚会时曾遇见过一个四五岁的小姑娘,全口乳牙都蛀到黑色、缺失,惨不忍睹。据说是奶奶爷爷担心孩子不喝水,每天都用炒白糖泡水给她喝,并且一直不刷牙。在澳洲看了牙医,需要全麻治疗,父母不舍得,坚持要等换牙。那个漂亮的小姑娘和那口“烂牙”,一直是我的噩梦。
小酒的牙齿也蛀了一颗⚡️。七月的初时候,我一发现赶紧约了牙医。当时还只是小白点和一处很不明显的蛀点,牙医建议坚持刷牙和用护牙素。
回到家里每天都认真刷牙、用牙线、抹护牙素,但是蛀牙还是继续发展了……
孩子的牙齿一旦蛀了,好比牙齿受了伤,很难控制住不继续发展,因为导致蛀牙的饮食因素和生活习惯也很难一下子根断。
关于小白点和护牙素:孩子牙齿上的小白点是怎么回事?
最近我和队友洁牙的日期到了,顺便又带两个孩子看了牙医。这次牙医检查酒酒的牙齿后,认为可以补了。希望补上后,可以让小牙齿健康用到换牙。
最近也有朋友问我,小舒,妞妞母乳&夜奶到两岁,有长蛀牙吗?

正好借此机会跟大家聊聊,蛀牙和哪些因素有关?我们需要为奶睡&夜奶担惊受怕吗?
蛀牙,学名龋齿,几乎算得上各个年龄层最普遍的健康问题了。蛀牙的风险因素有很多,包括遗传和先天牙齿发育的因素。但要形成蛀牙,至少需要具备这三个条件:牙齿、食物和细菌。
牙齿
孩子出牙以前,没有牙齿,自然也就不会有蛀牙。
不过,一旦第一颗牙齿萌出了,就需要开始帮孩子刷牙。
美国牙科协会、澳洲牙科协会、香港卫生署等还建议,在孩子出牙前,可以用干净的湿纱布帮他们清洁口腔。这样做或许可以让宝宝养成习惯,减少日后对刷牙的抗拒。

细菌和食物
我们口腔中存在着许多细菌,这些细菌与食物残渣、口水共同作用,形成牙菌斑。
牙菌斑算得上引起蛀牙的根本问题,它们堆积在牙齿表面,其中的细菌以我们吃进去的食物为食,特别是含糖高的食物,比如甜食和淀粉类食物(如面包、土豆、米饭等等)。
吃过东西大概5分钟后,细菌一边吃着我们的食物,一边开始制造酸,而这些酸会攻击牙齿表面的牙釉质、分解其中的矿物质。牙釉质虽然是人体最坚硬的部分,但对酸的抵抗能力却很弱。
随着牙釉质被侵蚀,牙齿开始发生脱矿、软化,进而出现蛀洞。
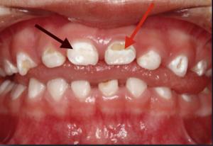
其中,牙齿脱矿的过程就是牙釉质中钙离子减少的过程,这时牙齿表面就会出现类似白色粉笔颜色的白斑,成为了龋齿的开端。因此家长也可以经常张开孩子的嘴唇,检查是否有蛀牙早期的白斑。

黑色箭头指出的是牙齿轻微地脱釉,
而红色箭头指出的就是蛀牙了。
图片来源:carifree.com
要避免婴幼儿蛀牙,父母的角色很重要。
研究发现,孩子不是天生就有引起蛀牙的细菌(主要是变异链球菌),而是往往在很小的时候,被家里大人传染的。
除了避免与孩子共用餐具、避免将大人的口水传给孩子,我们还需要积极治疗蛀牙、养成良好的口腔卫生习惯。如果大人有蛀牙而没有治疗,口腔内便有较多的细菌,更为容易把细菌传给孩子。
经常吃零食,以及习惯含着奶瓶睡觉(奶瓶中装的是白水除外)的孩子,都比较容易发生龋齿。比如,当孩子含着装有牛奶的奶瓶睡觉时,牛奶会在孩子的口腔里停留很久,而这正是细菌非常喜欢的环境。

