宝宝咳嗽,不少家长都会以为只是轻微地咳嗽,应该不会有什么大问题,而且小孩子的自愈能力那么强,说不定过两天自己就好了。殊不知,很多时候都是我们家长太“轻敌”了。
小小咳嗽却成了化脓性脑膜炎
山东枣庄市的1岁小浩浩咳嗽就来势汹汹,远远超过了家长的想象。本以为小浩浩只是简单的感冒,可是吃了好几天的止咳药,孩子还在一直不见好,而且越咳越厉害,家长担心会发展成支气管炎或是肺炎,就带着孩子去了医院。
2018年1月1日家长带着小浩浩前往滕州市某人民医院,医生考虑是上呼吸道感染,给予抗感染治疗后好转。而过了几天,1月18日孩子出现持续发热伴呼吸困难,1月20日就诊山东某省立医院,在该院接受了腰穿化验脑脊液提示细胞数增高,诊断为“化脓性脑膜炎”,查头MRI提示:脑内多发异常信号,考虑脑脓肿形成。看着孩子病情越来越严重,家长带着孩子来到了北京某儿童医院。

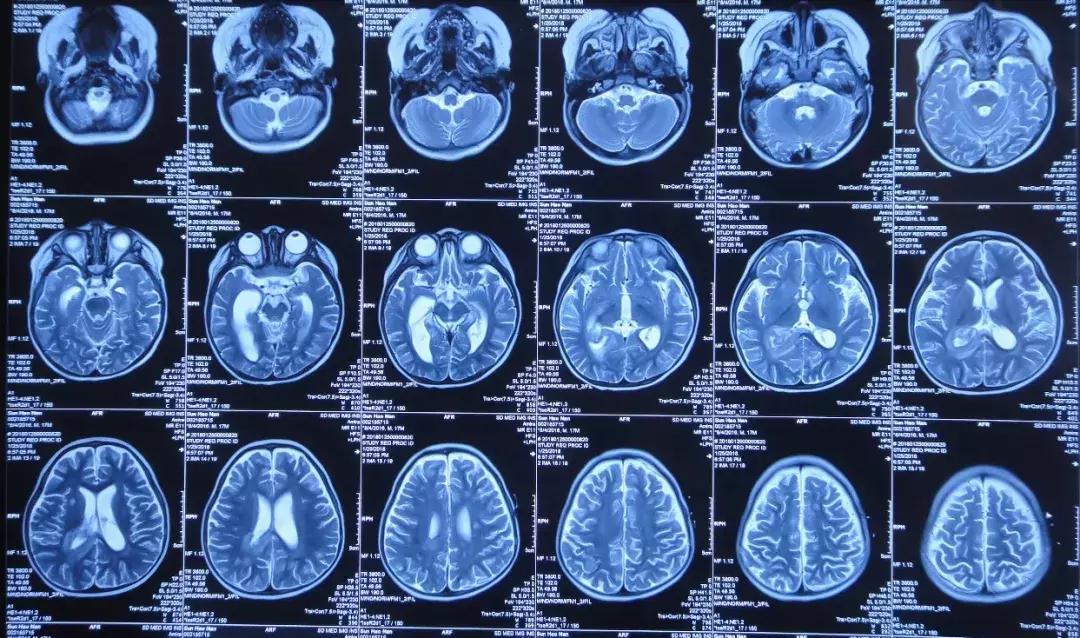
2018年2月25日头部影像检查
治疗效果不佳间接发热3个多月
2018年1月30日小浩浩入住北京某儿童医院,医生给予抗感染治疗,2月7日复查头MRI:右侧积脓,中线左移,大脑多发环状异常信号,2月9日接受了经右枕侧脑室腹壁外引流术(有分流泵),引流的脑脊液细菌培养未检出细菌,患儿术后仍有间断发热,期间加用人免疫球蛋白,2月26日加用两性霉素B抗真菌治疗,疗程7天,患儿期间仍有发热,精神差伴呕吐。

2018年2月7日头MRI:右侧积脓
3月14日,复查头CT:脑室系统扩张,伴脑室旁水肿, 3月15日再次加用两性霉素B,3月16日患儿呕吐明显,复查头CT:脑室系统扩张明显,当天晚上接受了经右额侧脑室穿刺Ommaya囊植入术,持续引*脑流**脊液,每日经右侧侧脑室腹壁外引流管引流量约60-80ml,Ommaya囊每日穿刺引流30ml,但是效果不佳,患儿仍有发热,呕吐等症状。为了寻求进一步治疗患儿转入李小勇脑脊液科。

