我是一个全职妈妈,一个不断实现自我价值的全职妈妈。拒绝焦虑,拒绝“内卷”,轻松育儿,理性对待婚姻生活,宽容应对婆媳关系,希望我的一些观点能够让你豁然开朗,能够带给你正能量,解决你的现实问题。
文|家有小甜椒儿(原创不易,请勿抄袭,欢迎个人转载分享)
图|来源网络(如有侵权请联系删除)
拥有一口好的牙齿,对一个人来说太重要了。
拥有一口好的牙齿,才能享尽人间的美食,拥有一口好的牙齿,更容易拥有好的脾胃,另外一口洁白整齐的牙齿,跟一个人的颜值也是息息相关的。
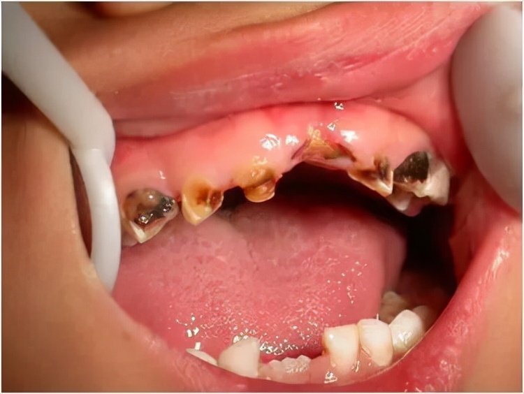
可是,我们的孩子们的牙齿情况却不容乐观,根据全国牙防组专家的调查数据显示,我国儿童牙齿龋化率超过80%,平均一个孩子有5颗坏牙齿。
这个数据是相当可怕的,意味着10个孩子中,仅有两个,甚至仅有一个孩子的牙齿是健康的。

牙齿龋化呈现低龄化
记得二十年前,爸爸带着我去看牙医的时候,我刚上初中,那个时候还很少看到有孩子去看牙齿。
一方面是父母不重视,孩子牙疼,能忍就忍过去了,忍不过去再去看医生。
现在补牙的孩子越来越低龄化。

朋友圈里,每年都有朋友带着孩子去看牙,昨天还有一个好友带着她八岁的女儿去看牙,牙齿坏了好几个。
为什么现在的孩子补牙的年龄越来越低,是现在的人们越来越不注重牙齿健康了吗?
其实很多人一直对于关注孩子的牙齿健康并不上心,很多家长会关注孩子的饮食健康、睡眠健康、成长速度,但是就是忽视了孩子的牙齿健康。
因为很多人认为这件事无足轻重。
还有很大一部分家长,也一直督促孩子刷牙,但是孩子的牙齿最后还是坏掉了,让家长头痛不已。
不是家长越来越不关注牙齿健康,而是越来越多的家长关注这件事,所以才会发现孩子的牙齿龋化呈现低龄化,很多孩子2岁以后,牙齿就开始变黑了。

不给孩子吃糖,孩子的牙齿还是坏掉了,为什么?
如果孩子吃糖比较早,且不注重牙齿护理,牙齿一定会提前坏掉,这是必然的。
但是让很多家长困惑的是,明明很早就开始督促孩子刷牙了,也不让孩子吃糖,孩子的牙齿还是坏掉了。
其实不只有糖不利于牙齿健康,现在生活富裕了,孩子每天接触的零食种类多样化, 不给孩子吃糖,不代表孩子的零食中不含有糖分。
比方说很多孩子钟爱的 奶酪棒,含糖量是比较高的 ,另外一些 蛋糕、派对、饼干等食物中,同样含有比较高的糖分 。

除了这些含糖量高的食物外,一些膨化食品,比如说虾条、薯片等等,容易卡在孩子的牙缝中,如果家长没有给孩子护理口腔的习惯,久而久之,这些残渣就变成了细菌,开始腐蚀孩子的牙齿。
除了这些因素外,奶粉也是一个很重要的原因。
婴幼儿奶粉中是含有糖分的,因为生产商会考虑到奶粉的口味,需要迎合孩子们的需求,所以会在奶粉中添加糖分。
如果孩子有喝夜奶的习惯,或者是晚上喝完奶粉直接睡觉,孩子的牙齿同样会容易被腐蚀。

养成一个好习惯,让孩子轻松拥有健康的牙齿
如果要问,如何才能保护好宝宝的口腔健康,方法当然是,勤护理。
实际上,比较细心的家长,从孩子还没有长牙的时候,就已经开始给孩子护理口腔了。
这不是一个很好的体验过程,因为宝宝可能根本就不会配合。
大多数家长是没有这个闲心去给孩子护理口腔的,孩子2岁之后,能够每天坚持让孩子刷牙,已经是相当有耐心的家长了。
关于护理孩子的牙齿,我个人有一个小妙方,很好实施、简单省事,孩子也不会排斥。

那就是吃完食物或者是喝完奶粉以后,让孩子喝水漱口。
这个方法非常好用。
从孩子出生以后,就让孩子养成这样的习惯,对于牙齿健康是很有帮助的。
不过孩子在2岁以前,是没有掌握“吐水”的技能的,孩子喝完奶以后,让孩子喝两口水就行了。
不要小看这个行为,对于宝宝的口腔护理是非常管用的。
其实我们可以做一个简单的实验,喝一口牛奶,然后再喝一口水之后吐出来,你会发现水已经呈现乳白色,因为口腔中残留的奶粉已经混合在水中了。
如果没有这个操作,这些奶粉就会停留在口腔中,时间久了自然就滋生细菌,对于宝宝的牙齿健康和口腔健康都是不利的。
家长需要注意的一点是,因为宝宝的胃口比较小,喝完奶粉或者是吃完食物之后,喝两到三口最合适,千万不能让孩子喝太多,否则长此以往可能会伤害到宝宝的胃口健康。

宝宝2岁之后必须坚持早晚刷牙
孩子能否拥有一口洁白的牙齿,跟家长有直接的关系。
孩子幼年时候,给孩子一个好的引导,让孩子养成良好的习惯,孩子就能拥有一口健康的牙齿,这对孩子来说很重要。
孩子2岁以后,基本上已经长出16颗乳牙,这个时候必须引导孩子认真对待“刷牙”这件事。
除此之外,孩子在日常生活中吃过糖之后2小时之内,也要督促孩子刷一次牙,这样才能保证孩子的牙齿不被腐蚀。
另外,孩子3岁之后,可以带孩子去看专业的牙医,给孩子的牙齿进 行“涂氟”处理和“阴沟封闭”处理 ,这样宝宝的牙齿会得到更全面的保护,在之后的成长过程中牙齿不容易龋化。