不可否认,母乳中也有很多天然糖分,而且喝母乳的孩子很容易喝着奶就睡着了,所以有家长担心,哺乳尤其夜间哺乳,是否也会影响孩子的口腔健康?
2015年和2017年发表的两项关于母乳喂养与蛀牙风险的系统评价发现,一岁以下的孩子,母乳喂养时间越长,蛀牙的风险越低。但是,如果母乳喂养时间超过12个月,蛀牙的风险就会增加。不过,值得注意的是,这些研究结果并没有同时考虑社会经济地位和甜食/含糖饮料对蛀牙风险的影响。
今年发表的一项研究就发现,母乳喂养时间超过12个月并不会增加孩子患龋齿的风险。而且研究还显示,与幼儿龋齿发生有关的两个因素正是低社会经济地位与甜食/含糖饮料的高摄入量。
事实上,一些研究者认为母乳喂养也许可以保护幼儿的牙齿免于蛀牙困扰。比如人类乳汁中含有的抗体可以减缓变异链球菌的生长速度,乳铁蛋白可以抑制牙菌斑生长。
另外,亲喂与瓶喂的吸吮方式有很大的区别。瓶喂时,奶首先进入孩子的口腔前部,会在牙齿周围形成水洼,而且当孩子含着奶瓶睡着以后,奶瓶里的奶会继续少量的漏到孩子的口腔里,这对保护牙齿十分不利。
但亲喂时,宝宝其实是需要含住妈妈的乳晕,将乳头至于口腔深处,软腭处,乳汁其实是直接进入喉咙,然后就被吞咽了。孩子睡着以后,除非继续主动吸吮,母乳乳汁也几乎不会再进入孩子口腔。哪怕主动吮吸,乳汁也很少接触牙齿。

还有一个意思的现象是,对史前时代儿童牙齿的考古研究表明,那时候的孩子几乎没有蛀牙。可以合理推论的是,那些幸存到了儿童期的孩子应该是长时间接受了母乳喂养(其他食物和资源十分有限),并且也接受了夜间哺乳。这似乎也可以从侧面印证:母乳喂养和夜间亲喂不会增加幼儿蛀牙的风险。
总之,为孩子提供健康饮食,限制含糖食物和饮料,远比纠结是否可以奶睡更为重要。
奶睡本身是母乳喂养不可避免的事,因为婴儿喝奶时又累又放松,很容易睡着。夜间哺乳对于很多妈妈来说,虽然辛苦,但是不夜奶,可能会发现比夜奶更辛苦……
如果妈妈想要断夜奶,甚至断奶,当然可以尝试这样做,但是,真的没有必要,因为防蛀(或宝宝发育)而担惊受怕,莫名受累。
正确刷牙和使用牙线
频繁地进食,特别是高糖饮食,而没有及时、有效地清洁口腔,口腔内有害菌利用食物代谢产生酸素,唾液不能有效地中和过多的酸素,就容易引起蛀牙。而正确刷牙和使用牙线是保持口腔清洁的重要方式。

每天刷几次牙?
两次
刷牙次数过多或刷牙太用力,会损伤牙齿及牙龈组织,建议每天不要超过3次。
美国牙科协会建议,每天早、晚用含氟牙膏刷牙两次,每次两分钟。研究表明,刷牙时间不足两分钟是口腔卫生不好的主要原因之一。
此外,每天至少正确使用牙线一次。牙线可以清除牙缝间的食物残渣,还能刮除牙齿侧面的牙菌斑,这是刷牙没有办法处理的。美国牙科协会指出,当孩子有两颗牙齿接触到一起时,家长就应该每天用牙线帮孩子清洁牙齿。
酒酒的蛀牙就是长在两颗门牙正中间,后来每天用牙线的时候,我都会刻意拉一下蛀洞那里。

两颗上门牙中间,有一个小小的蛀洞
使用含氟牙膏
有很强的证据支持牙膏中添加氟能够有效地保护牙齿,预防蛀牙。也有有限的研究发现,给低于6岁的孩子用含氟牙膏可以有效地预防蛀牙。并且,要达到有效的保护,牙膏中的氟浓度不能过低。而许多儿童无氟牙膏的广告宣传强化了氟的风险,造成了误导,使得很多父母对氟感到害怕,不敢给孩子用含氟牙膏。

英美建议一开始就用含氟牙膏(非低氟);澳洲建议从18个月开始用儿童低氟牙膏。小舒建议,如果孩子蛀牙风险高(比如家人蛀牙,夜间喝奶频繁,饮食搭配不够健康)就从一开始刷牙就用全氟牙膏。不建议选择无氟牙膏。
牙膏应该用多少?
如果买的是全氟牙膏(含氟量在1000以上),在3岁前用米粒大小,3-6使用豌豆大;如果是低氟牙膏(500ppm),18个月到5岁用豌豆大小。

米粒大小

豌豆大小
注意,不要买无氟牙膏。因为它不能很好地保护牙齿。
另外,所有牙膏都可以吞咽,但最最重要的是,牙膏的量不要过量!
关于牙膏的选择:防龋靠氟,其他成分随缘吧(17款儿童牙膏清洁效果对比)
用什么牙刷?

