作者:耳鼻咽喉头颈外科副主任医师谢冰斌
何谓耳硬化症?标准的定义是这样的:耳硬化症是内耳骨迷路之密质骨出现灶性疏松导致镫骨底板的活动受限为病理特征,临床上表现为传导性聋的一种中耳疾病。若非专业人士,读完这个定义,可能仍然不明白何为耳硬化症。我们不妨先了解一下听骨链,特别是镫骨在我们听到声音的过程中是如何工作的。
正常情况下,镫骨底板的周围与前庭窗之间有一个环形弹性纤维(即:环状韧带)环绕着镫骨底板,在声波的作用下镫骨可产生类似“活塞式运动”。耳硬化症患者的问题主要就是出在了镫骨底板,由于镫骨底板因“硬化”而活动受限或固定,那么这种“活塞式运动”就会受限或者减弱,声波的振动无法有效传入耳蜗,我们的听力就会受到影响了。这个过程是声波的传导过程,所以我们把这个过程出现问题导致的听力减退叫传导性聋。
临床表现
1、耳聋:双侧耳或单耳渐进性听力减退。初为传导性聋,后期可发展为混合性聋
2、耳鸣:约20-80%的患者伴有耳鸣。多为低频性、持续性或间歇性,后期可出现高频性耳鸣
3、韦氏误听现象:患者在一般环境中分辨语音困难,在嘈杂环境中听辨能力反而提高
4、眩晕:少数患者在头部活动时出现短暂的轻度眩晕
从以上描述不难看出,这一类患者的听力减退往往时间比较长,然后慢慢地,越来越感觉听不清楚。对于多数患者,仔细追问病史时,都能够得出这个信息。
临床诊断
主要通过患者的临床表现、查体、听力学检查、影像学检查等得出。
治疗
1、助听器补偿听力:盒式助听器、耳背式助听器、耳内式助听器、耳道式助听器、深耳道式助听器,还有骨锚式助听器(BAHA)。
2、 手术治疗:手术适应征为耳硬化症气导听力损伤30dB以上。气骨导差距15dB以上,言语频率气骨导差<40dB;双耳硬化症,两侧骨导相等时选气导较差一侧先手术;两耳气导损失相等时选骨导较好一侧先手术;双耳骨气导均相等时选耳鸣重、半规管功能低下侧先手术;无中耳炎。
常用镫骨假体为Pistion。
真实案例
临床资料:患者男性,37岁,双侧耳渐进性听力减退10余年,伴耳鸣,无眩晕。

耳内镜检查
双侧外耳道通畅,鼓膜完整,标志清楚
耳硬化症患者一般外耳道比较宽敞,鼓膜完整,部分患者可以看到位于鼓膜后上象限的SchwArtze征(透红征),为鼓岬区粘膜充血的表现反映,提示耳硬化症处于活动期。

纯音听阈检查:双侧耳混合性聋
耳硬化症患者的听力学检查结果多表现传导性聋,听力曲线以低频下降为主,中期曲线平坦,骨导曲线可见Carhart切迹(即2KHz处骨导阈值升高),晚期可为混合性聋。盖莱试验(Gelle Test)阴性;声阻抗测听法显示声顺值降低,鼓室图曲线呈As型,镫骨肌反射消失。

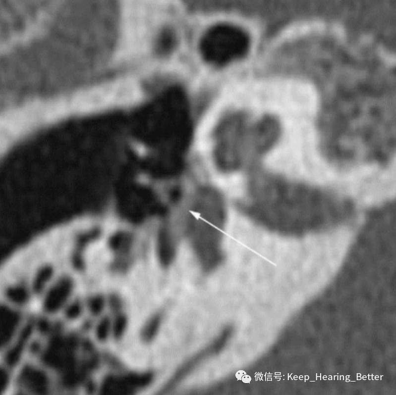
影像学检查一般选择颞骨薄层CT扫描,早期可无明显影像学阳性表现,如上图所示为此案例左耳CT影像表现。
典型案例CT可见骨质疏松的双环征(如下图椭圆标记)、卵圆窗附近硬化灶(如下图箭头)等。



治疗:手术,即人工镫骨(Piston)植入术

患者左耳人工镫骨植入术后18个月复查听力结果
专家简介

谢冰斌
副主任医师 副教授
留美医学博士 硕士生导师
耶鲁大*联学**合培养医学博士
国际耳内科协会(IPAP)终身委员(Life Member)
中国医疗保健国际交流促进会耳内科学会委员
江西省研究型医院学会耳鼻咽喉科分会委员
诊疗专长:耳鼻咽喉头颈外科疾病诊疗,主攻耳显微外科、侧颅底外科、眩晕外科、耳内镜外科,对中耳炎、颞骨良恶性肿瘤、眩晕、耳鸣等疾病的综合治疗有丰富的经验。
科研成果:主持国家基金3项,江西省自然基金1项,发表SCI论文8篇,中文核心10余篇。