胡先生今年32岁,在贵阳一家企业做销售经理。这天,胡先生和客户见完面后便开车回家,在行驶的路途中,后面一辆车突然变道超车导致和胡先生的车撞在了一起。幸好,胡先生的头面部只是轻伤,但是车祸后胡先生的耳朵里一直有脓液流出,奇臭无比,还时不时伴有耳痛、听力下降。

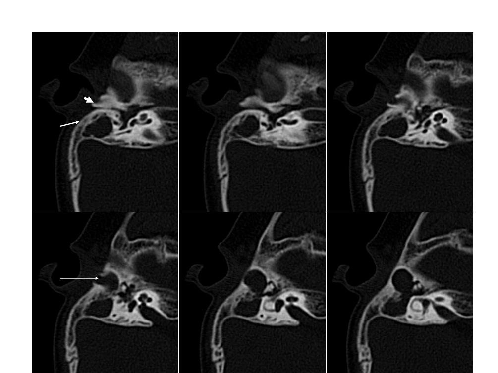
怎么回事?胡先生来到贵阳铭仁耳鼻喉医院检查,通过检查发现胡先生左侧外耳道、鼓室、鼓窦及乳突气房内充满大量密度增高影,左侧听小骨正常存在,鼓室未见明显增大,耳道里有大量脓性分泌物。原来胡先生患了左侧外耳道闭锁,需要通过手术来恢复。

耳道闭锁是指外耳道充盈的软组织或骨组织,可分为先天性外耳道闭锁和外伤性外耳道闭锁。
先天性外耳道闭锁是由第一支沟发育引起的。可分为骨段闭塞、软骨段和骨段完全闭塞。它可以表现为侧向导电性听力。
外耳道外伤闭锁,有局部创伤或手术史,外耳道有瘢痕形成,外耳道封闭,乳突ct检查可明确界定外耳道封闭、鼓室、乳突病变的范围。

外耳道闭锁的治疗:
以手术方式为主:打通外耳道手术、听力重建手术。
1、打通外耳至中耳的通道,手术磨除部分骨质,在骨面上铺皮肤。有些患者合并有中耳和面神经畸形,需要评估后再做手术。
2、如果中耳畸形严重、鼓室狭小、耳咽管功能不好,可行人工听觉装置手术,如骨桥、振动声桥、骨导助听器、人工耳蜗植入等。

外耳道闭锁的治疗原则有4点:
1、单侧外耳道闭锁,对侧耳听力正常,手术可到成年时进行,若不影响工作和生活,也可选择不治疗。
2、双侧外耳道闭锁影响听力者, 7岁左右可做外耳道成形和听力重建术。

3、单侧外耳道闭锁伴有感染性瘘管或胆脂瘤者,可提*考前**虑手术。
4、耳廓严重畸形者先行耳廓成形术,后行外耳道成形术。
大家注意,一旦出现耳朵流脓、疼痛时应及时去耳鼻喉专科医院检查,千万别自己私自用药,以免加重病情。