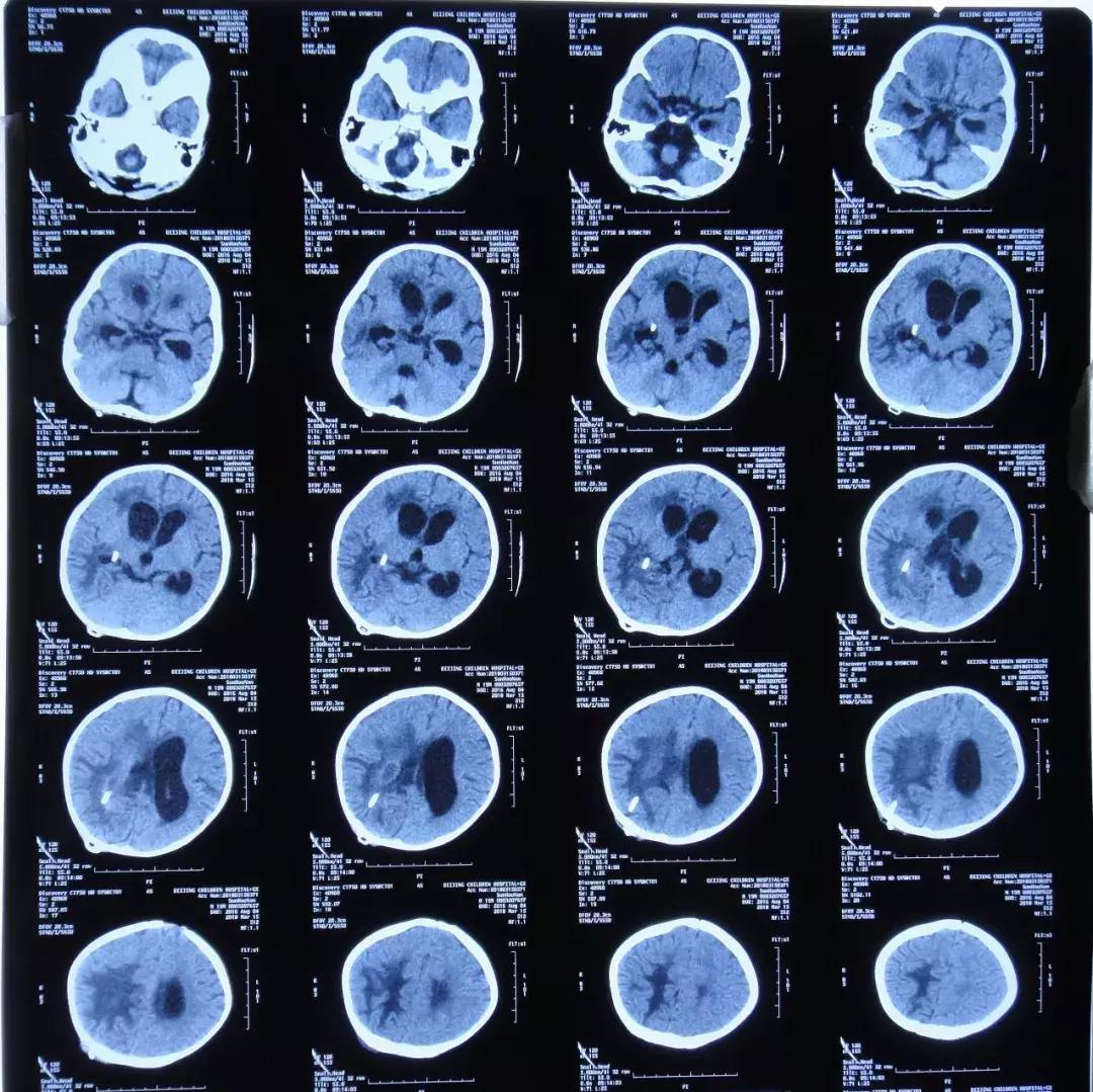
2018年3月14日头CT:脑室系统扩张 伴脑室旁水肿

2018年3月16日复查头CT:脑室系统扩张明显
◆在李小勇脑脊液科诊治过程与结果
患儿,男,1岁,“间断发热伴3月余,发现脑室扩张12天”于2018年3月26日入院。
入院时,贫血貌,意识清楚,主动睁眼,肢体可活动,刺痛有反应,右额可触及Ommaya囊,右侧侧脑室腹壁外引流管固定在位,引*脑流**脊液呈无色,微浑浊,小便色淡黄,大便未解。

2018年3月26日头部影像检查

2018年3月26日入院当天
初步诊断: 1 中枢神经系统感染,2 脑膜炎,3 脑炎,4 脑室炎,5 脑室粘连,6 继发性脑积水,7 低钠血症,8 营养性贫血,9 脑脓肿。
李小勇主任指导意见:患儿诊断“1、脑积水 2、颅内感染 3、脑室粘连”明确。根据目前情况,需行开颅脑室探查术+透明隔造瘘术+侧脑室腹壁外引流术。疏通脑脊液循环通路,减轻脑组织压迫。
2018年3月27日在全麻醉下行开颅脑室探查术+透明隔造瘘术+双侧侧脑室腹壁外引流术, 术后复查CT:术区未见明显出血。

2018年3月27日术后复查CT
2018年3月29日术后第二天, 患者意识清楚,贫血貌,主动睁眼,昨日夜间间断发热,体温可达40摄氏度,鼻饲少量进食,留置气管插管,小便色淡黄,大便1次。

2018年3月29日头部影像检查
2018年4月2日左侧侧脑室腹壁外引流管固定在位,引*脑流**脊液呈淡黄色,微浑浊,根据药敏结果继续联合万古霉素抗颅内感染治疗,给予止血,抑酸,神经营养,补液对症处理,患者血红蛋白持续性减低,考虑为感染性因素及两性霉素B造血功能障碍,建议患者输血,家属同意输血,安排明日申请悬红细胞输血。
2018年5月2日患儿意识清楚,进食可,进食可,无恶心及呕吐,小便色淡黄,大便1次。继续给予万古霉素抗颅内感染治疗。

2018年5月2日头部影像检查

2018年5月2日患儿病情稳定 精神状态佳
李小勇主任指导意见:患者诊断“脑积水”明确。根据目前情况,患者脑脊液性质可,脑脊液细菌培养阴性,无发热及呕吐症状,2018年5月17日行脑室腹腔分流腹腔端置入术。

2018年5月17日头部影像检查
2018年5月31日患儿术后恢复良好,切口愈合良好,出院回家。

2018年5月31日头部影像检查

2018年5月31日出院当天 李主任与小浩浩合影
2018年8月19日来院复查,小浩浩康复如初,跟同龄小朋友无异样。

2018年8月19日复查头部影像

2018年8月19日复查 小浩浩康复如初