9月中旬,收治了一个发现盆腔多发囊性包块的围绝经期女性,进来要求手术。还好没做手术,不然我可能从此就要告别我深爱的医学事业了。
事情原委是这样的:
患者,女,46岁,因“发现盆腔包块1月”入院。
1月前我院阴道彩超示:子宫前位,右后壁见一大小约3mm×3mm的低回声结节,子宫小肌瘤?宫内见节育器回声。双侧卵巢暂未见明显异常声像。子宫右后方见两个大小分别约39mm×22mm、53mm×20mm的囊性包块,内见片絮状回声,两者关系密切,子宫左后方亦见一囊性包块,大小约41mm×22mm,内见片絮状回声,左侧包块与右侧较小包块似见相连,子宫右后方及左后方囊性包块,性质待查,建议进一步检查。
检查血常规、CA125、CA199、CEA、AFP、HE4均正常。
患者无异常阴道流血流液,无腹痛,无发热,二便正常。
患者既往曾因“右侧输卵管妊娠”行腹腔镜下右侧输卵管切除术,无急性腹痛病史等。
入院时生命体征平稳,无急性面容,腹部查体未发现任何阳性体征。
三合诊:外阴外观未见异常,阴道畅,见少许白色分泌物,宫颈常大光滑,无举痛,子宫前位,常大,无压痛,子宫后方张力稍增高,双侧附件区稍增厚,未扪及异常包块,无压痛。肛门进指顺利,直肠扪及异常包块,退指无血染。
入院后第一天,与患者沟通取环后行盆腔MRI平扫+增强明确盆腔包块性质
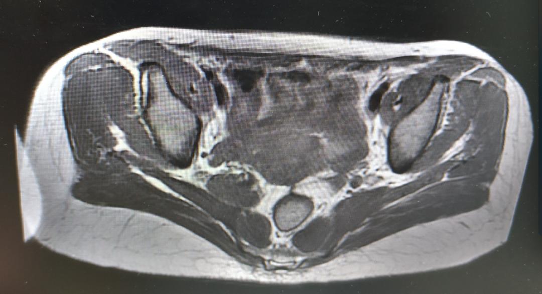
盆腔MR结果提示:
1、骶管、双侧骶椎间孔、骶骨及梨状肌前方盆腔内多发囊状信号影,考虑神经根袖囊肿,建议进一步检查;
2、右侧髋臼异常信号影,考虑血管瘤可能性大;
3、双侧腹股沟浅区小淋巴结显示。




神经外科会诊意见:患者查MR提示骶管、双侧骶椎间孔、骶骨及梨状肌前方盆腔内多发囊状信号影,考虑神经根袖囊肿。患者现无相关神经压迫等症状,建议定期复查,暂不考虑手术治疗。
出院诊断:1、神经根袖囊肿 2、宫内节育器(已取) 3、子宫肌瘤 4、右侧输卵管切除术后
发现盆腔包块是妇科患者就诊的常见原因。发现后尽快明确包块的来源及良恶性这才是最重要的,同时也对我们医生制定下一步治疗方案有指导作用。
首先说包块的来源,盆腔包块可以是增大的子宫、子宫肿块、附件包块、肠道或肠系膜肿块、泌尿系肿块、腹膜后肿块等。从包块的质地可分为囊性和实性。囊性包块多提示为良性病变,如卵巢囊肿、输卵管积水等等;实性包块除因妊娠增大的子宫为正常生理情况外,子宫肌瘤、子宫腺肌瘤等良性病变外,其它实性包块应优先考虑恶变可能,结合肿瘤指标及盆腔MRI等可加以鉴别。另外,慢性盆腔炎炎性包裹性积液也可表现为盆腔包块。
结合此病例,围绝经期女性,一发现盆腔囊性包块,我们妇科医生肯定优先考虑的是妇科常见病、多发病。B超提示子宫后方包块,与子宫关系不密切,双侧卵巢未见异常,考虑炎性包裹性积液、输卵管积水、肠道肿块,不排除双侧卵巢囊肿可能,因B超有一定的误差。患者既往有异位妊娠手术史,包块为囊性,多发,位于子宫后方,子宫后方正是道格拉斯陷凹,优先考虑慢性盆腔炎并盆腔包裹性积液。另外,患者现仍有一侧输卵管,囊性包块考虑积水,但输卵管积水多为条状、单发包块。而肠道肿块特别是直肠、乙状结肠病变多位于子宫后方,位置固定,多为条块状、单发,且患者常有便血、便秘等消化道症状。虽B超提示双侧卵巢未见异常,但盆腔多发、囊性包块常见的为卵巢囊肿。
但进一步行盆腔MRI发现包块来源于骨盆神经根袖,与子宫、卵巢及输卵管没有解剖关系。神经根袖囊肿的发生原因为小关节的退变、脊柱的骨质增生、骨质疏松、局部慢性劳损等原因导致神经根袖处发生囊肿改变,后期形成神经根袖囊肿。如无神经压迫症状,可保守治疗。若影响其神经功能,导致肢体麻木、无力,甚至肌肉萎缩,皮下脂肪消失等表现,保守治疗效果不佳,需要积极进行手术治疗,经椎间孔摘除整个囊肿或开放手术。
现在一想想,还是有点后背发凉。如果没有术前行盆腔MRI检查,直接手术、甚至将囊肿打开,最严重的后果是脑脊液漏,甚至术中可能来不及请神经外科医生上台修补。因此,发现盆腔包块,我们不应只想到盆腔内器官,也应多考虑盆壁结构,特别是神经来源的囊肿。术前做好评估,特别是盆腔多发包块,必要时MRI,才是对手术真正的保驾护航。