牙套是用来矫正牙齿整齐度的工具。作为一项极为先进的牙齿矫正技术,牙套在牙齿矫正中起着至关重要的作用。
随着科技的发展,牙套已经越来越方便、美观,我们常见的牙套可以分为:普通钢牙套、舌侧牙套(隐形牙套)、陶瓷牙套、无托槽牙套、自锁牙套(钢自锁、陶瓷自锁)等等。下面小编来为大家介绍几种常见的牙套。
1、普通金属牙套

普通金属托槽的表面光滑、体积小巧,使用过程中结实耐用。同时槽沟准确,有助于牙齿的完美排列,托槽边缘特有的圆润化处理减少了对口腔黏膜的不良刺激,并且价格适中。
2、陶瓷牙套

陶瓷牙套具有和真牙一样的色泽和美观性,使用高质量瓷粉制造的陶瓷托槽具有和金属托槽相同的机械强度和功能。
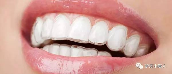
3、隐形牙套

采用高分子材料所制成的透明矫治器,能在无钢丝、无托槽的状态下完成牙齿矫正。美观度好,可自行摘带,牙齿矫正期间口腔卫生清洁非常容易。
隐形牙套易于摘取,所以在治疗时患者可随时刷牙或使用牙线来保持口腔清洁。由于没用到金属,它还不会刺激口腔。其实透明的矫正器,表面上看已经不是很明显了,作用和金属的是一样的。但经验上说,没有金属的结实,如果实在注意美观的问题,可以考虑这种透明的,表面上看只有一个金属丝,其他的基本看不出来。
4、自锁牙套

3M自锁托槽是在传统矫治器托槽的基础上进行了改进,并且在设计上区别于临床上较多使用的方丝弓托槽、直丝弓托槽、舌侧矫治器以及隐形矫治器。它能够锁住弓丝,且弓丝无需结扎,可利用机械性特殊弹*片簧**进行固定,不存在结扎橡皮圈老化和力量衰减现象的问题,而且其摩擦力低,有助于实现轻力矫治。
5、无托槽牙套

无托槽隐形矫治技术,是采用高分子材料所制成的透明矫治器,改变了传统正畸过程中“钢丝铁牙”的局面,能在无钢丝、无托槽的状态下完成牙齿矫正。这种方法能在佩戴牙套矫正牙齿的同时不影响美观,并且可自行摘带,让治疗者在不知不觉中矫正牙齿,恢复正常的颌面形态,真正满足了人们既矫正牙齿又不影响美观的需求。
注意事项:
牙齿矫正,由于矫牙器的原因,多数都会引起牙龈萎缩的后遗症。矫正不好多会引起牙齿松动、牙龈萎缩、牙缝加大等情况,所以要谨慎矫正。
护牙小超人 知识栏目
有 趣的角度
聊聊你忽略的那些护牙知识