查阅的权威机构对于儿童牙刷建议都很统一,建议选择小刷头的,软毛的牙刷。
至于选手动还是电动牙刷,都可以,因为缺乏针对儿童牙刷的对比研究,并没有明确的相关建议,可以根据家庭经济情况和个人喜好选择。
美国牙科协会建议:
手动牙刷和电动牙刷都可以有效地清洁牙齿。儿童可能会觉得电动牙刷更有趣,一些因为特殊原因操作手动牙刷不方便的人士可能也会觉得电动牙刷更容易用,或者使用起来更舒适。
美国梅奥诊所:
你有可能可以用手动牙刷有效地清洁牙齿,但是,电动牙刷会是一个非常好的选择,尤其是你患有关节炎或其他疾患让你难以好好刷牙时。电动牙刷的刷毛震动甚至有可能帮你去除更多的牙菌斑,改善你的牙龈健康。
西澳洲政府:
如果刷牙的方法正确的话,大多数人都可以通过手动牙刷保持很好的口腔卫生。电动牙刷也是一个选择。对于没有很好地手部灵活性的人来说,电动牙刷或许可以增加刷牙的意愿。
“孩子的牙应该由大人来刷”
如果孩子感兴趣学习刷牙,你可以让孩子自己刷牙,但是在你确保孩子能够有效地刷牙前,你都需要帮助和监督孩子刷牙,通常他们在7岁后才能够很好地完成刷牙。

美国牙科协会建议:
帮孩子刷牙至7岁,并在孩子10岁前,都需要家长监督刷牙。
澳洲的建议:
应该鼓励孩子自己刷牙,但是,在他们7、8岁前,他们并不具备用牙刷有效地刷牙的技能。在你孩子能够用牙刷前,你帮孩子每天早晚两次刷牙非常重要。
香港卫生署:
由于孩子的手部肌肉尚在发育中,刷牙的技巧还未能完全掌握,为了确保孩子的牙齿能够刷得干净,家长需要每晚帮他补刷一次。
具体应该如何帮孩子刷牙呢?
首先,家长需要掌握正确的刷牙方法。改良巴氏刷牙法,巴氏刷牙法和冯尼氏法(划圈刷)都是目前被推荐得最多的刷牙方法。
改良巴氏刷牙法可能是最能有效清洁牙菌斑的刷牙方法。
改良巴氏刷牙法是在按照巴氏刷牙法,45度刷过牙龈沟后,用刷毛把牙齿都从牙龈沟处往牙齿的咬合方向扫一遍(即每当刷完2、3颗牙的牙龈沟后,再上牙往下,下牙往上扫一遍)。

冯尼氏刷牙法(划圈刷牙法),不是最有效的刷牙方法,但是简单易学,可以按摩牙龈,清洁牙龈上的菌斑,避免伤害牙龈,比较适合用于儿童。

牙菌斑最容易从牙龈沟处开始出现,而不是牙齿咬合处。所以从牙龈沟处开始刷,然后划小圈,把牙菌斑从牙龈沟带走,牙刷在舌侧可以水平前后运动。

帮孩子刷牙的姿势
帮孩子刷牙的推荐姿势是:让孩子背朝你躺在你腿上,脸朝上。这是帮她刷牙的最好姿势,这样你可以看清楚孩子的牙齿,方便操作。

也可以让孩子躺在床上或者沙发上,你处在他头顶的方向,从后面帮她刷;当孩子大一点,你们还可以站在镜子前,你站在孩子身后,帮助孩子刷。

重点是,选择你们认为舒服的姿势,并且你一定要能看见孩子的牙齿。
很多小朋友都喜欢抢牙刷,想要自己刷。可以试着让孩子刷一遍,妈妈刷一遍。小朋友刷的时候可以提醒他,把每个区域的牙齿都刷到。

