
渗透性脱髓鞘综合征(Osmotic demyelination syndrome,ODS),包括脑桥中央髓鞘溶解症(central pontine myelinolysis,CPM)和脑桥外髓鞘溶解症(extrapontine myelinolysis,EPM),以及混合型。
Singh, T. D. 等报道的系统综述显示:依据影像标准,CPM 占 50%,EPM 占 12.8%,混合型占 31.1%[1]。近期我科就遇到 2 例患者。
血钠 107,纠正后意识障碍逐渐加重至浅昏迷
卞**,男,44 岁, 因「乏力、纳差乏力 1 周,意识不清 1 天」入院。
患者急诊入院血 Na:107 mmol/L,Cl:66 mmol/L,1 天后积极补钠,血 Na 复查:130 mmol/L,当天晚上患者即出现烦躁、谵妄,后意识障碍逐渐加重至浅昏迷。
既往有「高血压病」病史,否认饮酒、毒物接触、手术及遗传疾病史。入院后完善一般血液指标无异常,完善风湿、免疫相关抗体、感染性疾病筛查等特殊指标无异常。
头颅 MR 检查结果如下图(从左-右):T1 像:双侧豆状核、壳核稍低信号,T2 像:双侧豆状核、壳核稍高信号,DWI 像: 双侧豆状核、壳核稍高信号。

头颅 CTA 未见异常。
该患者最终诊断为:EPM,经积极治疗,患者 3 月后恢复良好,生活自理。
血钠 117.2,纠正后言语不清伴双上肢麻木
巫**,女,29 岁,因「咯血 1 周,言语不清伴双上肢麻木感 1 天」由外院转入我院神经内科。
外院病史特点:患者咯血约 100 ml,后予垂体后叶素收缩血管,止血治疗,患者 7 月 30 日血钠:117.2 mmol/L,7 月 31 日予积极补钠后升至 138.2 mmol/L,后患者第二天出现言语欠清,双手指端、上肢麻木等症状。既往体健,否认饮酒、毒物接触、手术及遗传疾病史。
入院后我院完善一般血液指标无异常,完善风湿、免疫相关抗体、感染性疾病筛查等特殊指标无异常。
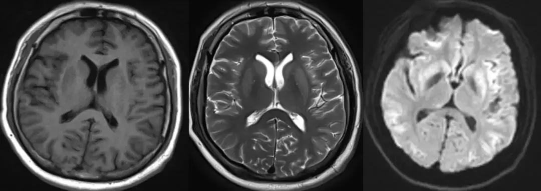
头颅 MR 检查结果如下图(由左-右),T1 像:双侧豆状核、壳核低信号,T2 像:双侧豆状核、壳核高信号,DWI 像: 双侧豆状核、壳核高信号。

目前诊断为:EPM,目前患者病情未进一步加重,正在随访中。
渗透性脱髓鞘综合征
ODS 最初是在 1959 年在慢性酗酒及营养不良的患者中被报道 [2],表现为非感染的脑桥中央髓鞘溶解。
后来研究发现基底节区、脑白质、海马、外侧膝状体等脑桥外区域同样可发生髓鞘溶解 [3],可孤立存在,也可和脑桥髓鞘溶解混合存在。
低钠血症的快速纠正是 ODS 最常见的诱因,我院近期的 2 例患者均存在此情况。
一项瑞典的 ODS 国家登记研究发现 [4],ODS 入院时血清钠 86.7% 的患者中位值 104 mmol/L,导致低钠的原因为多因素:药物因素(56.9%),烦渴多饮(31.9%)以及呕吐或腹泻(41.7%)。
如何规范纠正严重的低钠血症?
为避免 ODS 的出现,临床上遇到严重的低钠血症,如何规范纠正?
严重低钠血症的定义
2014 年欧洲低钠血症临床实践指南指出
重度低钠血症是指:血钠水平<125 mmol/L, 且发生时间<48 h 易发生严重症状,如脑水肿,出现恶心呕吐、意识障碍、呼吸窘迫,甚至癫痫发作、昏迷等。
该指南给予了详细的低钠血症的诊断流程 [5],参照下图一进行识别。

严重低钠血症的治疗
该指南对严重低钠血症的治疗进行的详细的说明,具体总结如下:
第 1 h 推荐立即静脉输注 3% 高渗盐水 150 ml(20 min 以上),后复查血钠浓度,在第 2 个 20 min 重复静脉输注 3% 高渗盐水 150 ml,建议重复以上治疗 2 次,或直到达到血钠浓度增加 5 mmol/L。
1 h 后血钠水平升高>5 mmol/L, 推荐停止输注高渗盐水,可输注 0.9% 盐水且对因治疗。
需要重点指出的是第一个 24 h 限制血钠升高超过 10 mmol/L, 随后每 24 h 血钠升高<8 mmol/L, 直到血钠达到 130 mmol/L。
总之对于严重低钠血症,为避免脑水肿的出现,需要高渗盐水紧急纠正,同时要根据以上标准,把握时间节点及时复查血钠,掌握升高幅度,避免 ODS 的发生。
ODS 的治疗及预后
ODS 临床表现多样,可轻可重,甚至时有癫痫发作、意识障碍等,治疗无特异*药性**物,主要包括激素、营养神经及对症支持治疗。
临床医生需要对 ODS 的预后有明确的认识。
Singh TD 对 307 例影像确诊的 ODS 临床预后进行研究 [1],发现约 51.9% 的患者预后良好,近 1/4 患者可以得到功能的完全恢复。同时也发现肝移植后并发 ODS 的致残和致死率较高,达 77.4%。
Spasovski G 等 83 例的 ODS 登记研究发现,约 60.2% 的患者得到有效的功能康复(mRS ≤ 2 分),仅有 7.2% 的患者出现死亡 [4]。
由此给我们临床医生一重要启示,对于 ODS 患者约半数的预后相对较好,即使是严重的神经功能缺损的患者,也应积极的治疗。