每次在做义诊或给患者做科普时,总会提到一个共同的话题,那就是刷牙,有些人说再多,也不会去按你说的去做,我只想告诫大家的是,且刷切珍惜,之所以这么说,我来举个例子,大家就会明白了。

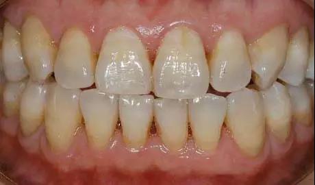
新闻报道杭州的一位姑娘,自创刷牙法坚持了十多年,成功的刷坏了22颗牙,这样的悲剧可不是因为姑娘对日常的口腔清洁疏忽,恰恰相反的事,这个毛病是自己一手刷出来的,从十几岁矫正牙齿后,她特别注意口腔清洁,为了不让自己有一口整齐的黄牙,就养成了“好好刷牙、用力刷牙”的习惯,每天至少刷两遍,每次持续5分钟,在这十几年的坚持不懈的努力下,她的牙齿终于给刷坏了。因为姑娘刷牙时太用力,牙本质都给刷没了,临床上,叫做“楔状缺损”。

楔状缺损
什么是楔状缺损?
楔状缺损是牙齿颈部经过缓慢消耗而形成的缺损,呈“V”状,由于它外形酷似木匠用的楔子,因此称为“楔状缺损”。

造成楔状缺损的原因
1、不正确的刷牙方式
长期横向刷牙或用过硬牙刷、刷牙过猛都会导致牙颈部磨损。临床上看,牙颈部楔状缺损更多是位于上下颌正中牙齿分别往后数第三、四颗,这些牙处于牙列拐角处,因此刷牙时受到的力也是最大的。

2、牙颈部组织薄弱
牙齿也有薄弱部位,就是牙颈部,这个地方的牙釉质覆盖最少,因此牙龈也容易发生炎症或萎缩导致牙体暴露,所以耐磨能力最差。

3、挤压作用
在刷牙时,面颊部肌肉对牙刷存在挤压作用,这种挤压使牙刷对牙齿的摩擦力更大,加剧了横刷牙方式对牙颈部突出部分的磨损。

4、酸的作用
牙龈沟液中的酸性物质与楔状缺损有关,这就解释了龈缘根方发生缺损的原因。胃炎患者、常反酸者牙齿也易发生楔状缺损。

5、细菌作用
有人认为产酸菌在牙颈部菌斑中形成大量的酸,导致牙齿脱矿,强度降低的牙体组织在外力作用下易产生楔状缺损。

楔状缺损该如何治疗?
症状较轻者:对于组织缺损较少且无酸痛症状者,局部不需要特殊处理。但要避免横刷,并选用较软的牙刷和磨料较细的牙膏。

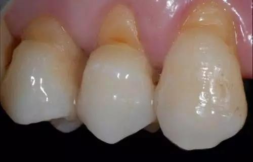
缺损较重者:可选用与牙齿颜色近似又有一定粘接性的复合树脂或玻璃离子粘固粉等将楔状缺损补好,以防继续发展。
重度缺损者:重度缺损而引起牙髓炎、根尖炎的患者,要及时进行治疗。楔状缺损不是太复杂的病症,治疗及时就能减少因牙病和掉牙带来的痛苦。
治疗方法:
修复牙齿楔形缺损最常用的方法是补牙,通过采用树脂等专门的补牙材料对坑洞进行填充,从而恢复正常的牙齿形态。



除了补牙之外,针对牙齿楔形缺损特别是前牙牙齿缺损,还可以采用牙齿贴面的方法解决。

瓷贴面修复楔缺对牙龈伤害极小,不含有任何金属成分,由模仿天然牙的材料制成,结合光学性能的特点,显得非常自然逼真。瓷贴面不仅美观性极佳,和树脂贴面、渗透树脂相比,材质也十分稳定,不会像树脂类那样老化变色。就像你的陶瓷杯子,有茶渍咖啡渍了,清洗一下又恢复如新。
楔状缺损可以预防吗?
治疗楔缺的方法有的是,但是大家还是要注意预防啊。选择软硬适度的牙刷,配合正确的刷牙方式预防楔状缺损。刷牙方式预防楔状缺损。刷牙时不要过分用力,以免损伤牙龈。