小酒每次刷完都要说:终于轮到你刷了~ 假装大恐龙,把牙齿露出来给我刷。
偶尔也会抗拒,我会硬刷,速战速决,刷完再安抚。
定期看牙医很重要

口腔健康除了依赖正确的卫生常识和良好的刷牙习惯,也要让口腔科医生定期进行仔细的检查。
美国儿科协会指出,一旦孩子萌出了第一颗牙齿,就是时候安排牙科检查了。他们的推荐是,在第一颗牙齿长出的6个月内进行第一次牙科检查,并且这个时间不要晚于孩子的一岁生日。之后每半年看一次牙医,或者根据牙医的建议。
做口腔检查后,牙医可能会建议给孩子定期涂氟。涂氟是指将氟化物涂抹在牙齿表面,使氟能在牙齿表面维持较长一段时间,让牙齿氟化,增加牙齿对酸的抵抗力,降低牙齿龋坏的可能性。
至于多久涂一次,美国儿科学会的建议是一年2~4次,具体频率视孩子患龋齿的风险高低而定。
除了涂氟,窝沟封闭是帮助孩子对抗龋齿的另一个有效方法。磨牙的咬合面上有窝沟,这些窝沟点隙处不易清洁,容易患龋。窝沟封闭即将封闭材料涂布在牙齿的窝沟点隙表面,固化变硬后形成保护屏障,大大减少龋坏的可能性。它不会伤害或破坏牙齿组织,是十分安全的、无痛的常规口腔预防保健项目。
值得注意的是,涂氟和窝沟封闭都只是辅助手段,是保护牙齿计划中的一小部分,只有搭配“含氟牙膏正确刷牙、每天使用牙线、定期接受牙齿检查、健康饮食”才能给牙齿提供最全面的保护。
祝愿每个孩子都能拥有一口健康的牙齿,绽放珍珠般的闪亮笑容😁😁😁
预告 :齿科保险下周一会在服务号“小舒的阳光铺”返团,小朋友涂氟、洗牙、窝沟封闭、防蛀、乳牙拔除、换牙干预、龋齿填充;成年人洗牙、拔智齿、根管治疗、牙齿美白、种牙等等,在全国大部分城市都可以用, 别错过哟。
参考文献:
1. American Dental Association, Dental Care Tips for Mom and Baby, http://www.ada.org/en/~/media/MouthHealthy/Files/Alliance%20Prenatal%20Materials/Handout_English
2. Australian Breastfeeding Association, Breastfeeding and tooth decay, https://www.breastfeeding.asn.au/bfinfo/breastfeeding-and-tooth-decay
3. Tham R, Bowatte G, Dharmage SC, et al 2015, Breastfeeding and the risk of dental caries: a systematic review and meta-analysis. Acta Paediatr 104(467):62–84.
4. Cui L, Li X, Tian Y, et al 2017, Breastfeeding and early childhood caries: a meta-analysis of observational studies. Asia Pac J Clin Nutr 26(5):867–880.
5. Devenish G, Mukhtar A, Begley A, Spencer AJ, Thomson WM, Ha D, Do L, Scott JA 2020, Early childhood feeding practices and dental caries among Australian preschoolers. Am J Clin Nutr 111(4):821–828.
6. Healthychildren.org, Fluoride Varnish: What parents need to know? https://www.healthychildren.org/English/healthy-living/oral-health/Pages/Fluoride-Varnish-What-Parents-Need-to-Know.aspx
- END -
如果喜欢,请转发分享:)
本文部分图片来源于网络。
未经允许,请勿转载到其他公众号,
请在评论留言获取内容授权。

关注“夏天的陈小舒”,
回复以下关键字,就可以看到对应的推送啦
回复【怀孕】备孕知识、孕期疼痛、孕期营养、孕期美容 等;
回复【哺乳】开奶、母乳不足怎么办、母乳成分、哺乳期用药 等;
回复【奶粉】配方奶知识及奶瓶喂养;
回复【乳腺炎】涨奶、母乳过多怎么办以及如何挤奶喂养;
回复【湿疹】了解婴儿湿疹;
回复【生病】关于感冒、打鼾、发烧、咳嗽、便秘等幼儿常见病;
回复【睡觉】婴儿睡眠知识综述、新生儿睡眠安全等;
回复【头型】如何塑造宝宝的漂亮头型;